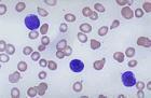
急性淋巴細胞性白血病(ALL)分型
根據細胞形態學和臨床預後的不同,將ALL分為L1,L2,L3三個亞型。
L1型:以小淋巴細胞為主,胞漿極少,高核,漿比例,核形規則,染色質均勻緻密,核仁不清晰。
L2型:大多數細胞體積是小淋拖赴??倍,部分細胞大小有明顯異質性,胞漿中等,嗜鹼,染色質呈瀰漫細緻或密塊狀,核仁清晰,一個或多個。
L3型:由均勻一致的大細胞組成,胞漿豐富,深嗜鹼,含多數明顯室泡,核圓形,染色質細而緻密,核二清晰,一個或多個。*
概述,病因以及危險因素
急性淋巴細胞性白血病 (ALL)占兒童急性白血病的80%,發病率高峰在3歲至7歲之間。ALL也可發生於成年人,占所有成年人白血病的20%。
在急性白血病中,惡性細胞失去成熟和定向(分化)產生其功能的能力。這些細胞迅速分裂並取代正常細胞。當惡性細胞取代正常的骨髓成分時即發生骨髓衰竭。因為正常細胞的數目減少,此患者就會變得容易出血和感染。
大多數病例看上去無明顯誘因。但是,輻射、某些毒素,如苯和一些化學試劑,被認為是白血病的誘發因素。染色體異常也在急性白血病的發生過程中發揮一定的作用。
急性白血病的危險因素包括21 三體綜合徵,多與白血病並發,以及接觸輻射、化學試劑和藥物。發病率為十萬分之六。
急性淋巴細胞性白血病的症狀及跡象
出血時間延長或過量出血,皮膚青紫
牙齦出血
鼻出血
皮下出血
月經周期,異常
皮疹或皮膚病變
針尖樣紅斑(瘀點)
皮伏青紫(瘀斑)
蒼白
疲勞
感染
胸骨壓痛
骨痛和壓痛
胸骨(胸骨)
關節痛
髖關節疼痛
膝關節疼痛
踝關節疼痛
足痛,多為足部小關節疼痛
肩關節疼痛
肘關節疼痛
腕關節疼痛
手痛,多為手部小關節疼痛
淋巴結病(淋巴結肥大)
無意識的體重減輕
發熱
牙齦,腫脹
呼吸短促(運動後加重)
可感覺到不規則的心臟跳動(心悸)
急性淋巴細胞性白血病的預防
因為大多數病例的誘因尚不清楚,大多數情況下是無法預防的。儘量減少與毒素、輻射、化學試劑等因素的接觸可能降低發病的危險性。
急性淋巴細胞性白血病的診斷及檢測
體格檢查可見增大的肝臟和脾臟,皮膚青紫(瘀斑)及出血現象(瘀點、紫癜等)。
白細胞(WBC)計數異常。
全血細胞計數(CBC)提示貧血及血小板計數偏低
骨髓穿刺結果示細胞數增加(細胞過多)以及淋巴母細胞增加。
急性淋巴細胞性白血病也可能改變以下檢驗項目的結果:
T(胸腺內生成的)淋巴細胞計數
細胞表面抗原研究(B細胞、白血病/淋巴瘤平台)
1、骨髓象:骨髓塗片,細胞化學。
2、免疫分型:根據白血病細胞表面不同的分化抗原,採用單克隆抗體及流式細胞儀,可以診斷ALL並將其分為不同亞型。
3、生化檢查:多數病人血清乳酸脫氫酶水平升高,並且與白血病細胞負荷及預後相關。白血病細胞負荷較大的病人常見血尿酸水平升高,白血病細胞浸潤肝、腎可引起肝腎功能的相應改變。
4、外周血:絕大部分患者在診斷時有貧血,外周血塗片分類以原始和幼稚淋巴細胞為主,可占10%~90%,粒細胞和單核細胞減少,但要注意有15%左右的患者外周血塗片找不到原始或幼稚淋巴細胞,而骨髓象可見大量的白血病細胞。這是急性淋巴細胞性白血病的檢查診斷方法之一。
白細胞分化
現在急性淋巴細胞性白血病的分類依賴於許多特殊的複雜的檢驗,如免疫表型、核型和末端脫氧核苷酸轉移酶 (TdT)的活性。綜合這些檢驗項目的結果可獲得精確的分子學診斷,從而有助於指導制定治療方案並較準確地預測可能的預後。
例如,一些白血病細胞中存在染色體異常。那些含有費城染色體或 t(4;11)易位的患者趨向於不良預後,但是強力療法和早期骨髓移植可能優先推薦。其它基因(如TEL/AML1重排)預示著很好的預後。
急性淋巴細胞性白血病的治療
治療的目的是癌症的緩解。當外周血計數和骨髓計數正常時即已緩解。
急性淋巴細胞性白血病以抗癌藥物行聯合治療(化療)。初始(誘導)化療需住院3至6周,然而後續的化療可以門診病人的形式給予治療,如果淋巴細胞計數極低則需行隔離治療以避免接觸感染病原體。
化療由3至8種有代表性的藥物的聯合治療構成,這些藥物包括:強的松、長春新鹼、甲氨喋呤、,6-巰基嘌呤和環磷醯胺。有時有必要給予血液製品(如濃縮紅細胞、血小板)支持治療以糾正貧血和低血小板計數。發生任何繼發感染的患者需接受抗生素治療。
病情緩解之後,針對脊柱給予化療或放療以處理可能侵襲入脊髓液的任何白血病細胞。
後續治療的目的是為了防止復發,給予持續時間為一年的化療。對復發病例或其它治療無效的病例,其治療選擇是在高劑量化療後行骨髓移植。
急性淋巴細胞性白血病的預後
兒童患者的可能結果優於成年人,治癒率為80%。80%的成年人獲得完全緩解,治癒率則為30%至50%。如不給予治療,壽命預期大約是3個月。
急性淋巴細胞性白血病的併發症
DIC (彌散性血管內凝血)
急性淋巴細胞性白血病復發
嚴重的感染

