病因

棘阿米巴性角膜炎病原體
棘阿米巴原蟲廣泛存在於自然界,與人類接觸的機會較多,但要造成角膜感染仍然需要一些條件:
(1)致病性棘阿米巴容易粘附於損傷的角膜上皮,因種的不同,其粘附性、致病力及病程亦有不同;
(2)機體免疫力下降時,如使用免疫抑制劑、糖皮質激素及低蛋白等,棘阿米巴容易侵入角膜;
(3)結膜囊微環境改變,如菌群失調,PH改變等,可增加棘阿米巴的侵襲力,在沒有角膜外傷或配戴隱形眼鏡者亦可發病;
(4)隱形眼鏡的影響國外報導AK患者中75%與配戴隱形眼鏡有關,在我國則沒有這樣高的比例,因而不能把是否配戴隱形眼鏡作為診斷AK的主要依據,因為角膜外傷及接觸污染水源同樣可引發AK,在農村及小城鎮的AK患者大多與隱形眼鏡無關。隱形眼鏡可使角膜上皮損傷、缺氧,降低抵抗力,鏡片及鏡片盒可被棘阿米巴污染,多功能護理液中消毒劑的濃度還不能徹底殺滅棘阿米巴,這些因素均可能是棘阿米巴感染的隱患,長時間佩戴,對消毒要求不能嚴格遵守者,AK的發病率相對較高,雖然有一些方法可以殺滅棘阿米巴,如過氧化氫消毒、含氯消毒劑、70°熱消毒、紫外線消毒等,但作為常規消毒方法推廣仍有一定難度。
流行病學
棘阿米巴角膜炎接觸棘阿米巴污染過的土壤、水、空氣和角膜接觸鏡等。也可通過蔬菜物質、昆蟲等落入眼內,或因風沙污物或熱浴等造成的輕度角膜損傷後引起。
雖然致病性自由生活阿米巴性角膜炎在感染性角膜炎中所占的比例不足1%,但已經成為嚴重的致盲性角膜病。第1例棘阿米巴角膜炎報導於1973年,患者為美國南德克薩斯州的一位59歲的牧民,由於角膜外傷並接觸污染的水源而發病。在我國於1991年首次確診並報導了首例棘阿米巴角膜炎,此後國內病例報導逐漸增多。
致病性自生生活阿米巴性角膜炎的發生與一定的危險因素有關,主要包括配戴角膜接觸鏡、污染水源和角膜外傷等。在已開發國家,71%~85%的患者與配戴角膜接觸鏡有關。北京市眼科研究所12年的統計結果顯示,我國棘阿米巴角膜炎28.2%左右與角膜接觸鏡配戴有關。
發病機制
致病性自生生活阿米巴原蟲可不需要寄生在宿主體內,在自然界即可存活,它以細菌、真菌及其他原蟲為食物,約有25%的滋養體內攜帶有細菌。在正常人的咽喉部、腸道也曾分離出棘阿米巴。致病性自生生活阿米巴原蟲造成的人類感染,為偶然接觸感染或機會性感染。
阿米巴原蟲首先與角膜上皮細胞膜的脂多糖結合,黏附在角膜上皮表面,之後釋放活性酶類如神經氨酸酶,使角膜上皮細胞變薄,並且發生壞死,造成上皮屏障的破壞,原蟲繼而侵入角膜基質。最近研究發現,阿米巴原蟲可以通過3種方式損傷角膜上皮細胞:
1胞吞作用
類似吞噬細胞,直接吞噬部分細胞膜成分。
2自發性胞泌作用
在沒有激活過程存在的條件下,阿米巴原蟲自發性釋放溶解酶,導致上皮細胞膜損傷。
3膜激活的胞泌作用
阿米巴原蟲與角膜上皮接觸後,其細胞膜表面的結合體與上皮細胞膜表面受體或配體相結合,激活酶釋放過程,造成上皮細胞的損傷。
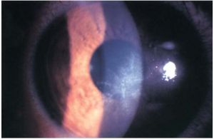
臨床表現
棘阿米巴角膜炎1、表層點狀角膜炎(SPK)
初期表現為SPK或上皮下浸潤類似單純皰疹性角膜炎(HSK)呈粗點狀、樹枝狀浸潤,或小水泡樣病變和地圖狀上皮缺損。
2、角膜基質炎
