簡介
弓形蟲是由一種弓形蟲寄生引起的感染,世界各地的弓形蟲感染非常普遍,美、英的成年人中,大約16~40%發生過感染,有的調查達70%,而歐洲大陸和拉丁美洲的成年人,50~80%發生過感染,法國人高達90%。1985~90年中國的23個省、市、自治區的調查,大都在10%以下,明顯比外國低。
正常成年人感染弓形蟲時大多數是隱性感染,沒有什麼症狀,或者症狀很輕,可能有的會出現類似流感的發低燒、流鼻涕、淋巴結腫大、頭痛、肌肉關節痛和腹痛等輕微症狀,幾天后就隨著人體產生免疫力,症狀消失,一般都能自愈。但如果孕婦感染弓形蟲病,再傳染給胎兒或者後天獲得性感染,後果就嚴重了,可引起流產、死胎,有接近一半的嬰兒出生後會有畸形、耳聾、失明、腦內鈣化、腦積水、智力障礙等等,甚至導致成年人神經分裂、心臟病變、死亡。此外,弓形蟲還是腫瘤患者、愛滋病人致死的原因之一。
歷史
弓形體病(Toxoplasmosis)又稱弓形蟲病,是由龔地弓形體(Toxoplasma gondii)引起的人和動物共患的寄生在細胞內的一種原蟲病。本病早在1900 年被Laveran從稻田鳥體內發現,但對其描述不夠確切。後由在突尼西亞德研究所工作的Nicolle和 Manceaux(1908年)從北非一種稱為龔地梳趾鼠 (Gondi ctenodactylus)的齧齒動物肝和脾內發現此蟲,並做了詳細確切的描述。由於此蟲酷似利什曼原蟲,故他們暫名為龔地利什曼蟲(Leishmania gond1),在1909年,他們確定此蟲並非利什曼原蟲, 而建議改名為龔地弓形蟲。已證實有45 種哺乳動物、7O種鳥類和5種冷血動物在自然條件 下均可感染本病。其感染率、發病率和死亡率都有逐年上升的趨勢,對人和動物的健康危害性嚴重。犬弓形體病的歷史比較短。自美國在1942年首次報導了犬、貓、綿羊自然發生的臨床弓形體病後, 1952年Farrel在俄亥俄州又報導了犬、豬、牛和綿羊的弓形體病。根據美國、日本對人和動物弓形體病感染率的調查結果:分別是美國人4 ~ 35 ,犬 29 ,貓19 ,牛16 ,豬24 ,綿羊29 ,山羊48 ; 日本人(成年人)5 ~ 7 ,犬29.3 ,貓68 ,豬 8.670*個別地區高達57.8 )。在國內已有貓、犬、 豬、兔、豚鼠和野鼠等動物感染弓形體病的報導。
病原體及特徵
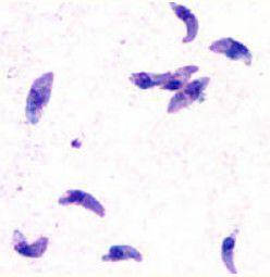
弓形體為本病的病原體,屬於球蟲目、弓漿蟲科、弓漿蟲屬。到20世紀為止只發現一個種即龔地弓形體感染人和犬等各種動物。根據蟲體發育階段的不同,其形態和結構分為5型,即滋養體(或子孢子)、 包囊、裂殖體、配子體和卵囊。前2型出現在中間宿主(人和犬等各種動物)體內,後3型出現在終末宿主(貓和貓科動物)體內。 1.1 滋養體長3.3~8.0 m,寬l.5~4 m,一端稍尖、另一端鈍圓狀,其核位於中心偏鈍圓的一端。 游離於細胞外的蟲體呈弓形、新月形或香蕉形;在細胞內的蟲體則呈紡錘狀。滋養體主要發現於急性病例體內的各種有核細胞中,腹腔液中可見到游離的單個蟲體。有時在宿主細胞的胞漿內,許多滋養體簇集在一個囊內,稱之為假囊。滋養體用革氏染色為紅色的網狀和輪狀結構,在尖端與核之間有顆粒狀物;用姬姆薩氏或瑞氏染色呈淺藍色,核呈深藍色, 有顆粒。 滋養體抵抗力較弱,在胃蛋白酶中幾分鐘即被破壞,或經過一次凍融處理即失去感染能力。但在甘油中對低溫的抵抗力較強,如在甘油1份、卵黃3份和3枸櫞酸6份的保存液中,於4℃可存活6周,於 一6O℃可存活15周,在1O%甘油中,於一70℃可存活1O0天以上。 1.2包囊呈卵圓形,有較厚的囊膜,直徑為3O~ 5O pm,最大可達100m。囊中的蟲體可由數十個至 數千個。包囊出現於慢性病例或無症狀(隱性)病例的各種組織中,主要寄生在腦、骨骼肌、視網膜,以及 心、肺、肝、腎等處。 