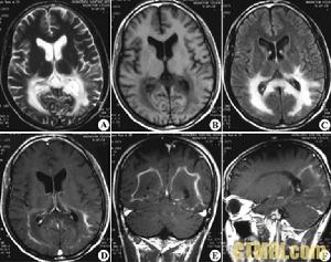
腎上腺腦白質退化症CT片腎上腺腦白質退化症英文名稱為Adrenoleukodystrophy,簡稱ALD,是一種X性聯隱性遺傳性的神經退化疾病,其缺陷基因位於X染色體上。
ALD致病機轉為X染色體上的ABCD1基因缺乏,這種異常基因會使細胞內過氧化物體peroxisome超長鏈飽和性脂肪酸(very long-chain fatty acids, VLCFA)代謝異常,使體內的超長鏈脂肪酸異常沉積在大腦白質和腎上腺皮質,侵蝕腦神經系統的髓鞘質,進而妨礙神經的傳導。 ALD發生率約為一萬六千八百分之一至二萬一千分之一,發病年紀不一,症狀包括過渡活躍、語言理解能力下降、記憶力下降、手腳控制不良,至肌肉痙攣、吞咽困難等,以最典型的兒童大腦型而言,會先喪失行動自主能力、語言能力,平均發病年齡為7歲。台大醫院基因醫學部主治醫師胡務亮表示,腎上腺白質退化症(ALD)多發生在四至八歲的男孩身上,病程平均約歷時兩年。
ALD遺傳模式是由母親遺傳給子女,發病者大都為男性;雖然攜帶這項ABCD1基因缺乏的女性絕大多數無症狀,然而有少數女性成年後,會有神經系統症狀。 這個病症的控制,除了透過飲食控制,如減少含有超長鏈飽和性脂肪酸的食物攝取之外,亦可在症狀出現前進行骨髓移植治療。
ALD症(腦白質退化症)最近被宣布初步攻克,科學家使用消滅了毒性的愛滋病毒作為慢病毒載體(因為愛滋病毒可以附著血液幹細胞),將具有正常功能的ALD基因通過慢病毒載體導入患者的血液幹細胞,患者術後情況良好。向這些科學家致敬!
