舒雅無痛牙周治療概述
舒雅無痛牙周治療由高年資口腔專家親自操作,藉助國際最新的軟磁換能式牙周綜合治療儀,採用非手術的方式對牙齒及牙周進行深層次清潔,配合專業藥液沖洗,能治療或緩解因牙周問題引發的口臭、牙齦出血、牙齦流膿腫脹、牙齦炎症、牙周袋過深、牙槽骨吸收、牙槽骨高度降低、牙齒鬆動、移位、咀嚼無力等症狀,維繫長期的口腔健康。
舒雅無痛牙周治療儀舒雅無痛牙周治療儀
舒雅無痛牙周治療技術特點
舒雅無痛牙周治療技術特點舒雅無痛牙周治療技術特點
·無創治療
無需手術切開牙齦即可輕鬆進行牙周的治療,去除生物膜、細菌和牙石沉積物。
·舒適無痛
治療頭高頻微直徑震動,對牙體擊打力量微小,使治療過程輕柔、無痛、舒適。
·治牙美牙一舉兩得
治療過程不僅可清除牙周袋內腐敗組織和產物,去除生物膜和齦下結石,去除毒素,同時還完成對牙齒的清潔和拋光。
·防止牙齦萎縮
通過治療,有效去除齦下菌斑及牙石,改善齦下微環境,阻止牙齦退縮,利於牙周組織的癒合和修復。
·預防牙齒松落
牙周炎症會導致牙槽骨破壞,從而引起牙齒鬆動脫落,炎症控制後,破骨減弱,新骨生長。通過舒雅無痛牙周治療可以預防牙齒松落,還有一定幾率使鬆動的牙齒恢復穩固。
舒雅無痛牙周治療技術優勢
舒雅無痛牙周治療無不適、效果好
舒雅無痛牙周治療可有效降低患者洗牙後的疼痛感,該治療儀將普通洗牙機對牙面的垂直震動改進為旋轉震動,其工作頻率為42000HZ,強大的超聲流可將平時不易清洗的牙石瞬間擊碎,旋轉震動的治療頭減輕了對牙體的擊打作用,因此患者在牙石清潔術後不會感到疼痛,使用該治療儀做齦下刮治清創術,有利於牙周組織的癒合和修復,而在術後護理時,使用同樣的技術可以令牙周袋變成鞏固牙周組織的附著力。
舒雅無痛牙周治療觸洗牙之不可及
舒雅無痛牙周治療儀,採用醫用鈦金屬手工製作而成,可在三維空間內自由操作,能順利抵達最後磨牙的遠中面,外設部件均可分解消毒,防治交叉感染,配備可更換式供液系統,可根據患者不同病況,更換不同的沖洗液,有效進行針對性的治療,提高治療效果。
舒雅無痛牙周治療讓根管治療變得更有效
舒雅無痛牙周治療儀還可進行有效的根管治療,其彈性的根管挫可根據根管形狀進行預彎,有效進行細小根管和堵塞根管的清理擴大,沖洗消毒可到達根管的根尖部分,強大的超聲流使根管擴大和沖洗殺菌同步完成,彈性的根管銼可避免管挫在根管內折斷的危險。
舒雅無痛牙周治療套用領域
舒雅無痛牙周治療套用領域主要在於牙周疾病。牙周病是指發生在牙周支持組織的各種疾病,是人類最古老、最普遍的疾病之一。其主要臨床表現是牙齦炎症、出血、牙周袋形成、牙槽骨吸收、牙槽骨高度降低、牙齒鬆動、移位、咀嚼無力,嚴重者牙齒可自行脫落或者導致牙齒的拔除。流行病學調查顯示牙周炎是我國成年人喪失牙齒的首位原因。
舒雅無痛牙周治療工作原理
超聲能量產生方式:軟磁換能式——磁致伸縮材料在磁場中能行體積的膨脹與還原,而產生的微震動,傳遞給鈦合金工作頭。功率:42000HZ/秒
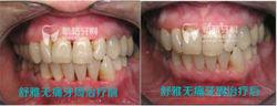
舒雅無痛牙周治療案例
舒雅無痛牙周治療案例舒雅無痛牙周治療案例
舒雅無痛牙周治療相關知識
無痛治療不動手術驅除牙周病
使用舒雅無痛牙周治療儀根周治療頭可深入牙齦14MM清除牙周袋結石,可輕鬆去除齦上、齦下的牙垢和齦下微生物膜,配合抗菌素沖洗,令牙周袋深度減少,達到非手術治療牙周病,治療後無不良反應,不會對患者造成二次傷害。
舒雅無痛牙周治療安全性考察
主機採用鋁合金精加工而成,金屬機殼增加產品安全性能,有效禁止電磁輻射。手柄及電纜,可拆卸,單獨消毒滅菌。手柄電纜為耐高溫、高壓材料,消毒時不產生有害物質。

