原因
如脫落物是牙體組織,大多比較堅硬,有可能外傷後,如在碰傷,或咬合創傷,咬硬物如砂子等;也可能是爛牙壞死後,牙體組織缺乏血液供應而脆性增加,易折斷脫落。這肯定有牙痛史,且口腔檢查能發現有齲壞牙齒存在。
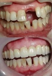
治療
如果只是輕微的情況,那只需要加以磨光和塗一些脫敏藥就可以了。如果牙髓暴露,就應首先處理牙髓,待牙髓治療結束後再修復缺損的牙體。
誤區
1、牙越磨越結實,啃點硬東西沒關係。
2、老人牙齒鬆動脫落是自然現象,防也無用,治也無益。
3、掉一兩顆牙,不必急著補,等掉淨了換全口假牙。

是指受外力撞擊、牙周病牙齦萎縮、年老牙齦營養性萎縮等因素造成牙齒鬆動。牙齒在健康狀態有一定的活動度,主要是水平方向的,垂直方向更是非常微小,不超過0.02mm,不易被察覺。當由於某些疾病因素或其他因素造成牙齒的活動度大於這個範圍時牙齒鬆動,嚴重後造成牙齒脫落。維持口腔衛生,定期進行口腔檢查,避免外力對牙齒的損傷是防止牙齒鬆動和脫落的重要措施。
如脫落物是牙體組織,大多比較堅硬,有可能外傷後,如在碰傷,或咬合創傷,咬硬物如砂子等;也可能是爛牙壞死後,牙體組織缺乏血液供應而脆性增加,易折斷脫落。這肯定有牙痛史,且口腔檢查能發現有齲壞牙齒存在。
如果只是輕微的情況,那只需要加以磨光和塗一些脫敏藥就可以了。如果牙髓暴露,就應首先處理牙髓,待牙髓治療結束後再修復缺損的牙體。
1、牙越磨越結實,啃點硬東西沒關係。
2、老人牙齒鬆動脫落是自然現象,防也無用,治也無益。
3、掉一兩顆牙,不必急著補,等掉淨了換全口假牙。
是指受外力撞擊、牙周病牙齦萎縮、年老牙齦營養性萎縮等因素造成牙齒鬆動牙齒在健康狀態有一定的活動度,主要是水平方向的,垂直方向更是非常微小,不超過0.02...
原因 檢查 鑑別診斷 緩解方法牙齒是一種在很多脊椎動物上存在的結構,一般而言,牙齒呈白色,質地堅硬。牙齒的各種形狀適用於各種用途,包括撕裂、磨碎食物。某些動物,尤其是食肉動物,牙齒是...
概述 牙齒保健 美白 牙齒脫落的原因 5個牙齒健康問題脫落,意為附著的東西掉下,可用於形容牙齒、油漆、毛髮,也可引申用於形容文字、植物、視網膜等。文字脫落意為文字遺漏,植物脫落指的是葉、花、種子或果實。在醫...
漢語詞語 生理現象 英語相關牙齒疼痛是指牙齒因各種原因引起的疼痛而言,為口腔疾患中常見的症狀之一,可見於西醫學的齲齒、牙髓炎、根尖周圍炎和牙本質過敏等。遇冷、熱、酸、甜等刺激時牙齒...
類型 病因 症狀 辨證 治療牙齒是一種在很多動物上存在的結構,人類、兩棲類、爬行類、鳥類和高等哺乳動物咀嚼食物的器官。牙齒是人類身體最堅硬的器官。一般而言,牙齒呈白色(正常人略帶微...
詞義介紹 演化史 分類 生長 功能《兒童牙齒保健》是一本介紹少兒童牙齒保健的書籍,該書由武漢大學出版社出版。本書針對日常生活中多見的並為人們普遍關心的牙病,以通俗、生動的語言,風趣幽默的...
編輯推薦 目錄 書摘牙齒保健是指對牙齒的保護,包括牙齒整齊、潔白、沒有牙齒疾病,比如牙周病等、口腔無異味、正常進行咀嚼功能等。每天養成刷牙的好習慣,早晨起床和晚上睡著之前都...
基本介紹 保健標準 保健方法 自我口腔保健的方法 牙齒保健7大常識牙齒鬆動表現為:牙齒鬆動的原因有可以是受外力撞擊引起,牙周病牙齦萎縮引起、年老牙齦營養性萎縮造成牙齒鬆動,嚴重後是牙齒脫落,前一種是屬於外力引起鬆動,後...
臨床分度 概述 主要原因 不需拔牙 疾病預防