病因及病理
病因不明。半數以上的患者為酒精中毒晚期,也可見於腎衰透析後、肝功能衰竭、肝移植後、淋巴瘤及癌症晚期、營養不良、敗血症、急性出血性胰腺炎和嚴重燒傷等。低鈉血症時腦組織處於低滲狀態,過快補充高滲鹽水、糾正低鈉血症使血漿滲透壓迅速升高,引起腦組織脫水和血腦屏障破壞,有害物質透過血腦屏障可導致髓鞘脫失。
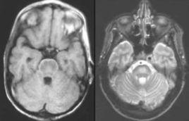
本病特徵性病理特點是,腦橋基底部呈對稱分布的神經纖維脫髓鞘,病灶邊界清楚,直徑可為數毫米或占據整個腦橋基底部,也可累及被蓋部分。神經細胞和軸索相對完好,可見吞噬細胞和星形細胞反應。
臨床表現
常在原發病基礎上突發四肢遲緩性癱,咀嚼、吞咽及言語障礙,眼震及眼球凝視障礙等,可呈緘默及完全或不完全閉鎖綜合徵。
治療
目前仍以支持和對症治療為主,積極處理原發病。糾正低鈉血症應緩慢,不用高滲鹽水。限制液體入量,急性期可用甘露醇、呋塞米等治療腦水腫。