包囊對環境因素的抵抗力比滋養體強,在胃蛋白酶中不易被破壞;肉中的包囊在4℃能存活68天; 包囊經加熱5O℃ 3Orain或56℃15rain後,便喪失活力;蟲體在一14℃ 24h失去活力。包囊對高溫和低溫敏感,經煎、煮、薰、醃或低溫凍存可死亡;用巴氏消毒法可殺滅乳中的包囊。 1.3裂殖體是寄生在貓的腸上皮細胞內,並進行無性繁殖的蟲體。早期內含多個細胞核,成熟後變圓,直徑為12~15m。每個裂殖體內含有1O~14個香蕉形裂殖子,呈扇形排列,裂殖子長7~10 m,寬 2.5~ 3.5m 。 1.4 配子體是寄生在貓的腸細胞內,並進行有性繁殖的蟲體。雄性的為小配子體,圓形,直徑約 10m,色淡、核疏鬆;小配子體成熟後形成12~32個小配子;小配子呈新月形,長約3m,有兩條鞭毛。雌性的為大配子體,呈卵形或圓形,直徑為15~2Om; 核直徑為5~6m,緻密,含有著色明顯的顆粒。 1.5卵囊隨貓糞排出體外,呈卵圓形,有雙層囊 膜,大小為1O~ 16 m×7.5~ l1 m,內含1個約9m大小的集塊。成熟的卵囊內有2個孢子囊。每個孢子囊內含有4個長形彎曲的子孢子,大小為 8m×2m。有殘體。 卵囊的抵抗力很強,在外界環境中可存活1OO 多天,在潮濕土壤或水中能存活數月至1年以上;對 酸、鹼和一般消毒處理無效;而乾燥、氨和加熱至 55℃則能殺滅之;含有感染性卵囊的糞便,置於75~ 85℃的熱水中便失去感染性。
蟲體生活史
當終末宿主貓吞食含有弓形體包囊的動物臟器(組織)或發育成熟的卵囊之後,包囊內的滋養體或卵囊內的子孢子在貓腸道內逸出.一部分進入小腸上皮細胞內進行有性繁殖;一部分進入血液,到貓體各臟器組織的有核細胞內進行無性繁殖。有性繁殖先是通過裂殖生殖產生大量的裂殖子。以後是配子生殖即部分裂殖子轉化成配子體,其中的大、小配子再進行配子生殖,接合成合子,發育成卵囊。卵囊隨貓糞排出體外後。在適當外界環境條件下經2~4 天內完成孢子化,即具有感染性的卵囊。無性繁殖是形成包囊,可長期存在於宿主的組織中。 由於犬和其他動物為中間宿主.弓形體在體內只進行無性繁殖。
宿主
所有恆溫動物都可以是宿主。弓形蟲寄生在肌肉和內臟中。貓是唯一可以從糞便傳染此寄生蟲的宿主。
感染
據魏梅雄等(1998)對上海市2316隻寵物犬的調查表明,犬的陽性率達29.5%, 而犬主人陽性率達7.3%,明顯高於一般人群3.3%的陽性率,提示接觸犬貓的人感染弓形蟲病的重要因素。 因此,在飼養犬貓時,需謹防弓形蟲感染,陳昌源對湖北省城鄉的貓狗和養貓狗與不養貓狗人群進行了弓形蟲病感染調查。結果表明:農村貓的弓形蟲感染率為44.89%,明顯高於城市貓的感染率19.64;另外,養貓狗人群的弓形蟲感染率為31.41% , 顯著高於不養貓狗的人群感染率 10.72%。山東臨清市婦幼保健院3559例已婚育齡婦女弓形蟲感染情況分析結果: 孕前組新近感染率0.94%(25/2 663)、即往感染率3.61%(96/2 663)、未感染率95.46%(2 542/2 663),產前組分別為2.68% (24/896)、3.79% (34/896)、93.53% (839/896)。兩組新近感染率及未感染率比較,平均
傳染途徑
任何動物食入弓形蟲的包囊,卵囊或活體,都能受到感染而患弓形蟲病。貓科動物的糞便中,常帶有卵囊。可以污染草原、牧場、蔬菜、水果等。貓的身上和口腔內常常有弓形蟲包囊和活體。直接接觸貓易受感染。狗的身上和口腔內常有包囊或活體,養狗的人不小心可能感染。其他家畜、家禽,如:雞、鴨、鵝、豬、牛、馬、羊等動物體內有時帶弓形蟲包囊和活體。所以食用肉、蛋奶也可能感染,魚肉體內有時也有弓形蟲包囊或活體。魚也是一個傳染源,另外某些吸血昆蟲,叮咬人時也可以感染。
人和人之間也可以互相傳染。懷孕婦女,可以把弓形蟲通過胎盤傳染給胎兒。患弓形蟲病的婦女,在懷孕期如果有血播期(即弓形體、燕形體、尖形體活動)胎兒一定被感染。所有胎兒80%為隱伏性的慢性弓形蟲病患者,攜帶終生。還有一部分成為多病型體質,實際是多病型弓形蟲病患者。很少一部分成為死胎畸形、弱智。在哺乳期,因嬰兒成為“帶病免疫”者,所以儘管母乳中帶有弓形蟲,嬰兒並無大礙,每餵一次奶,便接種一次活疫苗。嬰兒可以照常發育成長。一個患弓形蟲病的婦女,無論生幾胎,只要孕期或哺乳期有過一次血播散,一定要傳染給胎兒或嬰兒。但症狀輕重不一。
