染色法簡介
革蘭氏染色法是細菌學中廣泛使用的一種鑑別染色法,1884年由丹麥醫師Gram創立
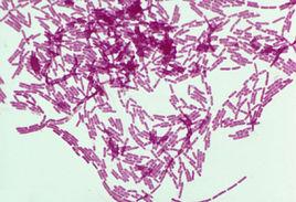
為觀察方便,脫色後再用一種紅色染料如鹼性蕃紅等進行復染。陽性菌仍帶紫色,陰性菌則被染上紅色。有芽胞的桿菌和絕大多數和球菌,以及所有的放線菌和真菌都呈革蘭氏正反應;弧菌,螺旋體和大多數致病性的無芽胞桿菌都呈現負反應。
原理
革蘭氏染色目前有三種觀點:等電點學說、化學學說和滲透學說。
等電點學說
革蘭氏陽性菌的等電點在PH2-3,比陰性菌(PH4-5)低,加之碘為弱氧化劑,可降低革蘭氏陽性菌的等電點,致使兩類菌的等電點差異擴大,因此陽性菌和鹼性染料的結合力比陰性菌更強。
化學學說
碘液在菌體內與結晶紫結合後又和菌體核心糖核酸鎂鹽-蛋白質複合物結合,此結合物不易被丙酮酒精脫掉,呈革蘭氏染色陽性。因革蘭氏陰性菌缺乏核糖核酸鎂鹽,故對碘與結晶紫結合物攝取少,且不牢固,易被丙酮酒精脫色而呈革蘭氏染色陰性。
滲透學說
乙醇使陽性菌所含粘肽多糖脫水而致細胞壁間隙縮小,通透性降低,在菌體內保留了染料-碘複合物,呈紫色。陰性菌含粘肽少,細胞壁變化不大,通透性不受影響,菌體內的染料-碘複合物較易透出,失去紫色,被復染成為紅色。
試劑
Crystal violet(結晶紫)、Gram Iodine(碘液)、Decolourizer(丙酮酒精)、Safranin(稀釋沙黃)
操作
1.標本處理:(1).有菌部位的標本,如痰液、糞便、各種拭子、創面等可直接塗片。
(2).無菌部位的標本,如腦脊液、胸水、腹水、膽汁、尿液、關節液等,應取適量標本(最高可達5-7ml),經3000rpm 離心10min.,取沉渣塗片染色。
2.塗片製作:菌液塗片時,用接種環沾取菌液點在載玻片上,標本可直接在玻片上塗布;菌落塗片時,先取生理鹽水一滴,置玻片上,用接種針挑取菌落在鹽水中塗布。製作的塗片應自然乾燥,並經火焰固定,固定的溫度不宜過高,以玻片背面接觸手背不燙為準,否則可能使細菌形態改變。將固定後的塗片進行染色。
3. 染色方法:
(1).加上Crystal violet(結晶紫)後,染色3-5秒或更久,之後用自來水沖洗之。
(2).加上Gram Iodine(碘液)後染色3-5秒或更久,之後用自來水沖洗之。
(3).以Decolourizer(丙酮酒精)脫色約5-10秒,並用自來水沖洗之。
(4).加上Safranin(稀釋沙黃)後,染色3-5秒或更久,之後用自來水沖洗之。
(5).吸乾或在空氣中涼乾後,置油鏡鏡檢。
4.結果觀察:紫色為革蘭氏陽性,紅色為革蘭氏陰性。
[報告方式]:革蘭氏染色:檢出革蘭氏陽性球菌 ;革蘭氏陰性球菌
檢出革蘭氏陽性桿菌 ;革蘭氏陰性桿菌
[注意事項]:
1.標本塗片不能太厚,嚴格按操作要求進行。
2.玻片通過火焰溫度不能太高。
3.若塗片較厚,應延長脫色時間,直至不在出現紫色為止。
臨床意義
通過革蘭氏染色,將細菌分為革蘭氏陽性和革蘭氏陰性,便於臨床治療。
附言
1 沙黃(番紅)Safranine T [C20H19ClN4=350.85]
紅棕色粉末;鹼基性染料。在水中溶解,在乙醇中易溶。
2 碘液配製:0.01mol/l碘液——稱取1.3g碘,置於50mol燒杯中,加入2.5g碘化鉀及25毫升蒸餾水,不斷攪拌之,使其溶解均勻。再加0.2mol濃鹽酸(體積質量1.19g/cm3),再加蒸餾水稀釋到1000mol。溶液應貯藏在棕色試劑瓶中,儲於低溫暗櫥內。有效期為一個月左右
革蘭氏陰性菌,以[大腸桿菌]為代表。大腸桿菌為兼氣性菌種,一般生存於腸道中及厭氧的還境中。革蘭氏陰性菌細胞壁的特徵為有一層out member 與陽性菌種不同。目前對大腸桿菌的研究很多,除了它是一般食物中是否有被污染的指標外,很多分子生物學方面的研究皆需要使用到大腸桿菌當作實驗宿主

