表現
脊椎炎此外,少數尚可見侵犯顳頜關節、肋椎關節、胸鎖關節的疼痛、腫脹或壓痛、肋椎關節受累尚可出現胸疼和呼吸的減弱,也可刺激肋間神經,引起肋間神經痛,左側肋間神經痛,有誤診為心絞痛者,值得注意鑑別。
檢查
脊椎炎血沉多增塊,類風濕多陰性,HLA-B27多強陽性。
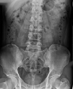
2.X線檢查
早期脊椎周圍關節突出,骶髂關節間隙模糊;中期脊椎活動受限強直,骶髂關節蠶蝕樣改變,部分韌帶骨質破壞,方椎小關節間隙模糊;晚期骶髂關節融合,脊柱呈竹節樣變,脊椎強直駝背,呈竹節樣變。
診斷
1.以兩骶骼關節,腰背部反覆疼痛僵硬為主,3個月以上。
2.早、中期患者,腰椎、胸廊擴張活動有不同程度受限,晚期患者脊椎強直駝背固定。
3.結合生化檢查、X線檢查可作出診斷。
治療
1.要減少久躺、久坐的壞習慣、多運動,鍛鍊腰肌。
2.注意風濕,根據季節,適時的添加衣服、保暖好腰部,防止受寒、受風。
3.注意睡眠的姿勢,睡覺時,平躺時,用毛巾類的東西,墊在腰部,使腰部稍微抬起,這樣會保護腰椎的生理曲線。
4.在學習、工作時的坐姿,儘量的常做到挺胸收腹,坐姿挺拔,(這個姿勢一般人,很難持續下去,可以坐直一會兒、歇一會,在做,再休息)。
5.減緩腰酸痛的生活方法,只能治標,不能治本。脊椎炎在最初的治療效果是最好的,患病中期採取藥物調理方式,中醫對於脊椎炎治療的傳統理論認為“風寒濕邪,痹阻經脈,致使經脈不通,不通則痛”,所以中藥治療一般是以祛風散寒、解痙通絡,活血化淤為目的。

