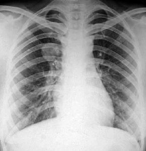
中央型肺癌橫“S”征:發生於右上葉支氣管的肺癌,肺門部的腫塊和右肺上葉不張連在一起,形成橫行“S”狀的下緣。
橫“S”征:發生於右上葉支氣管的肺癌,肺門部的腫塊和右肺上葉不張連在一起,形成橫行“S”狀的下緣。
中央型肺癌橫“S”征:發生於右上葉支氣管的肺癌,肺門部的腫塊和右肺上葉不張連在一起,形成橫行“S”狀的下緣。
橫“S”征,醫學名詞,解釋為發生於右上葉支氣管的肺癌,肺門部的腫塊和右肺上葉不張連在一起,形成橫行“S”狀的下緣。
疾病介紹 相關條目橫是形聲字,木為形,黃為聲。本意是門前的柵欄或橫木,引申為橫向,並由此引申為縱橫交錯、成為橫狀、橫著的意思,用作動詞,橫與寬、廣相通時用作形容詞引申指寬...
詳細釋義 古籍解釋 常用詞組 音韻方言電視動畫《境界之輪迴》改編自日本漫畫家高橋留美子創作的同名漫畫。在動畫化宣布之前的國小館電視廣告“SUNDAY CM劇場”中,內山昂輝、伊瀨茉莉也和釘宮...
故事簡介 製作人員 演員表 各話製作 分集劇情李征,信息科學與技術學院教授、碩士生導師。 中國運籌學會模糊分析與設計專業委員會理事。研究方向為智慧型控制、複雜大系統、工業測控及網路、節能技術。
獲獎情況 科研項目 論著 研究成果 主講課程李征,信息科學與技術學院教授、碩士生導師。 中國運籌學會模糊分析與設計專業委員會理事。研究方向為智慧型控制、複雜大系統、工業測控及網路、節能技術。
獲獎情況 科研項目 論著 研究成果 主講課程李征,1961年8月出生。現任東華大學環境科學與工程學院黨總支書記、副院長,信息學院控制理論與控制工程學科教授。近年來主持和參加完成縱向研究課題12項,...
研究方向 獲獎情況 承擔的項目 發表論著作 國際交流合作電視動畫《屬性同好會D-FRAGMENTS》改編自日本漫畫家春野友矢原作的同名漫畫。最初,在《月刊漫畫Alive》2010年6月號(4月27日發售)上,...
劇情簡介 幕後製作 角色配音 各話列表 分集劇情詩詞律韻探微詩詞律韻探微 詩詞律韻探微 孫德振 編著 香港銀河出版社出版 二零一零年六月 孫德振藝術簡介 孫德振,男,漢族,河南...
《功夫百科全書》 序篇武俠小說縱橫天下,即使是魔幻,歷史題材的小說中也不乏功夫元素混雜其中,點穴,氣功,拳腳功夫,成就...
武術篇 武術的起源與發展 武術篇 馬步 武術篇 沙袋 武術篇 打坐 武術篇 吐納