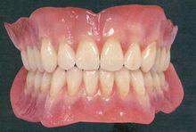
松風塑鋼牙採用松風的 Endura“塑鋼牙”鑲復 全口義齒,按合面形態不同可分成 二種頜型: 1、半解剖式牙:牙尖斜度約20o,上下頜牙間有一定的鎖合關係。對豐滿、半豐滿的剩餘牙槽嵴有保護作用。並且不影響咀嚼效率。
2、非解剖式牙:牙間斜度為0o,又稱無尖牙,咀嚼效能較差,側向合力較小,但對牙槽骨的損害小。適用於低平的剩餘牙槽嵴狀況。
優越性
松風的 Endura“塑鋼牙”具有高硬度、耐磨耗, 不是瓷牙,勝似瓷牙:
松風塑鋼牙在牙釉質層及牙本層採用了一種新的超微填料樹脂製成,其耐磨性和硬度明顯提高, 是傳統樹脂牙的 6 倍。前牙的奴氏硬度30.2 kg/mm2,後牙27.8 kg/mm2。
松風塑鋼牙已克服硬度與脆性之間的矛盾,通過平衡抗彎曲強度和抗壓強度來加強後牙的強度,內層韌性較大,並使各層樹脂間牢固結合成為一整體。
瓷牙耐磨,但是太沉。並且在咀嚼時,瓷牙的接觸聲太響。松風的塑鋼牙是瓷牙的很好的替代品,廣泛套用於全口義齒修復!
