槽牙
槽牙是一個漢語詞語,拼音是cao ya,意思是第一二雙尖牙。在虎牙兩旁,上下各二。
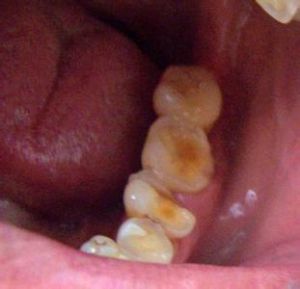
槽牙,即第一二雙尖牙。在虎牙兩旁,上下各二。中有微槽,故名。上屬胃,下屬大腸。
相關搜尋
咖啡
羅漢果
大生地
山藥
蒲公英
無花果
熱門詞條
Byzantium
Sunshine Girl
thunderbird
unless
Volvo XC60
《搞定岳父大人》
人蔘雞湯
吳恩文
失眠的原因
對不起
愛情詩
森森
楔型鞋
湯敏
火藥
烏蘭巴託
生死競賽
葡萄籽
補冬
視網膜剝離
許安安
贏家
辛普森
魯大師
htc8x
university
VORNADO
交通部公路總局
動漫明星大亂鬥
國泰銀行
威剛科技股份有限公司
實況野球2013
張學良故居
怪獸電力公司2
日本天氣預報
毛舜筠
洋洋
烏龍派出所特別篇
糖類
連珍
遊學
長谷川理穗
飆車
龍柏樹
GILT
客家湯圓
水生植物圖鑑
洲際酒店集團
田中直樹
薪資結構
表情符號
黃百鳴