組成
淋巴小結主要是B淋巴細胞分布和轉化的部位。暗區的大淋巴細胞不斷分裂和分化成為明區的中淋巴細胞,明區的中林巴細胞進一步增植分化成為小結帽的小淋巴細胞。其中大部分為記憶淋巴細胞,可參加淋巴細胞的再循環,當再次遇到相應的抗原刺激,即再度分化為效應細胞;一部分為漿細胞的前身,它們由小結遷移到髓質,通過淋巴和血循環進入其他淋巴器官、淋巴組織或慢性炎症處附近的結締組織,轉化為漿細胞,分泌抗體。
類型
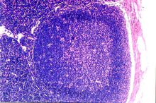
通常淋巴小結有兩種類型:初級淋巴小結(primarylymphoidnodule),見於未受刺激的淋巴小結,體積較小,是由分布均勻並密集的小淋巴細胞所組成;次級淋巴小結(secondarylymphoidnodule)的周圍有扁平的網狀細胞,境界清楚,在小結的中央部分染色較淺,常見細胞分裂象,此處產生淋巴細胞,故稱生髮中心(germinalcenter)。
生理變化
當受到抗原刺激時,生髮中心迅速增大,並有大量巨噬細胞聚集。在發育充分及免疫應答活躍的次級淋巴小結的中央有明顯的生髮中心,多呈圓形或橢圓形,直徑約0.1~1.0mm,是有極性的結構。由內向外可區分出暗區和明區二部分。暗區(darkzone)是生髮中心的內側份,主要由幼稚的大淋巴細胞密集而成,胞質嗜鹼性強,故染色較深,在大淋巴細胞之間也可見吞噬啐屑的巨噬細胞和裝細胞;明區(lightzone)是生髮中心的外側份,含有較多的網狀細胞、巨噬細胞、濾泡樹突細胞稱中等大的淋巴細胞,這些淋巴細胞是由暗區的大淋巴細胞轉化而來,細胞分有鬆散,放著色較淡;在生髮中心的頂部及周圍有一層密集的小淋巴細胞稱為帽(cap)或小結帽,這些小淋巴細胞多為B記憶淋巴細胞和漿細胞的前身,分布在生髮中心的頂部和周圍,著色較深、形似新月。小結帽多位於淋巴流入的方向,或朝向抗原進入的方向,為最先接觸抗原的部位。淋巴小結的形態和結構不是固定不變的,抗原刺激與否及抗原刺激程度均影響到淋巴小結出現的數量和形態結構,因此、淋巴小結是反映體液免疫應答的重要形態學標誌。
存在形式
除有一般網狀細胞外,還有許多濾泡樹突細胞(folliculardendriticcell),它主要位於淋巴小結的生髮中心,突起細長而且分支,胞質暗酸性,對5-核苷酸酶呈陽性及反應,核多呈橢圓形。其功能是濾泡樹突細胞膜的表面能保留抗原和吸附抗原抗體複合物,調節B淋巴細胞的免疫功能。根據存在形式,淋巴小結又可分為兩種類型:單獨存在的稱為孤立淋巴小結(solitarylymphoidnodule);有的由10~40個左右淋巴小結成群存在,則稱為集合淋巴小結(aggregatedlymphoidnodules)。淋巴小結除分布在淋巴器官外,還分布於消化管、呼吸道及泌尿、生殖管道的黏膜中,構成免疫的第一道防線。隨著機體的生理或病理狀態的不同,淋巴組織的形態經常處於動態變化之中。
生理特性
淋巴小結光鏡圖主要體現在充滿於淋巴組織中的淋巴細胞,雖形態相似,但在超微結構上有所不同、免疫功能也不是單一的群體。淋巴組織中的淋巴細胞具有下列重要特性:①特異性(specificity)。淋巴細胞表面有抗原受體,用以識別抗原;不同淋巴細胞的抗原變體是不同的,每一受體只能與相應的抗原相結
合,這就是特異性;抗原受體類型約有100萬種,全身的淋巴細胞總合起來就能識別各種抗原。②轉化性:正常體內大多數淋巴細胞均處平靜止狀態;只有當某種淋巴細胞受到相應抗原刺激後才被激活.這個過程稱為轉化性(transformation),一般需經過40小時,淋巴細胞形態上發生了明顯變化,由一個直徑5~7μm的小淋巴細胞轉變為一個20~30μm的大淋巴細胞。細胞的代謝增強,形態明顯變化,核增大,染色質變細,核仁明顯,胞體核心糖體增多,胞質染色呈較強的嗜鹼性;淋巴細胞轉化後,進行分裂增生,其中大部分可形成參與免疫應答的效應細胞,如能破壞靶細胞的T效應細胞,或能分泌抗體的漿細胞(B效應細胞);這些細胞代謝活躍,能產生免疫效應,但壽命短(約數天或數周)。③記憶(memory):淋巴細胞經抗原激活轉化後,分裂增殖形成的細胞中,有一部分再度轉化為靜息狀態的淋巴細胞,稱為記憶性(T或B)淋巴細胞,其壽命長,可達數年或終生存在,它們在遇到相應抗原刺激後,能迅速轉化為效應細胞,及進清除抗原,使機體免於發病。淋巴細胞這些特性,保持淋巴細胞正常形態和生理的動態活動。

