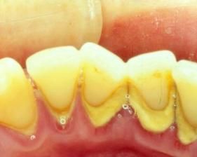
形成原因
這是由於長期的不良口腔習慣導致的,也是口腔衛生不良的一種標誌。石灰牙不是天生就有的,是由於人們長期飯後不清理口腔,或清理的不乾淨,致使食物殘渣長期堆積在牙齦和牙齒的縫隙里鈣化所形成的。它主要存在於下前牙的舌側和上後牙的頰側,呈灰黑色或青黃色。它的危害很大,長期存在不但口腔異味很重,而且會導致牙齦萎縮,牙齒鬆動,牙頸部暴露伴刷牙出血。
治療方法
目前有很好的治療方法,那就是到正規的醫院去做潔治(洗牙)並伴藥物治療,而且要在醫生的指導下刷牙,清理口腔,正常的成年人洗牙齒大概一到一年半左右一次。

