髖關節發育不全症-簡介
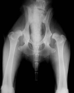
canineHipDysplasia簡稱CHD,中文稱作”髖關節發育不全症”,俗稱的說法是”大腿骨鎖不緊”,但不是”先天性脫臼”。CHD是出生後髖關節正常,但是由於骨頭生長太快肌肉生長速度跟不上,而使得股骨頭被肌肉牽引脫出脾臼關節而引起的,因為正常的髖關節發育情形是脾臼和股骨頭部(球體)之間,必須在整個成長期間都要能夠很緊密的彼此接合在一起,也就是說脾臼必須夠深,股骨頭的球體必須成形,並且讓股骨頭可以與脾臼窩緊密,深陷且完美地結合在一起。因為髖關節是承受體重的重要關節,主要是由球體與腔窩的結構所組成的。髖關節將骨盆與下肢連線起來,球體的部分是股骨(大腿骨)的端點,而腔窩(脾臼窩)則是骨盆的一部份。一個真正的球體與腔窩關連的關節,可以在三維方向上作自由活動,但狗狗的髖關節卻不是普通的球體與窩臼關係的關節,因為它可以有第四維方向上的自由運動:股骨的頭部(球體)可以往外離開脾臼。雖然是此關節最特殊之處(可以讓連線的附屬肢做任何方向的活動),但如果關節變得過於送弛,就可能會產生問題。因為當股骨的頭部向外側作太多的位移,而離開它原本在脾臼里的位置時,這樣就會讓髖關節在承受體重時產生較大的壓迫力及不正常的摩擦。因此,脾臼窩發育得不夠深而股骨頭的球體不夠成形並且接合送弛,股骨頭部的球體便非常容易離開脾臼里的正常位置,長期而日積月累下,髖關節在承受體重時持續產生較大的壓迫力及不正常摩擦,便會造成患犬的疼痛及關節的損傷與退化。嚴格來說,CHD是一種由許多共同疾病共同作用所導致髖關節的退化變質作用(DegenerativeEffects),這種疾病是由遺傳基因所產生的,但是由於涉及多基因性(牽涉多組不同的基因),共顯性的基因特質和多因素性(被許多非基因的因素影響)。因此是一種非常複雜的基因遺傳疾病,根據相關研究,就算是沒有CHD的狗狗,有可能產下患有CHD病症的狗狗,因為表面症狀沒有顯現CHD也可能有CHD的基因。相關的研究也顯示,後天的環境與飼養因素並不會產生CHD,也無法防止CHD發生,但是會加重或減緩CHD的症狀。如何判斷是否為CHD部分醫生都是以觸診或外觀來判斷,但是根據國外相關研究認為必須照射X光片由專業醫生診斷,才能正確無誤地判定是否為CHD,在美國有一個組織叫做OFA(OrthopedicFoundationforAnimals,網址:http://www.offa.org),只要繳納$10費用,就可以將X光片交給他們來判定,依據OFA的做法是兩歲以前只作評估,滿兩歲才做正式判定,因為兩歲以前狗狗還在發育有可能幼時由於股骨頭與脾臼的發育速度不一,產生髖關節發育不全的現象,然而也有幼犬時期髖關節發育是正常的,但是在成長過程,髖關節進行嚴重的結構改變,CHD才逐漸顯現,因此必須在發育完成後做最後判定。由於CHD是發展性的疾病,兩歲時如果沒有見到髖關節發育不全的症狀,才能判斷為無CHD,才可以作為繁殖用,在國外,患有CHD的犬是禁止繁殖的,除了同胎仔犬禁止繁殖,也會追溯至父母犬乃至上幾代相關的直系旁系犬一併停止繁殖,但是無CHD的狗如有75%的兄弟姊妹有CHD也不建議作繁殖用,該組織也將經該組織以判定合格的犬建立資料庫以供查詢。