表現為旁中心的盤狀或環形角膜基質浸潤,其相應的角膜上皮保持完整,易於HSK所致的盤狀角膜基質炎相混淆。鑑別要點是HSK可見KP,而AK絕無KP存在;HSK者角膜感覺全部降低,AK僅中央降低,而周邊增高。
3、化膿性角膜潰瘍
病變進一步惡化時,可形成化膿性角膜潰瘍或角膜基質膿瘍(上皮完整),並可導致後彈力膜膨出或角膜穿孔發生。AK很少伴有角膜新生血管形成。
4、放射狀角膜神經炎
部分病例可出現放射狀角膜神經炎,是AK的特徵性體徵。表現為由角膜緣部向角膜中央方向,沿角膜神經走行的放射狀細胞浸潤,相應的角膜上皮保持完整。此點可以解釋為何本病角膜知覺減退及眼痛劇烈程度與臨床表現不一致。
5、鞏膜炎
本病可伴發瀰漫性或結節性鞏膜炎
診斷:AK早期,常被誤診為HSK,或真菌性角膜潰瘍,從而貽誤治療,造成嚴重的眼部併發症。若能早期確診治療,多數可以挽救。凡遇到患者為配戴角膜接觸鏡者,角膜發生進行性上皮性角膜炎和上皮缺損,而培養細菌、真菌及病毒均為陰性,或呈慢性頑固性進行性角膜葡萄膜炎者,均應考慮本病之可能。
併發症
部分嚴重的棘阿米巴角膜炎病例可發生難治性青光眼。眼後節極少受累,但視盤水腫、視神經病變、視神經萎縮、視網膜脫離、脈絡膜炎症及黃斑部瘢痕形成可見,甚至對側眼的視網膜脈絡膜炎均偶有報導。
檢查
實驗室檢查
1.10%氫氧化鉀(KOH)濕封片檢查
棘阿米巴性角膜炎 病原體取病灶區角膜刮片組織、棘阿米巴原蟲的培養物或手術切除的角膜材料,塗於或鋪於載玻片上,加1滴10%KOH溶液,普通顯微鏡下清晰顯示該原蟲的雙層壁包囊形態。該方法簡單、實用,適合基層醫院開展。有條件的醫院可採用Hemacolor染色、三重染色、Calcoflourwhite等其他染色方法檢查。
2.棘阿米巴原蟲培養
將角膜刮片組織放入2%無營養瓊脂表面滴1滴活的或死的大腸埃希桿菌肉湯於接種物表面,放35℃溫箱內培養,一般於3~7天可繁殖出大量的棘阿米巴原蟲。通過倒置顯微鏡可直接觀察到棘阿米巴原蟲的滋養體和包囊,以及棘阿米巴原蟲在溫蒸餾水中形成棘突的狀態。
3.免疫螢光技術檢查
目前至少有8種棘阿米巴原蟲可引起人類角膜炎,可套用不同種的棘阿米巴原蟲抗體通過間接免疫螢光方法對棘阿米巴原蟲進行種別鑑定。目前,我國還沒有這類抗體,如必要可送往美國疾病控制中心(CDC)進行鑑定。
輔助檢查
1.病理切片染色檢查
材料取自環鑽鑽取的角膜病變組織和手術切除的角膜病變組織,經固定、脫水、浸蠟、包埋、切片,然後再經蘇木精-伊紅(HE)或過碘酸-Schiff(PAS)染色。通過上述兩種方法染色可清晰的顯示角膜內棘阿米巴原蟲的包囊。通過病理檢查還可驗證刮片或原蟲培養的結果。根據需要和條件也可對病理切片經吉姆薩、瑞氏、三重和Calcoflourwhite等染色方法進行診斷。
2.共焦顯微鏡直接檢查
上述檢查方法均屬創傷性診斷技術。為了獲取組織,需在病灶部位採取,造成角膜一定的損傷。最近推出的共焦顯微鏡可直接對AK患者進行觀察,是一種無創傷、對比度高、放大率高的早期快速診斷方法,可在角膜各層(從上皮至內皮)查到棘阿米巴原蟲的影像。有時甚至可以發現棘阿米巴原蟲伸出的偽足,或不規則的神經腫脹增厚和邊緣粗糙的影像。
診斷
棘阿米巴角膜炎的診斷主要依靠臨床表現和實驗室檢查,角膜刮片進行棘阿米巴原蟲培養是比較常用的一種檢查方法。
鑑別診斷
