醫院介紹
2012年7月,一家國際化高連線埠腔連鎖悄然在蘇州工業園區CBD落戶,沒有任何宣傳,表現非常低調,一反普通醫療機構開業大張旗鼓之常態。但是,如此低調美齒機構,卻改變了整個蘇州口腔業界的市場格局,引領了蘇城傳統牙科機構的從治療為主向口腔美容為主的行業模式轉變,其個性多元化口腔分診體系、先進的SERVICE口腔服務模式、國際頂級牙醫坐診制度,在運營一個多月里,顧客好評如潮,特有的國際口腔醫療管理理念,更是給蘇州口腔業界刮來了一股向先進國家醫療行業學習的變革之風,它就是--蘇州牙博士口腔。
牙博士口腔是韓國YE國際牙齒口腔集團針對中國市場的一種升級蝶變,牙博士秉承YE的核心理念,在技術引進、設備採購、專家資源共享、學術交流等領域通過跨國、跨行業全面合作和資源共享,開發出一套針對亞洲人群而設計的集口腔保健、口腔美容、口腔治療、口腔正畸、口腔服務為一體的現代化醫療服務模式模式。
蘇州園區牙博士口腔醫院 韓國YE國際牙科集團成立於1992年,總部設在韓國首都首爾,經過20多年的努力,已經成為韓國家喻戶曉的醫療品牌,是韓國提供高檔口腔美容服務的頂級機構,受到韓國眾多政要及明星的青睞。如今YE在韓國的首爾、釜山、安山、盆亭等地擁有90多家直屬美牙機構,並進軍國際市場。2009年,YE集團獲得了韓國醫療大獎,該大獎是由韓國民眾選出的最信賴的醫院。2010年YE集團獲得了韓國實塔山勳章,該獎項是韓國政府表彰韓國醫療服務領域傑出貢獻的醫療機構。2011年,YE集團獲得了JCI認證,成為韓國首家獲得認證的口腔醫院。JCI是國際醫療機構認證聯合委對以美國以外的醫療機構進行認證的附屬機構,也是全世界公認的醫療服務標準,代表了醫院服務和醫院管理的最高水平,世界衛生組織的權威認證。
品牌起源
YE國際牙科集團於1992年在韓國首爾創建成立,是韓國國內首家由各大口腔醫院院長合作建立的專業口腔醫院。為了突破醫療市場的傳統局面,韓國國內五家知名口腔醫院院長在辦院之初提出了聯合辦院、將個人力量和優勢成倍擴大,使醫院成為讓患者擁有更多美好回憶的地方的全新理念,即刻獲得了超高的市場認可度。
蘇州園區牙博士口腔 品牌起源 “根植韓國、放眼全球”,經過20年的不懈努力,目前韓國YE國際牙科集團已經在國內外設立了一百多家連鎖牙科機構,贏得了世界各地無數牙科患者的信賴。而其嚴謹、成熟、人性的企業文化——“以實現患者期望為目標,堅持人本理念和分享的精神,不懈努力為患者提供最優質的醫療服務”,在不斷提升企業自身競爭力的同時,也推動了這個行業往更良性的方向發展。這是每一個YE人的驕傲,也是每一位牙病患者的福音。
醫院環境
蘇州牙博士口腔環境優美,空氣清新為您營造更優雅、溫馨、舒適的就醫環境,全程導醫引領服務,一對一的診療設備,跟蹤隨訪服務,為您提供更具有人性化的治療。我院全體醫護人員積極開拓,不斷進取,始終以患者的利益為中心,贏得了廣大患者與社會各界的好評。
蘇州園區牙博士口腔醫院環境 蘇州牙博士口腔醫院採用“全生態、人性化”的環境設計,設有VIP特診科、口腔正畸科、兒童牙科、美容牙科、種植牙科、消毒中心、放射科和技工中心等科室。並率先實現全國首創全透明消毒中心,確保消毒更規範,更透明;全國首家“一人一診室”診療環境,更多尊重,更多舒適;國際規範“六手操作”體系,更科學,更先進,更可靠。
醫院技術
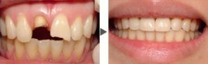