患有弓形蟲病的婦女,在月經期弓形蟲活動最強烈。婦女所排的經血裡面常含有大量的弓形蟲包囊,是一個不小的傳染源。決不應忽視。另外,患弓形蟲病人的尿液中,唾液中、眼淚中、鼻涕中、男人的精液中、有時帶有弓形蟲包囊。人類通過性行為可以互相傳染。急性發作的病人的噴嚏,可以成為飛沫傳染源。市售的各種肉製品、香腸、火腿腸、罐頭也都可以成為傳染源。奶製品、奶油製品、蛋類製品、蛋糕、各類餅乾、點心、冰點有時也能成為傳染源。總之不符合衛生標準的魚、肉、蛋、奶及其製品、都有可能傳染弓形蟲病。
首先是吃未煮熟的肉,特別是豬、羊。幾乎所有哺乳動物和鳥類,如鼠類、豬、羊、牛、家兔和雞、鴨、鵝等,都可以傳染弓形蟲,而且感染率很高。人的傳染來源主要來自於這些動物的肉類,如涮肉的溫度不夠和時間過短,其中的弓形蟲沒有殺死,就有傳染的危險。生肉或切肉案板的污染同樣可以傳染。污染的羊、牛奶也可以傳染。上述中國人口的弓形蟲感染率較低,可能與中國人熟食肉類的習慣有關。 狗也可以傳染弓形蟲,但是它們的糞便和排泄物都沒有傳染性,如果不吃狗肉就不會傳染。有人說“狗與人關係密切,是人類的重要傳染源之一”,還有人生下的孩子出現了“智力遲鈍、先天性心臟病或者多了一個手指”,就歸罪於家裡養狗,這些都是缺乏根據的。
感染的貓糞是重要的傳染來源。貓和貓科動物是弓形蟲的終宿主,感染的貓糞便里排出囊合子,一般持續1周至20天,更長的極少;這段時間是傳染期。世界各地的調查大約1%的貓糞便內含有弓形蟲囊合子。貓糞里的囊合子須在外界發育2~5天才有傳染性,所以幾時處理貓糞非常重要。囊合子可以在水裡、潮濕的土壤里生存好幾個月或更長,因而貓糞污染的食物、飲水、甚至灰塵,人吃下去都可以傳染。在完全熟食肉類的地區,貓科動物是人的重要傳染來源。但是,有人建議用消滅家貓來控制弓形蟲病,這是不切實際的。因為作為中間宿主的許多其他動物同樣可以傳播。例如有許多牧場極少有貓,也有很多牛羊感染;而且世界上還有個別島嶼沒有貓,島上居民感染率仍然很高。所以,國內有一本重要的《人體寄生蟲學》書上說:由於作為中間宿主的家畜感染率很高,故從人的感染來源來說,貓糞的污染就不及吃未熟肉類為重要。
孕婦感染弓形蟲可傳染給胎兒,發生先天性感染,由於先天性感染胎兒有可能產生嚴重後果,所以很重要。可是,只有在懷孕前沒有感染過弓形蟲的孕婦,在懷孕期間發生初次(原發性)感染才有可能傳染給胎兒,如果孕婦在懷孕前感染過弓形蟲,那她就不再有傳染的危險。
防治感染
弓形蟲病的預防分為非免疫病源感染的預防和免疫病源感染的預防。
一、非免疫病源感染的預防
由於飲食或其它原因,大量非免疫病源進入人體內,造成非免疫病源感染,如果被感染者以前沒有感染過弓形蟲,這便是初次感染,由於體內不能很快生成抗體,會造成極嚴重的病症和後果甚至死亡。對於非初次感染的免疫低下者同樣造成不良後果。如愛滋病患者,癌症晚期等,這種情況當前少見。但因大多數人都是弓形蟲帶蟲者,形成帶蟲免疫,被感染後很難出現初次感染的症狀。
預防方法是:
1.避免與貓、狗等動物的親密接觸。
2.避免動物尤其是貓的糞便污染水源,蔬菜等。
3.要熟食、不生食動物性食物。
4.廚房裡要生、熟食品分離,生、熟食分別加工,如用兩塊菜板,兩把刀具等。
5.飯前便後要養成洗手的習慣。
6.婦女月經期對經血應很好的處理。
二、免疫病源感染的預防
過去一向認為弓形蟲滋養體56℃減活,只要熟食就不會感染弓形蟲,現代科學研究證明熟食照常會感染弓形蟲。只不過是慢性感染,症狀較輕微,再加上潛伏期長,使人們不易察覺。要想做到預防慢性感染就要有一整套的預防手段。
預防弓形蟲慢性感染要分兩個階段:
第一是當前怎么辦?第二是長遠根本上怎么解決?
