腦解剖學名詞
放射冠區腦梗塞產科
卵母細胞與放射冠2、卵子外圍包裹著層數不等的顆粒細胞呈放射狀,稱為放射冠。
3、最裡面一層稱為放射冠,隨著卵細胞的成熟,在月經中期LH峰或外源性hCG作用下,逐漸膨脹並呈放射狀排列.臨近排卵,這些結構開始鬆散、膨脹,卵丘細胞從卵子的透明帶上分離,縫隙連線中斷。
學術解釋
1、放射冠是指卵外的卵丘細胞(顆粒細胞)在細胞間有透明質酸組成的基質.在有蹄類(如牛、羊等)、單孔類和有袋類於排卵前後放射冠脫落所以卵外只有透明帶2、放射冠卵子外圍包裹著層數不等的顆粒細胞呈放射狀,稱為放射冠
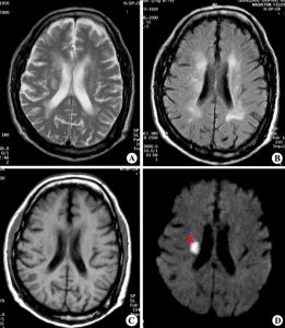
放射冠3、放射冠是指由內囊到大腦皮層間的放射狀纖維白質不同功能的各種投射纖維在其間的空間排列規律目前尚不完全清楚.由於放射冠纖維排列較分散此處的梗死常表現為局限的神經系統症狀
4、最裡面一層稱為放射冠,隨著卵細胞的成熟,在月經中期LH峰或外源性hCG作用下,逐漸膨脹並呈放射狀排列.臨近排卵,這些結構開始鬆散、膨脹,卵丘細胞從卵子的透明帶上分離,縫隙連線中斷
5、魚類卵和胚胎在其自身免疫系統發育之前缺乏免疫保護機制.卵和胚胎依靠其卵殼(或稱為放射冠),以及其它的特異性和非特異性物質(如免疫球蛋白 、凝集素和溶菌酶)的保護來抵禦來自外部水環境疾病的侵襲。

