基本內容
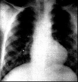
靴形心反映左心排血受阻伴右心室漏斗部發育不全。常見疾病見於主動脈瓣病變、高血壓、冠心病、心肌病或法洛四聯症。
機制
主動脈瓣病變、高血壓、冠心病等所致靴形心病理生理改變以左心負荷增大,左室肥大,向左膨隆,心尖下移。法洛四聯症所致右心室肥大致肺動脈段- 心腰部凹陷, 心尖圓隆, 上翹, 心臟近似靴形 。
影像學徵象
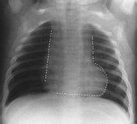
肺動脈段凹陷和心尖下移,主動脈結多增寬,形似靴形
爭議
靴形心在不同教材中定義一直未統一,《病理學》第 6 版與 《診斷學》第 6 版在心血管系統疾病一章主動脈狹窄部分明顯不符, 《病理學》認為靴形心見於主動脈瓣狹窄, 而 《診斷學》認為靴形心見於主動脈關閉不全。《中華影像醫學》認為主脈瓣關閉不全和主動脈瓣狹窄 X 線心臟均可呈主動脈型 《影像診斷學》第 5 版在 X 線診斷部分寫到主動脈瓣狹窄心影正常或呈主動脈型, 主脈瓣關閉不全心影多呈主動脈型。由陳樹寶主編的 《先天性心臟病影象診斷學》也認為法樂氏四聯症心臟心影呈靴形。
儘管靴形心沒有明確的概念, 但從病理學診斷學及醫學影像學的觀點可以看出靴形心的實質是心腰部凹陷, 心臟近似靴形。且診斷學及醫學影像學都認為主動脈瓣狹窄時心界正常或稍增大, 也就是左心室增大有限, 出現靴形心的機率有限,輕度主動脈瓣狹窄甚至不會出現靴形心。所以病理學教材明確講主動脈瓣狹窄形成靴形心是不恰當的 。
臨床策略
應進一步了解心內結構(包括心臟各房室大小)、功能及血流情況,可行超聲心動圖檢查。單腔起搏器植入術後,應注意起搏器綜合徵的問題,可請心內科電生理專科醫生,更詳細地了解病情,測試起搏器的各項指標,並結合胸片、超聲等檢查結果作出判斷。靴型心臟也稱主動脈瓣型心臟,心界向左擴大,雙肺正常;超聲心動圖顯示左心房38mm,左室壁厚度正常。
靴型心臨床護理
1休息包括體力和精力兩個方面。患者症狀不明顯時可適當做些輕鬆的工作,但不要參加重體力勞動,以免增加心臟負擔。患者伴有心功能不全或風濕活動時應絕對臥床休息,一切生活均應由家人協助。對患者態度要和藹,避免不良刺激。
2預防呼吸道感染病室要陽光充足、空氣新鮮、溫度適宜,防止因呼吸道感染引起風濕活動、加重病情。
3要注意觀察患者的體溫若患者發熱,說明有感染或風濕活動。風濕活動時脈搏增快與體溫增高不成比例(一般情況下,體溫每升高1℃,脈搏增加10次/min左右),即脈搏增快較多。應及時進行檢查和治療。
4呼吸困難的護理若患者有呼吸困難或在夜間發生陣發性呼吸困難,是左心衰竭的早期表現,應讓患者半臥位或兩腿下垂,減少回心血量以減輕肺水腫。若有水腫提示右心衰竭,應記錄液體出入量,觀察體重,並注意皮膚護理、勤翻身,防止褥瘡。
5注意脈的觀察觀察脈律是否規則、脈率的快慢和脈搏的強弱,發現異常及時報告醫師。
6營養和飲食給予高熱量易消化飲食,如魚、肉、蛋、奶等,少量多餐,多食蔬菜和水果。心功能不全者給低鹽飲食,並限制水分攝入。