1.是當前首先人們要從飲食上著手,要改變人們的理念,動物性食品中弓形蟲感染率很高,儘管熟食也會照常感染,可是人們又不能沒有動物性食品。所以暫時先擇用以下的方法控制慢性感染:
2.購買動物性食品時應注意挑選。
3.食用動物性食品應有節制,最好不要每天都吃動物性食品。
危害
如果懷孕頭3個月發生先天性感染,大約40%胎兒可能有嚴重的損害,出現流產、死胎或新生兒疾病,或者出生後有眼、腦或肝臟的病變或畸形,如視網膜脈絡膜炎、白內障、腦內鈣化、腦積水、小頭畸形、智力障礙、黃疸和肝脾腫大。懷孕末3個月發生的感染,嚴重者不到3%。
1996年,芬蘭赫爾辛基大學醫院的一項弓形蟲對胎兒影響的研究發現:在他們進行血清抗體檢查的16733名孕婦中,只有42人是原發性感染,其中有36人接受了螺旋黴素治療,長期隨訪結果,她們的孩子中共發生4例先天性弓形蟲病,2例有嚴重的神經系統病變,2例無臨床症狀。其餘原發性感染孕婦所生的孩子在生長發育和智力方面與其他孕婦的孩子沒有不同。
弓形蟲的感染率極高,1985年調查報告美國感染率為84%、法國為90%、維地馬拉為94%。因為千百年來沒有引起醫療界的重視此病得以廣泛流行,造成了世界性的感染。弓形蟲是細胞內寄生蟲,寄生於所有的有核細胞(80%寄生於大腦)。吸取營養排泄廢物(毒素)。所以所有的免疫低下病,營養失衡病,神經系統病都首先應該排除是否因弓形蟲感染引起的。比如人的亞健康狀態:(睡眠質量差;記憶力下降;口味很差;焦慮;經常感冒;整天覺得全身不舒服,腰酸背疼;大便不利,經常便秘、或腹瀉;胸悶心慌,心促氣短;反應遲鈍,注意力不集中,說話無力等症狀。)神經衰弱;神經官能症;都是弓形蟲病的特異症狀。
治療
孕期弓形蟲感染的隨訪;妊娠期弓形蟲感染的治療要考慮到孕婦感染和胎兒感染兩種情況,但治療孕婦的主要目的是為了保護胎兒。一旦懷孕母親初次感染確診,應立即開始給螺旋黴素3 g/d,分3次服。該藥在血清和胎盤中均能達到高濃度,故有增強胎盤屏障作用,可使胎盤中的弓形蟲數減少60% 以上。但該藥只有50%能進入胎兒,故對胎兒的療效不及孕婦的療效。 若胎兒弓形蟲病確診,則立即改為每天給乙胺嘧啶50rng和磺胺嘧啶3g,連服4wk,繼之再用螺旋黴素2 交替治療直至分娩。若在停經後6- 16wk證實有胎兒感染者,則可以考慮終止妊娠, 因為在這段時間遭感染的胎兒,其病損是十分嚴重的。若在停經後17天開始用乙胺嘧啶和磺胺嘧啶治療者,則應定期對胎兒做B超檢查, 並酌情與孕婦商討是否繼續或終止妊娠。 感染孕婦和胎兒經上述正規治療後,母一胎傳染可降低60%, 新生兒的先天性弓形蟲病發病率可明顯降低。一組泰國的研究表明,孕期未治組的新生兒先天性弓形蟲病發生率為46.7%, 而治療組的新生兒先天性弓形蟲發病率僅8.13%。在澳大利亞,由於開展對孕婦的血清學篩查,並採取相 應的措施, 使新生兒的先天性弓形蟲發病翠從7O 年代的5‰ ~7‰ 降至90年代初的0.1‰ 。 乙胺嘧啶可抑制二氫葉酸(d yd ic acid)還原酶, 使葉酸(folic acid)向亞葉酸(folinlc acid)的轉化受抑制,致使弓形蟲的繁殖受阻。