人物經歷
小保方晴子,1983年出生於日本千葉縣松戶市,曾在松戶市立第六中學、東邦大學附屬東邦高等學校就讀 。2002年4月,通過AO入試 (與日本全國高考不同,通過報考志願材料、大學自辦招生筆試與面試方式選拔學生,相當於我國的高考自主招生選拔)途徑,小保方晴子進入早稻田大學理工學部套用化學專業學習,並於2006年3月畢業。
本科期間,小保方晴子的研究主要集中於微生物領域。2006年進入早稻田大學研究生後,在東京女子醫科大學大和雅之教授的指導與合作下,小保方晴子在早稻田大學的研究方向轉向醫學-工學交叉科學研究領域。大和雅之是東京女子醫科大學尖端生命醫學研究所的再生醫學教授,同時也是小保方晴子論文的合作作者。2008年,小保方晴子獲得早稻田大學大學院理工學研究科套用化學專業研究生學位。
小保方晴子2008~2009年,在早稻田大學博士學習期間,小保方晴子在哈佛大學醫學部查爾斯·維坎提(CharlesVacanti)教授的研究室中留學工作,從事萬能細胞相關研究。查爾斯·維坎提是美國哈佛大學醫學院布萊根婦女醫院麻醉學和組織工程學專家,其最著名的成就莫過於1997年首次在一隻小鼠的背上生出一個人耳形狀的軟骨。畢業後小保方晴子與其仍有聯繫,2014年小保方晴子的STAP細胞文章即以查爾斯·維坎提為通訊作者。
2010年,小保方晴子回到日本,並於2011年3月憑藉論文《三胚葉由來組織共同全能性體幹細胞探索》 ,從早稻田大學大學院先進理工學研究科生命醫科學專業博士畢業。2011年中,小保方晴子加入日本理化學研究所的若山照彥研究團隊,並成為客座研究員,於2013年升任日本理化學研究所發育與再生醫學綜合研究中心學術帶頭人。
成果簡介
在哈佛大學醫學院學習期間,小保方晴子產生了“STAP”細胞的構想。哺乳動物的細胞特化使得細胞個體得以行使各種不同的功能,從一個已分化的細胞類型向另一類型轉變的過程被認為是非常罕見的。但小保方晴子認為,通過令高度分化的體細胞接受外來刺激,可以使細胞回到類似於“幹細胞”的狀態,研究人員將這一細胞稱為“刺激觸發性多能性獲得細胞”,英文名Stimulus-Triggered Acquisition of Pluripotency cells,縮寫為STAP細胞。
2009年8月,小保方晴子開始寫作第一篇關於STAP細胞方面的論文,於2010年春季向科學雜誌《自然》投稿。但“不可能存在動物細胞接受外來刺激而獲得多能性”在細胞學界是一條常識,這一論文未獲通過。同在Charles Vacanti教授研究室工作的及論文合著者哈佛大學準教授小島宏司評價道“此後的2-3年她(小保方晴子)內心真的很痛苦”。
2011年3月,日本理化學研究所的研究團隊主任若山照彥(後任山梨大學教授)聽聞此事後,表示願意伸出援手,於是小保方晴子加入若山照彥研究團隊,就任理化學研究所客座研究員。
小保方晴子研究表明,細胞類型的轉換能夠利用“細胞重編程”實現——通過在特定條件下引入某些轉錄因子,研究者可以改變細胞的特化程度。2006年,日本的山中伸彌團隊通過調控4種轉錄因子獲得了誘導性多能幹細胞(iPSCs),因此獲頒2012年諾貝爾生理學獎,2013年,北京大學生命科學學院鄧宏魁教授和趙揚博士帶領的研究團隊發現了化學誘導多能幹細胞(CiPSCs) ,全球的幹細胞研究也開始步入新的時代。
IPS小保方晴子和同事通過螢光蛋白監測細胞的多能性,如果目標細胞展現出與多能性相關的基因表達,他們就可以檢測到綠色螢光。研究者對不同環境壓迫條件下的白細胞進行了檢測,發現短期暴露在低pH溶液中的白細胞,有部分激活了多能性標記。研究者將這些細胞收集起來,發現它們具備早期胚胎的基因標記——即所謂“刺激觸發的多能性獲得”(STAP) 。
最初,研究團隊嘗試用酸性溶液刺激來尋找STAP細胞,但都以失敗告終,但是他們並沒有放棄,繼續嘗試刺激方法,最終在2011年年底從接受刺激的實驗鼠中尋找到了一個標示綠色螢光的多能性細胞的亮點。
