定義
非典型鱗狀細胞病人有上皮鱗狀細胞病變(SquamousIntraepithelialLeison,簡稱SIL),變會導致細胞變異。較輕微的病變顯示病人曾受人類乳頭狀瘤病毒感染,又或病人已出現低程度的子宮頸上皮內瘤(CervicalInrtaepithelialNeoplasia,簡稱CIN),這類情況演變成子宮頸癌的機會少過百分之一。較嚴重的病變則顯示病人有高程度的子宮頸上皮內瘤(CIN),其演變成子宮頸癌的危險則可達百分之五。
用例
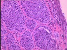
非典型鱗狀細胞非典型鱗狀上皮細胞指不能肯定其形態特徵及病變性質的形態異常的鱗狀上皮細胞.對此類患者應注意複查。複查前注意避免性生活和陰道的治療。是否有惡性病變可以結合進一步的宮頸活檢進行判斷。因其屬於癌前期病變,一定要嚴密觀察。由癌前期病變到浸潤癌的變化一般很慢,約需8-10年甚至20年。在癌前期階段,異常的細胞不侵犯間質,更不發生轉移,如果在這時發現,並給以相應治療,則治癒的機會是非常高的。但在宮頸癌已變為浸潤癌以後,則發展一般很快,如不經治療,病人可在2-5年內死亡。非典型增生可分為輕、中及重度,如不經治療約10-15%的輕及中度非典型增生可發展為浸潤癌,約75%的重度非典型增生及原位癌,可發展為浸潤癌。活檢如為輕度非典型增生者,暫按炎症處理,半年隨訪刮片和必要時再作活檢。病變持續不變者可繼續觀察。診斷為中度不典型增生者,應適用雷射、冷凍、電熨。對重度不典型增生,一般多主張行全子宮切除術。
非典型增生輕度和中度有以下三種轉歸:1:消退或逆轉。2:不變。3:癌變。
非典型鱗狀細胞增生
非典型鱗狀細胞增生分為輕、中、重度,輕度大部分(百分之60)可逆轉,中、重度為癌前病變,其實重度就可以歸為原位癌了。非典型鱗狀細胞是指不能肯定形態特徵及病變性質的形態異常的鱗狀上皮細胞,是細胞病理學診斷判斷依據,提示為癌前病變,應該定期複查以確認。如是非典型鱗狀細胞增生,說明細胞具有異型性。