但這種抗葉酸作用也可影響到人體的血細胞系, 引起急性骨髓再生不良。因此必須及時補充亞葉酸, 每天給亞葉酸15tug。同時在治療前需對母血作血細胞分類計數,並且在整個過程中每周複查1次。磺胺嘧啶有抑制二氫葉酸合成酶的作用,它與乙胺嘧啶合用的協同作用,相當於兩藥相加作用的8倍, 故可明顯增強抗弓形蟲的療效。但磺胺嘧啶可致白細胞減少和皮疹,故有白細胞減少和6.磷酸葡萄糖脫氫酶缺陷者,禁用該類藥物。此外,尚需注意乙胺嘧啶的致畸作用。
出生後的治療與觀察 產前胎兒感染未確診者,孕婦分娩後應作如下 標本的弓形蟲檢查:
①將胎盤保存在4℃ ,以便日 後檢查其中弓形蟲感染情況;
② 取臍血20Ⅱd作小鼠接種;
③ 取母血1OⅡd作小鼠接種。可在出生後立即給螺旋黴素治療,劑量為每天100 n kg,直到小鼠接種結果出來。出生後應每4個月作1次眼底檢查,若在頭3年未發現任何眼底受累跡象,則可改為每年複查1次。人體抗弓形蟲的免疫力主要依靠細胞免疫反應,胎兒的細胞免疫力要在母親停經後的第9~15周才開始出現,真正有效的保護性免疫要到出生後滿1周歲才具備。因此對產前已確 診的胎兒先天性弓形蟲病,必須在出生後繼續用乙胺嘧啶一磺胺嘧啶治療至少1年,每療程3~4wk, 間歇期間可用螺旋霉索替代。乙胺嘧啶的劑量為每天1 rr~,/kg,分2次服,磺胺嘧啶的劑量為每天100 rr~,/kg,分2次服。在進行上述治療的同時必須給亞葉酸5mdd,並同時進行嚴格的血液學觀察出生後的血清學觀察仍十分重要,出生後原來由母親輸入的抗體逐漸降低、消失,以後隨著自身抗體的 產生,半年後又出現新的抗體高峰並繼續上升,頭2年必須每4個月作1次血清學複查,直至血清中抗體水平穩定後2年。
抗體檢查
雖然法國和奧地利等國家規定對孕婦常規進行弓形蟲抗體檢查,做法是在懷孕早期進行血清抗體檢查,如果為陰性(即沒有感染過),告訴孕婦注意預防感染,並定期複查;一旦發現孕婦出現急性感染,即給予螺旋黴素治
療,同時對胎兒進行羊膜穿刺和超聲檢查。如果證明胎兒發生感染,孕婦則採用磺胺加乙胺嘧啶治療;要是發現胎兒有明顯的病症,父母可考慮終止妊娠。但這種方法是否值得採用,仍有爭論。由於孕婦在妊娠期間的感染和胎兒感染的機會都很小,所以英美的研究結論是這種篩檢不值得常規做。
進行孕婦感染的篩檢是個很嚴肅的公共衛生問題。一般認為須根據當地的流行病學研究而定。首先進行檢查必須有明確牡丹和處理原則,篩檢方法一定要有很高的準確性,有系統的檢查和處理持續,大眾可以接受,成本效益分析表明確實有很高的效益。
中國有許多醫院已在對孕婦普遍進行弓形蟲抗體檢查。有些醫院的檢查和處理沒有規範,檢查歸檢查,結果無所謂,也不做處理。有的出現矛盾的結果,一個醫院檢查結果為陽性,複查或者另一個醫院檢查又變成陰性,因此,試劑和檢查的質量一定要高,篩檢方法要標準化,臨床醫生必須熟悉血清學檢查結果的意義和判斷,實驗質量不高造成的假陽性和假陰性結果,不僅浪費病家錢財,而且還引起病人和家屬的焦慮,帶來很大精神負擔,甚至造成難以彌補的損失。