此後,研究小組將出生不久的實驗鼠的淋巴球在弱酸性溶液中浸泡30分鐘左右後,進行了培植,獲得了持久擁有可以演變為各種細胞能力的遺傳基因被激活的結果。研究人員將這一細胞放入實驗鼠體內,並確認到該細胞演變為皮膚和肌肉等各種細胞 。
2014年1月29日,日本理化學研究所召開記者招待會,宣稱小保方晴子所在的研究團隊成功發現了近似於iPS細胞的新萬能細胞STAP細胞的研究成果。這一成果分別以一篇論文 和一篇來信 的方式發表於《自然》雜誌(Nature 505,641–647頁和676- 680頁,2014年1月30日號)上。兩篇論文的第一作者都是小保方晴子、通訊作者為查爾斯·維坎提,若山照彥教授與小保方晴子在理化所的同事笹井芳樹和丹羽仁史也是兩篇論文的共同作者。
第一篇論文主要報導了STAP (stimulus-triggered acquisition of pluripotency, 刺激觸發的多能性獲得) 這個現象的發現,即亞致死量的外界刺激,例如弱酸環境,可以將哺乳動物的體細胞重編程為多能細胞 (pluripotent cells),並報導了如何從STAP細胞中分離可擴增的多能細胞株 。第二篇論文著重報告利用STAP獲得的多能細胞可以與胚胎幹細胞 (embryonic stem, ES) 形成嵌合體,並且對胚胎和胎盤等組織發育有貢獻 。
小保方晴子工作寫真一直以來,“萬能細胞”以iPS細胞為代表,它是通過向皮膚等細胞中導入遺傳基因而製成的。此次新誕生的萬能細胞通過外部刺激這一更加簡單的方法就能短時間的生成,因此受到各方關注。
小保方晴子認為,與iPS細胞等技術不同,這項創新技術的亮點是,僅僅通過改變外部環境,給予細胞刺激,就能使細胞發生變化。同時她還認為,這項技術應該能在再生醫療和免疫研究等領域作出貢獻。研究小組決定,將繼續開展研究,以便查明這項新技術能否也套用於人體細胞。
兩篇論文一發表立即引起轟動。英國倫敦大學教授Chris Mason評價認為,這是日本科學家對於萬能細胞製作方法的一次重要改寫,山中伸彌用四個基因控制產生人工多能性幹細胞(iPS細胞),STAP細胞用酸性溶液培養即可完成,方法更為簡易;分化的細胞可以通過物理刺激重編程為胚胎類似的狀態,並且使用了"...by a simple procedure(簡單易行的措施)" 來描述小保方等人提出的方法 。山中伸彌此時已任京都大學iPS細胞研究所主任,他對此發現評價,作為日本的一位年輕學者就有如此重大發現,真是從內心感到驕傲。STAP細胞也很有可能突破iPS細胞很難在體內臟器再生的瓶頸。
小保方晴子同時,小保方的論文摘要也強調,重編程的過程,既不需要核轉移,也不需要遺傳操作。而核轉移和遺傳操作的理念,正好分別是2012年諾獎獲得者John Gurdon和Shinya Yamanaka獲獎的原因 。
涉嫌造假
可重複性質疑
小保方晴子就在兩篇論文正式線上發表的當天(2014年1月29日),美國幹細胞學者Paul Knoepfler即提出了關於實驗可重複性的疑問,隨後收集了其他研究組的驗證結果,發現共有11位學者或研究組給出自己的研究結果,其中9組無法重複,1組正在進行,只有1個實驗小組成功重複。且能重複出來實驗的學者Yoshiyuki Seki 在2月13日表示,在B27 + LIF細胞里驗證不了結果,但是在serum + LIF里可以檢測到微弱的信號,但是還存在很多死細胞,所以這一重複結果只是有限的重複結果。
這一結果引起了《自然》雜誌的重視。2014年2月,《自然》方面展開調查,發現有十位傑出的幹細胞學家表示無法重現小保方的研究結果,不過,這些嘗試中的大多數都沒有選用小保方晴子所使用的細胞類型。2014年2月,中科院動物研究所克隆專家周琪在接受採訪時表示,大部分他所使用的小鼠細胞在進行酸處理後也都死亡了,但“建立實驗系統可能是很棘手的事情,”他說:“對一個經驗豐富的實驗者而言簡單的實驗,對其他人而言也許是極端困難的。我不會單憑我實驗室無法再現這項技術就懷疑該工作的真實性。”
論文造假質疑
