英文名: pear-shaped heart
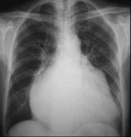
左心房顯著增大時,胸骨左緣第3肋間心濁音界擴大,使心腰消失。當左心房與肺動脈段均擴大時,胸骨左緣第2、3肋間心濁音界向外擴大,心腰部更為飽滿或膨出,使心濁音界呈梨形。因其常見於二尖瓣狹窄,又稱二尖瓣型心。二尖瓣狹窄時,舒張期血液由左房進入左室受阻,血液在左心房內瀦留,使心房內壓力和負荷異常增高,左房發生代償性擴大與肥厚,肺動脈高壓及擴張,右心室肥厚及擴大,使得主動脈弓縮小,肺動脈主幹突出,左心房增大,右心室增大,心臟呈梨形。
梨形心也可見於心臟濁音界的描述,顯示左房增大或合併肺動脈段擴大。
X線表現:
後前位:出現雙房影,左心耳隆凸。
右前斜位:食管左房壓跡
左前斜位:房室溝向下移位
左側位:左主支氣管抬高

