概述
定義:
少見的畸形。雙胎之一心臟缺如,殘留或無功能。最顯著的特徵是結構正常的泵血胎以一種反向矛盾的方式通過一根胎盤表面動脈-動脈吻合向寄生的無心胎供血。98%發生在單絨毛膜雙胎,2%報導發生在雙絨毛膜和雙卵雙胎伴融合胎盤的妊娠。也常發生在三胎妊娠。
發病率:
單絨毛膜妊娠的1%。妊娠胎兒的1:35000。
發病機理:
目前提出的理論是:泵血胎和被灌注胎髮生動脈-動脈吻合。該動脈-動脈吻合位於胎盤表面,有時無心胎的單臍動脈直接於泵血胎的臍帶相連。被灌注的胎兒的血流由臍動脈入,由臍靜脈出;故稱反向動脈灌注。由於進入的血流通過髂內動脈,因此下身的器官多能發育,而上身則缺如或殘餘。
無心胎的上半身發育極差甚至不發育。頭、頸和上肢通常缺如。普遍存在上半身水腫和囊性淋巴管瘤。下半身雖然畸形但是仍能發育。
無心胎缺乏功能性的胎盤是寄生胎,所有的胎兒胎盤血容量局限在自己的血管樹內。相當多的病例顯示由於無心胎的持續生長和伴隨的“竊血”現象導致泵血胎心臟功能不全,羊水增多甚至死亡。這種危險直接取決於無心胎的大小:無心胎越大,正常胎兒發生心衰和死亡的危險越高。僅有50%的泵血胎得以存活,無心胎的死亡率是100%。
超聲特徵:
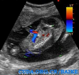
· 特徵性表現是都卜勒出現反向動脈灌注。可見臍動脈血流從胎盤朝向無心胎,靜脈血流則反向。這是由於無心胎沒有心臟泵血只能依靠與胎盤的動脈-動脈交通從正常胎兒處竊血。
· 異常胎兒頭極,心臟,上肢及許多內臟受損。下肢相對保持但是足內翻和腳趾異常普遍可見。
· 兩血管臍帶。50%單臍動脈。
· 雙胎間的膜發育不一致,從完全的囊到片樣膜。
聯合畸形:
被灌注胎兒:顱蓋完全或部分缺如,全前腦,無腦,顏面結構缺如,無眼,小眼,唇裂,齶裂,四肢缺如或殘留,膈肌缺陷,肺和心臟缺如,食道閉鎖,腹壁缺陷,腹水,肝和膽囊缺如,皮膚水腫,單臍動脈。
泵血胎:充血性心力衰竭(腹水,胸水,羊水增多,皮膚水腫)
鑑別診斷
1.胎胎輸血綜合徵:識別胎兒間的羊膜膜和小胎的心臟。
2.雙胎之一死亡:死胎無都卜勒信號
3.臍膨出
4.單胎妊娠羊膜內的腫瘤
超聲圖例:




