病情簡介
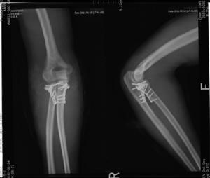
肘關節恐怖三聯征 特指伴有橈骨頭和尺骨冠突骨折的肘關節後脫位,屬於肘關節內複雜骨折脫位的一種類型。這類損傷均同時伴有肘內外側副韌帶的撕裂,但不伴有尺骨鷹嘴骨折。
目前認為尺骨冠突是肘關節前方穩定的第一位因素,防止肘關節後脫位;橈骨頭是肘關節前方穩定的第二位因素,防止肘關節後外側半脫位。重建關節囊和內、外側副韌帶及屈、伸肌起點的結構連續性,對恢復肘關節的穩定亦有重要作用。雖然冠突的骨片均很小,但冠突骨折的存在提示了肘關節的伴發損傷很多和肘關節不穩定,因此多需手術治療以恢復關節的中心復位和穩定性。只有在重建了骨關節和軟組織結構穩定的基礎上,及早(3周內)進行康復鍛鍊,才能使肘關節獲得足夠的日常生活活動範圍:屈伸和前臂鏇轉幅度各100°。術後以塑形良好的後側石膏托,將肘關節屈曲至90°、前臂中立位固定,維持肘關節的中心復位並保護修復的內、外側軟組織。在術後3周取下石膏托,開始肘關節屈伸和前臂鏇轉的主動鍛鍊,但6周內避免伸肘超過150度
常見病因
肘關節恐怖三聯征2002年Ring等和Pugh等對這一損傷類型做了詳細報導,探討了其治療方法和預後效果。肘關節三聯征多發生於年輕人,是肘部嚴重的高能量創傷,由施加於上肢伸展位的縱軸方向壓縮和剪下暴力引起,屬於複雜肘關節骨折脫位的一種,高處墜落和車禍是常見原因。
處理簡要
處理方式以往對肘關節“恐怖三聯征”多採取保守治療,一般很難維持肘關節穩定性並有再脫位的傾向,目前學者們多主張採取積極的手術治療。手術治療策略有恢復尺骨冠狀突穩定性、通過橈骨頭骨折內固定或金屬假體置換以恢復外側柱穩定性、修復外側副韌帶及相關結構及必要時修補內側副韌帶或套用可活動鉸鏈式外固定支架輔助固定以利於早期活動。
損傷機制
尺骨冠突和橈骨頭均位於肘關節前方,其最主要的生物力學作用是從前方對肘關節予以支撐,對抗其後脫位傾向。典型的肘關節後脫位是上肢在伸展位跌倒(fallonoutstretchedhand,FOOSH),外翻、縱軸壓縮和後外側鏇轉暴力作用於肘部,由後外側鏇轉損傷機制(posterolateralrotatoryinjurymechanism,PLRI)引起。尺骨和前臂相對於肱骨滑車是在鏇後位上脫離,發生後脫位(肱尺關節),而上尺橈關節的關係往往正常。在這一損傷機制中,破壞是從肘關節的外側逐漸向內側發生的;如果暴力在不同的作用時期終止,則發生不同的肘關節損傷類型。
(1)單純肘關節後脫位,均伴有前外側關節囊和外側副韌帶的撕裂;
損傷機制(2)肘關節後脫位伴橈骨頭骨折,骨折可以是Mason分類的任一類型,為Johnston改良的Mason分類第IV型橈骨頭骨折,均有外側副韌帶的損傷;
(3)肘關節後脫位伴冠突尖骨折,
(4)肘關節後脫位伴橈骨頭和尺骨冠突骨折,即所謂的肘關節恐怖三聯征。在三聯征損傷中,冠突骨折多屬於Regan-Morrey的I型和II型,不超過冠突高度的50%。 Doornberg等通過CT片研究了13例肘關節三聯征的冠突骨片高度,平均為7mm(3~12),而冠突的整個高度平均為19mm(12~25mm),骨片占整個冠突高度的35%(19~59%)。但筆者經4例手術發現,術中觀察到的冠突骨片均較術前的影像測量為大。
治療原則
治療工具在1996年Hotchkiss提出肘關節恐怖三聯征的概念以前,臨床對其認識不深,治療效果多不滿意。2002年Ring等和Pugh等總結了以前治療肘關節三聯征失敗的原因,一是採取保守治療沒有重建肘部關鍵結構的穩定性,導致肘關節創傷性不穩定,反覆發生脫位、半脫位;二是制動時間過長,導致肘關節僵硬而喪失活動度;三是手術治療中切除了橈骨頭,破壞了肘關節前外側的穩定結構,仍然發生肘關節不穩定。
目前認為尺骨冠突是肘關節前方穩定的第一位因素,防止肘關節後脫位;橈骨頭是肘關節前方穩定的第二位因素,防止肘關節後外側半脫位。重建關節囊和內、外側副韌帶及屈、伸肌起點的結構連續性,對恢復肘關節的穩定亦有重要作用。雖然冠突的骨片均很小,但冠突骨折的存在提示了肘關節的伴發損傷很多和肘關節不穩定,因此多需手術治療以恢復關節的中心復位和穩定性。
只有在重建了骨關節和軟組織結構穩定的基礎上,及早(3周內)進行康復鍛鍊,才能使肘關節獲得足夠的日常生活活動範圍:屈伸和前臂鏇轉幅度各100°。
手術規範
手術2004年Pugh等提出了治療肘關節三聯征的手術規範。2005年McKee等詳細介紹了手術技巧。方法是採用肘外側入路,由深至淺依次修復下列結構:冠突骨折→前關節囊→橈骨頭骨折→外側副韌帶→伸肌總腱起點。冠突骨折復位後採用空心螺釘固定,骨片太小者採用“拉索”縫合固定;橈骨頭骨折復位後採用空心螺釘、Herbert釘固定,伴有橈骨頸骨折者採用微型鋼板支持固定,只有橈骨頭嚴重粉碎無法固定時,才考慮切除並金屬橈骨頭假體置換,禁忌單純切除橈骨頭。經外側入路修復之後,術中檢查肘關節的穩定性,特別注意在屈伸肘關節20~130°時有無後脫位或後外側半脫位。不穩定在肘伸直和前臂鏇後位時更容易查出。如果此時發現有不穩定,則再作內側切口修復肘內側副韌帶,或使用絞鏈外固定支架。但作者認為單純肘關節外翻不穩定不是修復內側結構的指證。Pugh等報告了36例(36肘)患者,男22例,女14例,平均41.4歲。肘關節三聯征的具體表現為:
經平均34月(20~65)隨訪,肘關節平均屈伸幅度112°±11°,前臂平均鏇轉幅度136°±16°。29例達到了Morrey肘關節功能活動範圍的要求(屈伸、鏇轉各100°)。34例獲得了肘關節穩定的中心性復位。

