簡介
幼年強直性脊柱炎是指16歲以前發病的強直性脊柱炎。以骶髂關節和脊柱等關節的慢性炎症為特徵,臨床表現為腰背部疼痛和僵直,約半數患者四肢關節也可受累。常常與幼年類風濕性關節炎相混淆。國際風濕病學聯盟的新分類標準中定名為與附著點炎症相關的關節炎。
羅馬標準
(一)臨床指標
1、下腰疼痛和僵硬,休息不能減輕,時間超過3個月。
2、胸部疼痛和僵硬。
3、下腰活動受限。
4、胸廓運動受限。
幼年強直性脊柱炎5、有虹膜睫狀體炎病史或後遺症。
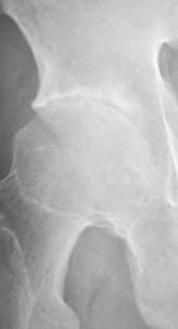
(二)X線指標
雙側骶髂關節典型改變(應排除雙側骨性關節炎)
(三)明確強直性脊柱炎
1、雙側骶髂關節炎3~4級,加至少1項臨床指標。
2、至少4項臨床指標。
強直性脊柱炎特殊檢查
電子計算機斷層掃描(CT):對於臨床懷疑而X線不能確診者,可以行CT檢查.它能清晰顯示骶髂關節間隙,便於測定關節間隙有無 增寬,狹窄,強直或部分強直有獨到之處.
磁共振(MRI)和單光子發射計算機斷層掃描(SPECT):美國科學家研究了36例患者,24例為炎性下背痛,12例為機械壓力所致下背痛 的病人.通過標準的X線檢查骶髂關節正常.但套用MRI檢查:發現54%的炎性下背痛和17%的機械原因性下背痛的患者有骶髂關節炎.
用SPECT 檢查:發現38%的炎性下背痛存在骶髂關節炎,而機械原因組無此發現.MRI和SPECT同時檢查陽性發現率明顯升高.炎性下背痛者58%和機械性下背痛者17%的患者存在骶髂關節炎.因此研究者認為MRI和SPECT閃爍造影骶髂關節拍片,非常有助於極早 期診斷和治療,從這個角度講明顯優於普通X線,但費用昂貴,不提倡作為常規檢查.
多功能治療
強直性脊柱炎在醫學上是一種慢性的遷延性疾病,特點為腰、頸、胸段脊柱關節和韌帶以及骶髂關節的炎症和骨化,髖關節常常受累,其它 周圍關節也可出現炎症。本病起病隱襲,進展緩慢,全身症狀較輕。早期常有下背痛和晨起僵硬,活動後減輕,並可伴有低熱、乏力、食慾減退、消瘦等症狀。開始時疼痛為間歇性,數月數年後發展為持續性,以後炎性疼痛消失,脊柱由下而上部分或全部強直,出現駝背畸形。女性病人周圍關節受侵犯較常見,進展較緩慢,脊柱畸形較輕。由於強直性脊柱炎是較為常見的疾病,病程纏綿,且易造成殘疾,故應爭取早期診斷,早期治療。對16-25歲青年,尤其是青年男性,如出現下述症狀,則應特別警惕有無強直性脊柱炎可能。
強直性脊柱炎一般起病比較隱匿,早期可無任何臨床症狀,有些病人在早期可表現出輕度的全身症狀,如乏力、消瘦、長期或間斷低熱、厭食、輕度貧血等。由於病情較輕,病人大多不能早期發現,致使病情延誤,失去最佳治療時機。治療的目的的在於控制炎症,減輕或緩解症狀,維持正常姿勢和最佳功能位置,防止畸形。要達到上述目的,關鍵在於早期診斷早期治療,採取綜合措施進行治療,包括教育病人和家屬、體療、理療、藥物和外科治療等。
所以,從治療的角度來講,活血通絡,通經化瘀,配合必要的牽引,固定作用,是我們治療強直性脊柱炎時常用到的方法,這些方法針對不同類型的病情,均可起到作用,但是強直性脊柱炎的治療關鍵在於堅持。大多客戶強直性脊柱炎的不到有效的緩解,反覆遷延,不能徹底治癒,就在於得不到對症的方法和自身無法堅持治療。
在這一方面,建議強直性脊柱炎患者在日常居家治療時多關注國內常用的一些醫療器械,比如,樂哈哈腰痛治療帶等等,都屬於國內多功能治療的常用方法。
產品設計結構兼具磁療、熱蒸、牽引和固定四大功效。產品結構由真皮帶體、支撐曲度鋼片和內置磁片以及固定附屬檔案四部分組成。
(1)對於因扭傷、久坐、寒冷等原因導致血液循環不暢、淤血、水腫等引起的腰痛,磁療可以改善微循環和組織代謝,促進血脈通暢從而達到止痛。對於因腰部炎症、腰椎退行性改變引起的腰痛,磁療可以提高致痛物質水解酶的活性,使緩激肽、組織胺、5-羥色胺等致痛物質水解或轉化,達到止痛的作用。對於腎虛腰痛、牽扯性腰痛等,磁場作用於人體,通過經絡穴位增強生物電磁能,可推動經氣的運行,疏通經絡,達到通經止痛的效果。
(2)獨有的真皮加厚不透氣帶體設計,確保所復蓋的患部保持較高的皮膚溫度和潮濕度,產生自身熱蒸理療效果,有利於增加局部血液循環。
(3)大真皮帶體內層附加有支撐曲度鋼片,強調了牽引和固定治療的優點,可有效支撐脊柱和腰椎,增強腰肌收縮力,更好地治療腰椎間盤突出症、強直性脊柱炎、腰椎骨質增生、腰椎肥大、椎管狹窄等病症導致的腰痛。
(4)使用非常方便,可以根據自己的體型或舒適程度調整系帶,不論是行走鍛鍊或伏案工作或臥床休息均不影響治療。
所以,綜合來考慮,使用對症的方法,注意堅持治療,強直性脊柱炎是完全可以得到痊癒。
病因
遺傳因素
強直性脊柱炎病人hla-b27(人類白細胞抗原b27)陽性率高達90%以上,子女hla-b27陽性占50%,發生強直性脊柱炎的占25%。強直性脊柱炎比類風濕關節炎具有更強的家族遺傳傾向。強直性脊柱炎的病因這說明遺傳因素對本病起著決定性作用。
感染因素
有些學者經過大量觀察,發現不少男性強直性脊柱炎病人合併有前列腺炎。另外有一些專家發現,本病病人中,潰瘍性結腸炎和局限性腸炎的發病率較一般人高,強直性脊柱炎的病因可能是感染。
外在因素
強直性脊柱炎病因包括外傷、甲狀腺疾病、肺結核等,但都缺乏足夠的證據。