蘇州牙博士口腔園區機構先進技術介紹:(1)純韓仿生美牙冠——1小時解決成人畸形上、色素牙,無須拔牙
純韓仿生美牙冠案例對比,
蘇州園區牙博士口腔醫院美牙冠案例 純韓仿生美牙冠是牙博士口腔獨家引進的韓國YE牙科集團最先進、最成熟、最具國際品質的技術之一,該技術以YE獨有的3-3-4-4黃金美齒法則獨步國際齒科美容界,具有快速正畸,美齒、矯齒、治齒一步到位的功效。
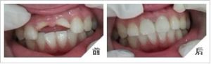
(2)純韓微創即刻種植牙——完美解決牙齒缺失問題,全球首創,成功率100%
純韓微創即刻種植牙對比案例,
蘇州園區牙博士口腔醫院種植牙案例 牙博士目前所採用的純韓微創即刻種植技術是由韓國最大的口腔集團YE國際牙科集團通過上千位齒科導師歷經20年的不斷摸索、實踐、總結精研而成,其微創性及精細化在世界種植領域開創先河,擺脫了傳統種植牙繁瑣低效的步驟,大大縮短了種植所需的時間,全口種植僅需30分鐘。
(3)韓式隱形正畸——量齒定做、完全隱形,給牙齒最科學的矯正
韓式隱形正畸無形美牙,
蘇州園區牙博士口腔醫院隱形正畸案例 牙博士率先引進的韓式隱形正畸技術是完全個性化的設計理念,可根據正畸者的情況佩帶不同的矯治器,完全不影響正畸者的生活。具有隱形高效,穩定美觀的特點,並且大大地縮短了療程,使治療時間縮短近三分之一,是目前最受歡迎和信賴的美齒項目。
(4)美國Beyond藍光美白——30分鐘美白牙齒,效果持續5年之久
美國Beyond藍光美白牙齒,
蘇州園區牙博士口腔醫院藍光美白案例 美國Beyond藍光美白結合智慧型激活能量美牙理念,是好萊塢明星及政商要員及高端人士的美白首選,在歐美,已有超過4百萬人用藍光美白技術美白牙齒,它被稱為效果最好的午休美容項目,美白效果直接更持久,僅需30分鐘,其效果可提高5-15個vita色階,能有效地抑制牙菌斑的形成及激活牙體組織。
(5)明星3D瓷貼面——不磨牙、全程無痛,輕鬆擁有明星靚牙
明星3D瓷貼面修復牙齒效果,
蘇州園區牙博士口腔醫院瓷貼面案例 牙博士口腔獨家引進的明星3D瓷貼面是一種不磨牙,無須麻醉,全程無痛,風靡歐美日韓的國際美牙新技術,根據求美者牙齒高低厚薄進行3D精細化量齒定製,只需在牙齒表面貼上薄薄的、德國原裝進口的全瓷貼片,就能擺脫四環素牙,氟斑牙,個小牙,牙列稀疏等醜牙困擾,輕鬆擁有明星般持久靚牙!
醫院韓國專家
蘇州園區牙博士口腔醫院的韓國專家介紹:韓國名家超強陣容,精湛技術冠領蘇城。牙博士注重人才引進,不斷的吸收國外先進技術和理念,以實現讓蘇州人不出國門也能享受來自韓國最先進、完善的齒科醫療服務。坐診園區的韓國專家有趙栽晉教授(上左1),孫一秀教授(上左2),李彰源院長(下左1),文政浩院長(下左2),姜建宏院長(下左3)等,讓蘇城百姓享受高端美齒。
蘇州園區牙博士口腔醫院韓國專家 醫院地址
蘇州牙博士口腔園區機構坐落於蘇州園區CBD中心,蘇雅路368號與星桂街交叉口處(環球188財富廣場往北100米),不管是捷運、公車還是自駕車都十分方便。地址:蘇州工業園區蘇雅路368號星桂街交叉路口(環球188財富廣場往北100米)
公交1:178路,307路,818路(都市花園南站下車右轉步行50米)
公交2:518路,206路,146路,108路,106路,47路(師惠坊站下車馬路對面向北前行100米)
捷運:捷運1號線星海廣場站3號出口往西200米。

