概述
Pancoast綜合徵(Pancoast syndrome)又稱肺尖腫瘤綜合徵,是指因肺尖部的腫瘤浸潤、壓迫而引起的上肢頑固性疼痛和同側Horner綜合徵的一組病徵,本徵首先由Pancoast(1924)提出。見病因有肺癌、胸膜間皮瘤、乳腺癌、甲狀腺癌、食管癌等,以肺癌最多見,尤其是肺尖癌或肺上溝癌,有時為肺尖部轉移性癌。治療疼痛劇烈時可用嗎啡、哌替啶(度冷丁)等止痛劑,或採取神經封閉療法。根據原發腫瘤酌情予以放射治療或化學藥物治療,也可做神經腫瘤剝離術。
疾病名稱
潘科斯特綜合徵
英文名稱
pancoast syndrome
別名
Pancoast's syndrome;Pancoast綜合症;肺尖腫瘤綜合徵;潘科斯特氏綜合徵;Pancoast綜合徵
分類
呼吸科 > 呼吸系統相關綜合徵
ICD號
J98.8
流行病學
肺尖腫瘤綜合徵首先由Pancoast(1924)提出,目前資料尚少。
病因
潘科斯特綜合徵常見病因有肺癌、胸膜間皮瘤、乳腺癌、甲狀腺癌、食管癌等,以肺癌最多見,尤其是肺尖癌或肺上溝癌,有時為肺尖部轉移性癌。
發病機制
腫瘤侵犯骨及通過胸腔入口的神經叢而引起症狀,若第1、2肋骨被破壞,可有局部疼痛;臂神經叢受累時,可有上肢感覺或運動障礙;交感神經鏈被累及,可引起Horner綜合徵。
臨床表現
肺癌或縱隔腫瘤患者出現持續性劇烈的肩痛、腋窩痛及上肢痛,同時可出現患側眼瞼下垂、眼球凹陷、瞳孔縮小、患側面部無汗及感覺異常等Horner綜合徵表現。
併發症
可引起Horner綜合徵。
實驗室檢查
目前資料甚少。
其他輔助檢查
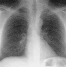
胸部X線檢查:早期可無異常,或僅見肺尖部模糊陰影,當腫塊逐漸增大時,可出現肺內凸出的塊狀陰影,1~3肋骨常被侵蝕糜爛,附近脊椎骨也可被破壞。
診斷
根據臨床表現、胸部X線檢查,初步可作出診斷。
鑑別診斷
潘科斯特綜合徵應與中樞神經失調和腦幹損傷相鑑別。
治療
1.治療疼痛劇烈時可用嗎啡、哌替啶(度冷丁)等止痛劑,或採取神經封閉療法。同時應加強營養支持療法。
2.原發腫瘤的治療 根據原發腫瘤酌情予以放射治療或化學藥物治療。多數患者已失去手術時機,但對疼痛劇烈者,儘管不能切除病灶,但可做神經腫瘤剝離術,或做第Ⅰ、Ⅱ胸神經切除術,以減輕疼痛症狀。
預後
一般預後不良。
預防
積極治療原發病,同時加強營養和支持療法。
相關藥品
嗎啡、哌替啶

