松毛蟲性骨關節炎概述
松毛蟲松毛蟲性骨關節炎為在中國南方各省陸續發現的一種具有季節性的地區性暴發流行性疾患,是以侵犯皮膚、骨和關節為主的疾病。經流行病學調查及動物實驗研究證明,本病與接觸松毛蟲有關,故定名為松毛蟲病。從發病情況上看,在中國的廣東、福建,廣西、湖南、湖北、安徽、浙江、江西、江蘇等九個省均有報導 1970年,浙江金華某窯廠員工因用帶有松毛蟲的松樹枝燒窯而發病,為中國最早報導的個案病例。1975年,廣東潮陽曾發病4010例,占總人口數的5.54%。接觸松毛蟲人口的發病率為52.9%~86.4%。發病時間以夏秋為流行高峰期,10月份最多。患者年齡從8個月至84歲均有,其中以20~50歲的青壯年患者最為多見。男女的發病率無差異,主要視接觸的人群組成情況而異。發病地區多為近山區,主要是有松樹林及松毛蟲的地區。多數病例是在上山割柴草、打松枝、採集松毛蟲繭、在污染的稻田內割稻時,以及學生在上山郊遊時接觸松毛蟲,也可能是由於接觸到受松毛蟲污染的野草、衣物及水等而發病。
松毛蟲性骨關節炎(pinemothosteoarthritis)是指直接或間接接觸松毛蟲活體、屍體或蟲毛引起的骨關節炎。我國南方較多見,季節性強,發病以10月份最多,常呈局部暴發流行,侵襲皮膚、骨和關節。發病年齡在20-49歲中年多見。
病因
發病者均有松毛蟲接觸史,或是有被松毛蟲接觸過的物品的接觸史。如果用松毛蟲的毒毛、死松毛蟲或死蟲輾研的漿液或水浸液接觸或塗擦家兔或小白鼠剃毛的皮膚,或將小白鼠或豚鼠放於有大量松毛蟲的現場,或使其接觸有松毛蟲的柴草 都可使其產生類似的病變。中國已發現的松毛蟲有40餘種,其中以馬尾松毛蟲為多見。
發病機制
骨關節炎其發病機制尚不清楚,目前有以下三種推測:
1.中毒學說 即毒毛刺入人體皮膚後,由於毒素進入血液循環而引起毒血症,估計是由於毒素與結締組織有較強的親和力,因而引起關節周圍組織反應。但將毒素注入動物皮下組織,卻並不能使動物發病。
2.變態反應學說 許多研究者發現:所有患者均有與松毛蟲或其污染過的物品的接觸史,且發病早期能用抗過敏藥物迅速控制症狀,其X線表現和關節周圍組織的病理學改變等也均與類風濕關節炎相似,從而推斷為變態反應。但動物實驗尚難以支持此說。
3.感染學說 有的學者發現在本病患者病變關節或皮膚硬結內可以抽出膿性液體,並培養出金黃色葡萄球菌、白色葡萄球菌、銅綠假單胞菌等,且其X線片改變和病理變化都符合低毒性感染的特點,因而推斷:在松毛蟲毒素作用下,血管通透性增加,易受松毛蟲或人體常帶細菌的侵入,引起低毒性感染。但其他研究者所做的局部抽液培養並無細菌生長,X線片上也從未發現死骨,因此,此說亦難以成立。
以上推論雖都有一定根據,但都不能明確說明松毛蟲病的發病機制,尚有待進一步研究。
症狀
松毛蟲臨床表現:
1.潛伏期 一般於接觸松毛蟲或其污染物1~3天后發病,個別患者潛伏期較長,最長可達48天。
2.全身症狀 患者全身症狀大多較輕,或沒有全身症狀。可有發熱,多在37.5~38.5℃之間,個別可達39℃。此時可有畏寒、頭痛、頭暈、全身無力及食慾減退等症狀,並於2~3天后漸消退。區域淋巴結腫大,可移動 有壓痛,於起病後10~20天時逐漸消退,局部皮膚一般無潰破。
3.局部症狀 身體暴露部分容易發病,這與直接接觸有關。最常見的發病部位是手、足、腕 踝等處,但也可發生於頭頸、眼、耳郭、胸,脊椎旁、臀部及會陰處,少數患者可蔓延至全身。根據病變的侵襲範圍和表現形式不同,一般分為以下四型:
(1)骨關節型:本型發病率較高,占55%以上,且危害大,若治療不當,常易殘留功能障礙,甚至導致病廢,其發病部位多為四肢顯露的小關節骨端。以單關節發病較常見,且不對稱,僅30%的患者為多關節發病,或表現為一個關節症狀消退後,另一關節又發病。表現為局部紅 腫、熱 痛和功能障礙,有時疼痛嚴重難忍,可呈持續性刺痛;有時呈陣發性加劇,夜間尤重,影響睡眠。局部呈非凹陷性腫脹,關節遠端肢體腫脹。表麵皮膚潮紅,溫度升高,局部有甚敏感的壓痛點。關節活動時疼痛加重。本型患者常有全身症狀及區域性淋巴結腫大,大關節出現的症狀一般比小關節重。病情常遷延數月或數年,約有1/5的病例有復發傾向。本型在後期可形成關節畸形強直,並伴有關節近側肌肉萎縮,以致嚴重影響功能。
