發病原因
膝外翻造成X型腿的主要原因有三種,一種是小兒的佝僂病,一種是先天的遺傳,另外還有一少部分是因為軟骨發育障礙、外傷、骨折等引起的後遺症。這種腿部的畸形不僅影響形與健美,對於人體健康也有較大的影響,膝外翻或內翻都破壞了膝關節的正常力的分布,使關節一側所受的應力增大,對側相對減少,同時由於下肢力線的改變,髕骨、股骨之間的摩擦增加。這樣時間一長,還會引起膝關節行走時疼痛,關節的活動也受到影響,容易導致骨膝關節炎,對於這種腿形進行矯正,不僅能夠增進體形的健美,還可以改善膝關節應力不平衡的狀態。
疾病危害
正常的膝關節,壓力是平均分布在關節面上的。而X型腿的人,由於膝關節外翻,身體重量就過多集中於膝關節外側關節面上,同時下肢力線不良,髕骨及股骨之間的摩擦增多,易導致髕骨軟化。過度的壓力和摩擦力,會導致膝關節外側軟骨面磨損,脛骨平台塌陷,繼發骨性關節炎。到年齡大了,就容易出現關節痛,影響到正常的行走活動。
特徵
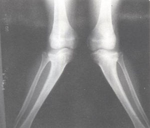
膝外翻畸形X線表現膝外翻系膝關節向外翻轉,股骨關節面向外傾斜。兒童足部縱弓尚不健全,足弓平坦,輕度外翻。在2~6歲期間的兒童存在發育性膝外翻,有輕至中度的外翻是正常的生理現象。如果膝外翻明顯,兒童走路笨拙,走路時雙膝摩擦(膝外翻又稱碰膝症),兩足分開。病兒可能使一側下肢沿另一側下肢擺動,以防膝部碰撞。病兒易疲勞,其足尖向內側偏,以使身體重心落在足底中央,即第二跖骨。如果小腿三頭肌和髂脛束攣縮,其足尖則偏向外側,常常出現小腿後側或大腿前部疼痛。嚴重膝外翻,股四頭肌力線排列紊亂,髕骨向外側滑脫。膝外翻兒童體育活動較少,身體往往肥胖。異常的負重關係能使膝內側副韌帶拉長,有時導致退行性關節炎。膝部外側受力大,股骨關節面向外傾斜。
判斷
膝外翻與O型腿相反,x型腿是指兩足並立時,首先是兩側膝關節碰在一起,而兩足足跟則靠攏不了,走路出現兩膝“打架”互碰的步態。
判斷x型腿的程度,主要根據“常態膝距”和“主動膝距”兩個指標。
所謂常態膝距,指的是直立雙膝關節靠攏、雙腿和膝關節放鬆時,兩足踝部內側的距離。
主動膝距,指的是直立時雙膝關節靠攏、腿部和膝關節向內用力併攏,兩足踝部內側的距離。
根據常態膝距和主動膝距的大小,“x型腿”分為Ⅰ度、Ⅱ度、和Ⅲ度。
◆常態膝距在3厘米以下,主動膝距為0的屬Ⅰ度;
◆常態膝距在3~~6厘米,主動膝距大於0的屬Ⅱ度;
◆常態膝距大於6厘米的屬Ⅲ度。
病因
膝外翻非常複雜,主要是由於以下原因所導致:
1、佝僂病或骨軟化病(其原因是缺乏維生素d)所引起的膝部畸形;
2、脊髓前角灰質炎導致股骨或脛骨發育異常;
3、骨腄損傷導致股骨或脛骨發育異常;
4、骨髓炎導致股骨或脛骨發育異常;
5、其它疾病(如骨折、外傷、骨瘤等引起的後遺症)導致股骨或脛骨發育異常。
以上各種發病因素中,佝僂病為最常見的重要因素。x型腿病變多發生於脛骨,直立時,雙下肢向外側呈弧形凸出畸形,兩足內踝部靠攏,兩膝部之間不能併攏,有較大間距,類似“x”形,故稱x型腿。臨床表現主要為膝部畸形,行走障礙,病程長者可繼發張力側膝韌帶鬆弛、退化性關節炎、髕骨脫位及髕軟骨軟化等症,並引起相應的症狀。本病多發於兒童及青少年,可累及一側或兩側下肢,或病變僅限於一側下肢,外觀類似“K”形,故又稱“K”形腿,其實是x型腿的一種特殊類型。
診斷要點
外形特點可直接明確,下肢全長Х線片可確定外翻畸形的角度及程度。
危害
危害一
