成人矯正介紹
成年人的生長發育雖然已經結束,但並不能說就一定過了最佳矯正期。在現代口腔正畸治療中,成年人已經成為矯正的一大群體。
原則上來講,只要牙周健康,成人也可以進行正畸治療。但由於成人身體狀況的特殊性,正畸採用的設計有嚴格的原則,比如小範圍牙移動、後牙咬合關係的考慮、美觀和功能的評價和平衡,這些都和兒童期的治療有所不同。
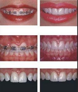
雖然成人頜骨改建及牙齒移動速度較兒童慢,但是,由於成人合作程度高,治療目標明確,受生長發育等不確定因素影響小,一樣可以取得非常好的治療效果。現在有適合成人的“美觀矯治器”,如陶瓷托槽、隱形矯治器、舌側矯治器等,更加美觀和隱蔽,但是費用也較高。
有哪些特點
成年人的正畸治療於青少年相比有很大的不同,其正畸治療更為複雜。成年人的錯牙合畸形常伴隨其它口腔疾患。如齲病、牙周病、缺牙、牙齒磨耗、殘冠、殘根。口內不良修復物、顳下頜關節疾病等。在開始正畸治療前,要全面控制牙體牙周疾病,拆除口內修復體,否則會影響矯治器的戴用和牙齒的移動。
成年人在治療的全過程中要時刻保持良好的口腔衛生條件;由於成年人生長發育已經停止,牙槽骨改建比較緩慢,牙齒移動相對慢一些,所需要的治療時間較長;成年人正畸治療後更易於復發,所以治療後的保持很重要;除了常規的正畸矯治外,對於中、重度的骨性錯?畸形,單靠移動牙齒不能達到理想的效果,需進行正頜-正畸聯合治療;成年人由於職業、心理因素和其它社會活動的影響,對正畸治療的時間長短、矯治器的美觀、治療效果有較多的要求。常選用舌側固定矯治器、陶瓷托槽等不影響美觀的矯治裝置。
1.矯治時間較兒童要長,難度大。
2.成人往往伴有其他疾病,對口腔健康要求高。
3.成人由於工作等原因,對美觀要求高。有時需要使用透明矯治器或舌側矯治器。
4.成人治療後復發的趨勢較兒童更大,或需長時間保持。
5.治療過程中不適症狀或更明顯。
做哪些檢查
(1)取模(咬牙印):用於醫生對錯和情況進行診斷和設計,和在以後的治療過程中作對比檢查。
(2)照相:治療前醫生要常規給患者照面部照片和牙合的照片,留待日後與治療結束時作對比。
(3)X線檢查:每個患者常規拍攝頭顱側位片和全口曲面斷層片。
(4)制定治療計畫:醫生根據模型,照片和X線片,經過測量,計算,診斷錯合類型,並且制定出一個詳細的治療方案。然後醫生向患者及患者家屬解釋治療方案,徵求患者及家屬的意見。治療方案確定後,患者或患者家屬在同意書上籤字。
(5)具體治療過程。
(6)治療結束後去除矯治器,戴上保持器。
注意哪些問題
成人口腔正畸治療開展逐漸廣泛,但與青少年兒童正畸存在不小差別。青少年兒童正畸治療我們會力求完美,成人正畸則根據患者主訴目的,醫生儘量滿足其要求。一般而言,生長發育期確實是牙齒固定矯正的最佳時機,到青春快速生長發育期(一般女孩11歲~13歲,男孩12歲~14歲)時,換牙基本完畢、頜骨仍有發育潛力,此時是進行固定矯治的最佳時期,絕大多數錯頜畸形均可在此時解決。
成年人生長發育已停止,骨代謝及牙槽骨改建比較緩慢,牙齒移動速度相對緩慢,所需的矯治時間較兒童長,對頜骨進行矯形治療收效甚微。如果僅僅是牙齒排列不齊,成年與否影響不算特別大,但波及骨骼矯正,如下巴太長須收一點等情況,成年後治療的劣勢明顯。對於嚴重的骨性錯頜畸形,單純採用正畸治療如不能取得滿意效果,則需外科手術配合正畸治療解決患者要求。
另外,成年人患齲齒率較高,而且不少患者還同時患有牙周疾病,而缺牙、殘冠、殘根等現象也很常見,外加牙齒磨耗嚴重以及全身疾病等因素存在,這些都導致成人正畸比青少年更為困難。
由於成人正畸比兒童更為複雜,因此成人要想進行正畸,一定要請有經驗的正畸醫生進行口腔的全面檢查。醫生會根據患者的頜骨和牙列的發育狀況作出診斷,並提出可供選擇的治療方法、治療所需要的時間、治療過程的安排、治療過程中的注意事項、治療的費用等等。
患者要根據自己的口腔狀況、治療達到的目的和經濟狀況等因素確定是否進行正畸,並選擇適合自己的正畸方法。
適合年齡段
青少年做牙齒矯正的關鍵主要是糾正不良習慣,預防口腔疾病,確保面頜發育勻稱協調,牙齒排列整齊。牙齒排列不整齊完全可以矯正,在9~14歲矯正最好。與兒童不同的是成年人由於社會活動比較多,需要與形形色色的人交往。另外一方面,成年人戴牙套的心理狀態與青少年並不相同,對顏面美觀的要求很高,非常在意矯正期間矯正器對於容貌的影響。為此,很多成年人希望自己在牙齒矯正的時候能採用比較隱蔽的矯正器具。

