臨床表現
小一些的賁門息肉早期症狀不明顯,或無症狀,息肉進一步長大,就會出現進食梗阻、發噎、痰及黏液增多、疼痛、放射到前胸後背,兩肩發沉等症狀,和賁門癌症狀相似。
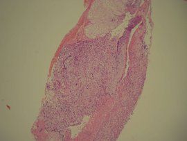
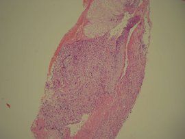
病理診斷
賁門息肉組織類型分:鱗狀增生、 腺瘤型增生、炎症型、潰瘍型、糜爛型、上皮 非典型增生型,(分三度:輕度—中度---重度),中、重度增生有癌變可能。
主要治療
目前多採用電子胃鏡嵌除治療,但此療法是在賁門管壁平面切除,根本問題難以解除,改變不了發病原因,復發率高,容易原位或移位復發,長期不愈易誘發原癌基因啟動形成賁門癌。平息逆轉療法進行徹底治療。
注意事項
規律飲食,少喝酒,少吃辛辣刺激、肥甘厚膩等食物,定時定量,食物應易消化且富有營養,賁門息肉、食道息肉、腸息肉、胃息肉、膽囊息肉、不能在弱鹼性的人體中形成,因此經常食用鹼性食品可以預防息肉的產生和癌變。
賁門息肉常用酸性食品和鹼性食品如下:
1.強酸性食品:蛋黃、乳酪、白糖做的西點或柿子、烏魚子、柴魚等。
2.中酸性食品:火腿、培根、雞肉、鮪魚、豬肉、鰻魚、牛肉、麵包、小麥、奶油、馬肉等。
3.弱酸性食品:白米、落花生、啤酒、酒、油炸豆腐、海苔、文蛤、章魚,泥鰍。
4.弱鹼性食品:紅豆、蘿蔔、蘋果、甘藍菜、 洋蔥、豆腐等。
5.中鹼性食品:蘿蔔乾、大豆、紅蘿蔔、蕃茄、 香蕉、橘子、番瓜、草莓、蛋白、梅乾、檸檬、菠菜等。
6.強鹼性食品:恰瑪古、葡萄、茶葉、海帶芽、海帶,檸檬等。
[平息逆轉療法],以現代醫學科研成果理論為依據,以祖國中醫藥學為基礎,以息肉發展、演變、致癌過程為對象,由此開發研製的專治賁門息肉 腸息肉、胃息肉、膽囊息肉的平息逆轉系列方藥;經數千例患者臨床使用具有息肉脫落快、臟腑功能恢復快、症狀解除快、愈後不復發、防癌變無毒副作用、藥性穩定等優勢。