超過5歲後,x型腿會引發很多併發症可有必要及早進行矯正。天長日久,還會引起膝關節行走時疼痛,關節活動也受影響,進而易導致骨性膝關節炎。
危害二
是身體兩側的S型曲線被破壞了,原本到膝關節內收的弧線太過分了,成為向內凹陷的曲線,非常誇張,視覺上就缺乏那種玲瓏之美了。
危害三
是由於x型腿的人,大小腿都是骨骼內側肌肉多,外側肌肉少,這樣導致下肢內輪廓線更加內收。顯得小腿特別彎。
危害四
x型腿由於肌肉分布不勻稱,腿失去了筆直曲線,整個人也少了幾分挺拔。
危害五
x型腿的人,兩條腿之間過度的“糾纏”,在視覺上非常不美觀。
危害六
x型腿的人,由於小腿膝關節下面向內收縮特別嚴重,給人的感覺就顯得小腿很短。
危害七
x型腿的人,由於大腿曲線變化,從正面看,顯得腿短,上下肢比例失調。
危害八
x型腿的人,由於身體重量過多集中於膝關節外側,在行走時,不易保持平衡,步態難看。
糾正操
矯正操一
1.坐在椅子1/3處,腰桿打直身體向上伸展。
2.雙手置於坐椅兩旁,左腳抬起向前,腳尖朝上。
3.還原換邊重複8~12下,共3次。
矯正操二
1.坐在椅子1/3處,雙手手肘置於大腿內側。
2.雙手手肘用力往外撐,大腿用力向內收。
3.形成抗力停留5~10秒。
4.重複8~12下,共3次。
治療
對嬰幼兒應注意預防畸形的發生。但實際在發現畸形以前,很少有機會施行預防措施.有些較重的骨骺損傷與疾病預後並不樂觀。
總的說來,一旦發現畸形,除治療病因外,可早期使用牽引,夾板、支架等.防止畸形發展並儘量予以矯正.較簡便的方法是在幼兒時期將兩腿用夾板固定後再併攏用繃帶纏繞在一起。
在非手術療法方面,適用於輕度膝外翻而關節尚有相當活動範圍者,有大腿肌肉按摩.手法推拿矯正並結合使用矯形支架.對小兒可用石膏夾板或管型逐次矯正畸形後.再用支架長時期維持以防復發.按摩大腿肌肉,特別是內側肌肉,包括股四頭肌.縫匠肌等,並結合練習主動運動.如此可使膝外翻的拮抗肌力增強。通過被動與主動運動使外側攣縮的軟組織拉長並刺激骨骺生長,使發育趨向正常。
在確定手術方面,必須考慮患兒年齡,畸形程度、局部肌肉韌帶等軟組織情況、對成人更須考慮某些條件,如病人的生活習慣、職業等.對兒童最好是先行非手術治療,5~6歲以後再施行手術為宜.Bade認為踝間距達7厘米者為手術適應證.對關節不穩定的病人,如有不同程度的癱瘓或骨關節炎者,尚須行穩定關節的手術。
一般較有效的方法是於骨骼畸形處行截骨術糾正之,如股骨髁上截骨術.據我院經驗以側方“V”形截骨術較好。其股骨髁部斷端形成的。魚咀”可維持截骨端的穩定,並有較大的接觸面,有利於骨癒合。
對膝關節不穩定者,除截骨矯正畸形外,尚應利用大腿部肌腱等加強或重新修復鬆弛的韌帶等組織。
術後大部分病人可獲得理想的效果,踝間距減少至2厘米以下者,可屬效果良好。
此外,在兒童期有使用鋦釘限制骨骺生長的方法,稱骨骺生長阻滯術.手術最好在X線透視控制下.於股骨下端及脛骨上端之內側,跨越骨骺盤插入鋦釘3~4枚以阻止骨骺盤之生長作用。以後經X線檢查,畸形糾正後可將鋦釘拔出,以便骨骼繼續生長。但本手術對患肢過長者較為適用.而對患肢短於健側者須慎重考慮.有人於乾骺端外側,鄰近骨骺盤處,鑽孔植入小骨棒或鏇入螺絲釘,使發生充血反應等,促進骨骺盤的生長作用,使畸形能夠較快的矯正。但須視骨骺盤具體情況而定.若已癒合則本手術亦難奏效。總之,此類手術不如截骨術之效果可靠。
對青少年也可行骨骺融合的方法,限制一側骨骺盤的生長作用,有與鋦釘類似的效果。
隨訪指導
1. 定期隨訪,按醫囑正確功能鍛鍊。
2. 需根據保守治療的效果決定下一步治療的方案。

