臨床表現
1.全身感染症狀,病人有發熱、頭痛、嘔吐、全身乏力、嗜睡睏倦等表現。
2.膿腫所在部位有顱骨骨髓炎,表現局部腫脹、壓痛,但神經系統定位和顱內壓增高症狀不明顯。
診斷鑑別
診斷依據
1.有顱骨骨髓炎、鼻竇炎、中耳炎、乳突炎或頭面部感染史。
2.表現有全身感染症狀。
3.有或無腦膜刺激征,或腦病灶症狀。
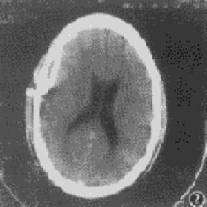
4.腦血管造影、頭顱CT或MRI顯示病變。
5.顱骨鑽孔檢查或穿刺由硬腦膜外抽出膿液。
疾病治療
治療原則
1.治療原發感染源。
2.手術治療。
3.全身套用抗菌素。
用藥原則
1.依據細菌培養結果,選擇敏感抗菌素。
2.伴全身症狀嚴重者,選用一種或二種抗菌素聯合使用,或選擇抗菌譜廣的抗菌素,如頭孢菌素類藥。
3.混有厭氧菌感染,加用滅滴靈。