致病性自生生活阿米巴性角膜炎,早期須與單孢病毒性角膜炎的上皮病變型相鑑別。此時誤診率較高,對初次發病的上皮性病變、有遷延不愈傾向,同時有外傷或角膜接觸鏡配戴史的患者要高度懷疑,並及時行角膜刮片細胞學檢查,有利於鑑別診斷。當角膜基質浸潤及潰瘍形成時,要與單孢病毒性盤狀角膜炎、細菌及真菌性角膜炎相鑑別,眼部劇烈的疼痛史或放射狀角膜神經炎的出現都有助於鑑別診斷。近年來角膜共焦顯微鏡的套用,為棘阿米巴角膜炎的早期快速診斷提供了新的手段。通過角膜共焦顯微鏡,可在活體角膜中觀察到棘阿米巴包囊,有助於臨床診斷。但共焦顯微鏡檢查陰性,並不能完全否定臨床診斷。
治療
(一)藥物
1.陽離子防腐劑
作為首選用藥顯示了良好的療效。常用的是0.02%的氯已定和0.02%的聚六甲基雙胍(PHMB),對角膜上皮沒有明顯的毒性作用。
2.芳香族雙脒
目前最常用的治療方案。常用的有0.1%普羅帕脒0.15%依西雙溴丙脒。但長時間套用對角膜組織可產生藥物毒性反應。體外試驗證實二甲基亞碸可增加藥物對包囊的穿透性,明顯加強普羅帕脒的殺滅包囊的作用。
3.氨基糖苷類抗生素
巴龍黴素和新黴素與芳香族雙脒類藥物合用,可進一步提高療效。新黴素具有類似洗必泰和PHMB的作用,可以破壞棘阿米巴的外膜,促進芳香族雙脒類藥物進入蟲體發揮作用,但對包囊無效。套用過程中也應注意其毒性作用,避免長期使用。
4.咪唑類
咪唑類可以影響棘阿米巴細胞壁的穩定性,在治療過程中起到輔助作用,單獨用藥往往無效。藥物主要包括克霉唑、氟康唑、酮康唑、伊曲康唑和咪康唑等。
5.糖皮質激素
在抗棘阿米巴治療的同時,是否套用糖皮質激素,目前尚有爭議。在體外試驗中,糖皮質激素能夠抑制棘阿米巴的包囊形成和脫囊過程,有利於角膜炎的治療。但在動物試驗中此過程沒有得到證實相反,套用糖皮質激素可加重角膜的浸潤和基質中膠原組織的壞死。因此除非合併有鞏膜炎或葡萄膜炎對於糖皮質激素的使用應該慎重。
6.促進潰瘍修復的藥物
在角膜潰瘍進入修復階段可輔助套用表皮生長因子和纖維連線蛋白等藥物,以及眼表潤滑劑,如透明質酸鈉等。
(二)分期治療
藥物治療應採用聯合用藥的方式,在治療的不同階段用藥方法也不同。
1.急性期強化治療
用0.02%的氯已定或0.02%PHMB聯合0.1%的羥乙磺酸丙氧苯脒,晝夜每小時1次局部點藥,連續48~72小時,同時可套用0.5%新黴素滴眼液作為三聯治療。
2.維持期治療
每4小時用藥1次,如果出現藥物毒性反應,可停用Brolene繼續氯已定或PHMB和新黴素治療,3周后結合臨床情況逐漸減少用藥次數。
2個月後可單獨套用0.02%的氯已定,療程應該超過6個月。
如果上述治療效果不佳,可加用咪唑類藥物,可用1%的克霉唑點眼,口服酮康唑;或伊曲康唑。
治療過程中應該注意阿米巴混合細菌、病毒或真菌感染的情況,如果臨床懷疑混合感染,應該及早根據微生物檢查結果同時進行抗菌或抗病毒治療。
(三)手術治療
在藥物治療無效角膜炎症進行性加重的情況下應及時手術,切除病灶,控制炎症挽救視力和眼球。如果炎症尚未累及角膜全層可行板層角膜移植術;若為炎症已累及角膜全層合併大量前房積膿則應行穿透性角膜移植術。
預防
針對致病性自生生活阿米巴性角膜炎的危險因素,應採取相應的預防措施,尤其應加強對隱形眼鏡配戴者鏡片護理知識的教育,應嚴格避免睡眠時配戴隱形眼鏡,嚴格避免用自來水或自備液體清洗鏡片。