(2)皮炎型:較前者少見,僅占25%左右,局部表現為灼熱、奇癢、疼痛,多發生於四肢暴露部位,如手、足、指縫等處,少數發生於頭或軀幹。局部皮膚溫度升高、潮紅,以不同類型的斑丘疹為主。有的似蕁麻疹,患者指縫間可有水皰。皮疹多呈簇狀或片狀密集分布,不對稱 1/3的病例有局部淋巴結腫大,經治療後,於2~5天內退疹痊癒;少數病例可遷延數月,形成慢性皮炎,一般無全身症狀,且少有復發者。局部可殘留皮膚色素沉著;局部搔抓可使病變擴大,或繼發感染。
(3)腫塊型:發病率最低,約占5% 常在四肢或腰骶椎兩旁及會陰部形成局部硬結,伴疼痛,無明顯邊界,以單發為多。腫塊逐漸增大,於10~30天達高峰,隨後液化,有波動,局部穿刺可抽出黃綠色黏稠的膠狀液,或呈血性。抽液後局部症狀可緩解,但易復發,穿刺液培養常無細菌生長。此型多伴有較重的全身症狀,病程較長,為1~3個月。
(4)混合型:為上述三種類型的不同形式的合併存在,占總數的5%~15%。視地區不同,感染次數不同,其比例可不一。
併發症:
骨關節型後期可致關節畸形強直。
診斷:
一般多無困難。在暴發性流行季節和地區,可根據松毛蟲及其污染物接觸史,以及皮膚,骨關節的局部表現,作出診斷。
鑑別診斷:
對散在發病或接觸松毛蟲史不清楚者,則需與類風濕關節炎、化膿性關節炎、關節結核等作鑑別診斷,此時可根據典型松毛蟲接觸史(對接觸史明確者適用)、皮膚與軟組織病變特徵、骨關節的X線表現以及關節液檢查等作出診斷。
檢查
檢查實驗室檢查:
血常規檢查時,可發現:50%~60%的患者有白細胞計數增高,達10×109/L;60%以上的患者有嗜酸粒細胞增多;40%~70%的病例血細胞沉降率增快,其程度與病情輕重成正比。
關節液多為少量淡黃色或黃綠色黏稠液體,早期多含中性粒細胞,後期多含淋巴細胞,細菌培養多為陰性,少數有金黃色葡萄球菌,白色葡萄球菌或銅綠假單胞菌生長,皮下腫塊穿刺有時可抽出血性液體,少數病例行心電圖檢查時可發現有心肌損害表現。
其它輔助檢查:
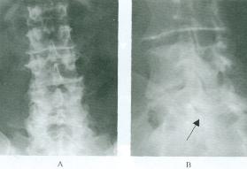
1.X線表現 骨關節的X線改變要在發病後2周方才顯示出來,有時要1個月後才出現,在6個月以內屬急性期改變;6個月以後為慢性期改變。急性期改變主要是受累關節周圍軟組織腫脹,骨質疏鬆,骨質破壞和關節損害。慢性期改變主要是骨質增生、硬化和關節強直,局部軟組織腫脹表現為關節周圍軟組織密度增高、層次不清,皮下脂肪透明度減低;重者有網織狀陰影,關節囊腫大,密度增高,輪廓多較清晰。這種改變是早期的主要所見,但不具特異性。慢性期軟組織陰影縮小,且長期難以消失。少數病例在受累骨質鄰近的軟組織中出現小片狀或團塊狀鈣化或骨化陰影,骨關節方面的改變在早期是骨質疏鬆和骨小梁模糊或中斷,局限於近關節的骨端,與類風濕關節炎的早期骨質疏鬆相似 急性骨質破壞往往在骨端的一側或雙側有一個或多個小圓形蟲蝕狀破壞,邊界清晰,常見於肌腱附著的骨隆突區。與此同時,附近可有單層細條狀或不規則骨膜增生。本病後期的骨關節改變主要是在原來破壞區周圍有骨質增生、硬化,破壞區邊界清晰,緻密,形成硬化緻密的小環形灶,手、足管狀骨常有整個骨幹增粗,但無死骨。在骨骺未融合者,破壞區可在骨骺或乾骺端,易引起骨骺早期閉合。
關節間隙的改變表現為早期的關節間隙不對稱狹窄、模糊,關節軟骨面不平整,關節變形,甚至有半脫位,軟骨下常有骨質破壞。在本病後期,可發現關節有自行融合趨勢,可形成關節強直,但融合多不完全。
2.其他影像學檢查 CT及MRI檢查及早發現早期骨關節改變。
治療
1.早期 發病初期可用3%氨水外擦,或用肥皂水清洗。也可用中藥外塗,或普魯卡因,潑尼松龍局部封閉或關節內注射,均可取得良好療效。
2.急性期 在急性期,治療的目的是抗過敏、止痛、消炎和制動。若有繼發感染,可加用抗生素。
3.慢性期 對慢性期的骨關節病變者仍以非手術療法為主,但對其中長期不愈者,可考慮手術,手術指征為:
(1)合併有竇道或化膿性感染者。
(2)自發融合而不牢固、且仍有症狀者,或強直於非功能位者。
(3)關節固定後已嚴重影響功能者。
(4)對病程超過半年,非手術治療無效,甚或惡化者,均應考慮手術治療。手術方法可根據病變情況決定。
預防
本病的關鍵是預防 在進入有大量松毛蟲的樹林,尤其是山林中時,應加強個人防護,避免皮膚直接接觸松毛蟲及其污染物。不要進入有松毛蟲污染的水中作業。所捉松毛蟲及其蟲繭應集中焚毀。接觸松毛蟲後,可立即用肥皂水清洗 或塗稀氨水以減輕症狀。
