原因
症狀痤瘡與性內分泌有密切的關係,青春期以前極少發病,性功能喪失或減退的人如古代宮廷被閹割的太監不發病,性功能降低的人,如套用睪丸酮可促使鬍鬚的生長和痤瘡的發生,用促皮質素或皮質類固醇激素治療疾病時,常引起痤瘡性皮疹,女性在月經前常有痤瘡發作。妊娠期痤瘡症狀減輕等。不論男女都有雄激素和雌激素。分泌性激素的器官在男性為睪丸及腎上腺;在女性是卵巢、胎盤及腎上腺。雄激素和雌激素在男女體內有不同比率,比率的改變可能使痤瘡出現。
皮脂腺的發育和皮脂的分泌也與雄性激素增加有關,其中以睪酮增加皮脂腺活動性作用最強,孕酮與腎上腺皮質中脫氫表雄酮(DHA)也參與作用,後者在初期痤瘡中可能起重要作用。睪酮在皮膚中經5-alpha;還原酶作用轉化成活性更高的5-alpha;雙氫睪酮,刺激皮脂腺細胞周轉和脂類合成,引起皮脂分泌增多,產生又濃又多的皮脂,不能完全排泄出去,漸漸聚積在毛囊口內,同時毛囊導管也因雄激素作用下而過度角化,毛囊壁肥厚、阻止皮脂排泄,毛囊壁上脫落的上皮細胞增多與濃稠的皮脂混合,成為乾酪狀物質,栓在毛囊口內形成粉刺,以後暴露在毛囊口外的頂端漸漸乾燥,又經過空氣的氧化作用,黑色素的沉積,塵埃的污染而變色形成黑頭粉刺。毛囊中存在的痤瘡棒狀桿菌、白色葡萄球菌和卵圓形糠疹芽孢菌,特別是痤瘡棒狀桿菌含有使皮脂分解的酯酶,毛囊內的皮脂被脂酶分解而產生較多的游離脂肪酸,這些游離的脂肪酸能使毛囊及毛囊周圍發生非特殊性炎性反應,當粉刺壁的極微的潰瘍及游離脂肪酸進入附近真皮後,再加上黑頭粉刺擠壓附近的細胞,使它們的抗菌力下降而容易受細菌的感染引起炎症,於是病人發生丘疹,膿皰、硬節、結節及膿腫。
近年來有人認為本病與免疫有關,其患者的體液免疫中,血清IgG水平增高,並隨病情加重而增高。痤瘡棒狀桿菌在患者體內產生抗體,循環抗體到達局部參與了早期炎症的致病過程。
關於微量元素與痤瘡的關係。近期有人證明痤瘡患者鋅低可能會影響維生素A的利用,促使毛囊皮脂腺的角化,銅低會削弱機體對細菌感染的抵抗力等。總之,痤瘡患者微量元素鋅、銅、鐵低下,錳升高可使體內脂肪代謝、性激素分泌受到一定影響,加上皮膚抵抗力低下,可能與痤瘡發病有一定的關係。
此外,遺傳也是本病發生的一個重要因素。除上述因素外,多吃動物脂肪及糖類食物,消化不良或便秘等胃腸障礙,精神緊張,濕熱氣候等因素對痤瘡病人可以有不利的影響,礦物油類的接觸或碘化物、溴化物及某些其他藥的內服也可加劇痤瘡的惡化。
檢查
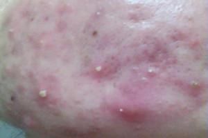
檢查病損形態、分布,有無丘疹、膿皰、黑頭粉刺、結節、囊腫、瘢痕等。
鑑別診斷
1.點狀痤瘡
黑頭粉刺是痤瘡的主要損害,是塞在毛囊皮脂腺口的乳酪狀半固體,露在毛囊口的外端發黑,如加壓擠之,可見頭部呈黑色而體部呈黃白色半透明的脂栓排出。
2.丘疹性痤瘡
皮損以炎性的小丘疹為主,小米至豌豆大的堅硬的小丘疹,呈淡紅色至深紅色。丘疹中央可有一個黑頭粉刺或頂端未變黑的皮脂栓。
3.膿皰性痤瘡
以膿瘡表現為主,膿皰為穀粒至綠豆大小,為毛囊性膿皰和丘疹頂端形成膿皰,破後膿液較粘稠,愈後遺留淺的瘢痕。
4.結節性痤瘡
當發炎部位較深時,膿皰性痤瘡可以發展成壁厚的結節,大小不等,呈淡紅色或紫紅色。有的位置較深,有顯著隆起而在半球形或圓錐形。它們可以長期存在或漸漸吸收,有的化膿潰破形成顯著的瘢痕。
5.萎縮性痤瘡
丘疹或膿皰性損害破壞腺體,引起凹坑狀萎縮性瘢痕。潰破的膿皰或自然吸收的丘疹及膿皰都可引起纖維性變及萎縮。
6.囊腫性痤瘡
形成大小不等的皮脂腺囊腫,常繼發化膿感染,破潰後常流出帶血的膠凍狀膿液,而炎症往往不重,以後形成竇道及瘢前。
7.聚合性痤瘡
是損害最嚴重的一種,皮損多形,有很多的粉刺、丘疹、膿皰、膿腫、囊腫及竇道、瘢痕、瘢痕疙瘩集簇發生。
檢查病損形態、分布,有無丘疹、膿皰、黑頭粉刺、結節、囊腫、瘢痕等。
緩解方法
1、疤痕疙瘩、疤痕過度增生是創傷、外傷的一種重要的併發症,造成疤痕的原因有很多,比如:燒燙傷、外傷、創傷、痤瘡(青春痘)、打耳孔、打預防針,都可以形成不同程度的疤痕增生及疤痕疙瘩。2、它的預防措施主要在於疤痕形成前、形成間尚未成熟階段,主要目的是儘量去除各種造成疤痕增生的因素,減少疤痕的生長,預防疤痕對機體造成的各種畸形和功能障礙,嚴重時注意儘量減少對患處的機械、化學、熱力的刺激,避免反覆牽拉、摩擦潰破、感染的發生。
3、平時注意防止創傷、燒燙傷、打耳孔、紋眉線等以免損傷真皮,特別是免役功能差的部位,如胸前,肩背等處。
4、青春痘痊癒後,一般會留下深色的斑點,這些斑點跟青春痘一樣難看。因為長青春痘的時候,病菌會刺激青春痘附近的色素細胞,所以青春痘痊癒後會留下深色的斑點,這種反應叫炎症色素沉積症。

