介紹
手指關節錯位通常人體有一處骨頭是可以自己發生錯位的,那就是肩胛骨,肩部是人體關節中最靈活的一處。也有一些人(如雜技演員)通過長期的訓練,可以使自己的某些骨頭髮生移位,比如兩手緊握然後胳膊進行360°的鏇轉。
身體的其他關節出現骨頭錯位,很可能就會使支撐韌帶輕微或嚴重撕裂,從而發生關節變形,這就是由骨頭錯位引起的損傷。任何關節都可能受到扭傷,尤其是膝關節、踝關節以及手指關節,扭傷的關節功能依舊,但在使用時會很痛,並有腫脹和皮膚變色的現象,這是輕度扭傷。輕度扭傷不會有危險,但如果扭傷嚴重,所有支撐韌帶嚴重斷裂,就要去醫院了。
骨頭錯位家庭治療措施
骨頭錯位● 作暖身運動前必須光作暖身操,以避免肌肉受傷。運動前,肌肉的溫度約37℃,而且呈僵硬狀。暖身5分鐘後.肌肉溫度上升,使肌肉逐漸鬆開。運動後,也必須等到體溫降至正常才可洗澡。如此可預防異常的肌肉收縮,甚至心臟病。
● 冷敷受傷後勿立即熱敷,應即刻冷敷患部,尤其是扭傷時。如此有助於消腫及消炎。受傷後使用此冷療法24—36小時。如果腳踝或肌肉受傷,應提高患部。結束冷療後,繼續熱療及冷療。每20分鐘交替一次,以減輕疼痛。
● 繃帶固定用彈性繃帶包住扭傷部位2—4周,以固定及支持患部。勿過度緊繃,以免血流受阻。讓患部休息數天,不再勞動它,直到腫痛消除。
● 熱敷將患部浸泡於溫水或熱水中可紓解持續的疼痛,但勿在消腫以前使用此方法。
●多休息應讓受傷的肌肉徹底休息,活動量不要大。
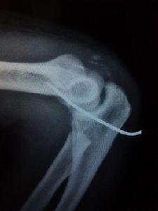
骨頭錯位● 及時檢查扭傷嚴重不妨對關節做x光照像檢查,因為嚴重扭傷與骨折經常不易區分。如確診,可在扭傷的肢體或手指部位鑄敷石膏模。
●應及時到醫院拍片觀察治療。
什麼是骨的錯位?怎么發生錯位?
骨頭錯位骨折出現後,沒有錯位就稱為“骨裂”。如果受到外傷的暴力較大,骨折後,骨折兩端就可以完全錯開。骨折錯開以後,受傷部位的外形就可以發生變化,也就是說出現了畸形,受傷部位在活動時就可聽見在骨折的兩個斷端間可發出摩擦的響聲,而“骨裂”一般不會出現這樣的聲音,如果我們用過大的力量來搬動的話,原來的“骨裂”可能會發生錯位,所以應該絕對注意不應在外傷後對受傷部位做不必要的增加外力的檢查動作。
骨折的錯位可以因暴力的大小不同和作用方向的不同而發生多種移位,如發生成角、短縮、側方和鏇轉的移位,有的可以是單一種的移位,也可以是多種的移位。在下肢如發生短縮的移位,就可出現下肢的不等長;發生鏇轉的移位,在骨折癒合後,會發生走路時內或外八字的步態。