2014年2月4日,科學論壇PubPeer陸續對這篇論文提出爭議意見,其爭議點集中在兩點:
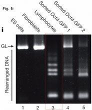
1.第一篇論文的Figure 1i涉嫌造假: "At higher magnification the background of that lane 3 is darker than the rest of the gel. Also vertical straight change background on each side."(第三條泳道與其他部分的顏色深淺不一致) 。
第三條泳道不一致2.第二篇文章的Fig. 1b和Fig. 2g有相似之處。
相似小鼠胚胎圖片但這兩個問題並不能對全文的結論造成根本的動搖,因此起初並未引起重視。
博士論文造假
然而2014年2月10日,日本一學術不端監督推特賬號通過比對小保方晴子的博士論文與《自然》雜誌STAP論文,提出了兩個更為嚴重的問題:
1.小保方晴子在《自然》上發表的文章明顯重複使用了兩張其博士學位論文上的圖片。她的博士論文中使用該圖片是用於表示該細胞原本就處於胚胎狀態,而在《自然》上發表的文章中再次被使用的圖片,卻稱該細胞是在另外一個不同的實驗中通過不同的實驗刺激而回到胚胎狀態的。 (左圖為博士論文中照片,右圖為《自然》雜誌照片)
小保方晴子2.小保方晴子2011年向早稻田大學提交的英語博士畢業論文,開頭部分與美國國立衛生研究院(NIH)網站的文章基本相同,其中完整複製了所有引用,甚至包括語法錯誤。
授予小保方晴子博士學位的早稻田大學開始著手對其博士論文中被指出的不自然的畫像疑點進行調查,但同時也表示就算最終判定論文中引用畫像被取消,但處理結果不影響她的博士論文研究目的。
博士論文造假問題的揭露引發了一系列撤回該文章的呼籲,呼籲者中不乏日本科學界權威性人物。但是,最具破壞性的呼籲來自於該文章其中一位共同作者:山梨大學的克隆專家若山照彥。在NHK的訪問中,他表示對該文章已經失去信心。“文章出現了太多的問題與疑惑,我覺得我們需要等待一些確切的證據。”
若山呼籲開展一項對實驗記錄的調查,檢查這一實驗的實驗記錄本以及數據。若山指出,“為了檢查該文章的合理性,我們必須撤回文章,然後準備準確的數據以及真實的實驗圖片,再充滿信心地去論證那篇文章是正確的。”他還表示他已經聯繫了文章的所有作者,希望他們都同意撤稿。而日本理化學所則表示,該事件仍在調查中。
事件調查
調查委員會成立
2014年2月17日,日本理化學研究所(RIKEN)宣布,將對STAP細胞論文中的“不自然之處”進行調查。RIKEN公共關係處發言人表示,對研究成果本身的描述堅信不疑,並將儘快公布調查結果。該發言人同日表示,該所已於2014年2月13日開始與小保方晴子等STAP研究者展開會談。
2014年3月11日,日本官房長官菅義偉在記者會上透露,針對圖像和表述多處被指有疑點的新型萬能細胞“STAP細胞”的論文,文部科學省已要求理化學研究所開展調查並公布事實。菅義偉稱“根據接到的報告,理化學研究所正在召集國內外專家從專業角度展開調查。他們當然會就此事召開記者會。”文科相下村博文則稱:“期待能客觀調查,然後再次提交論文”。
中期調查報告
2014年3月14日,調查委員會委員長和RIKEN官員發布了中期調查報告。委員會主席、RIKEN分子遺傳學家東陽石井在記者招待會上表示:“調查委員會的任務是查明小保方晴子及其團隊是否涉嫌學術不端行為;而STAP細胞究竟是否存在,是科學界需要考慮的問題。” 他還說,就3月14日前他們所掌握的訊息,尚未有其他團隊製作出了STAP細胞。
最終調查結果
2014年4月1日,日本理化學研究所發布完整調查報告,指出論文中的錯誤主要有以下幾點:
1.第一篇論文Figure 1i是由兩塊凝膠拼接加工而成,泳帶1、2、4、5來自凝膠-1,泳帶3來自凝膠-2,泳帶3處理前後都是陽性對照。
2.第一篇論文Karyotype analysis部分(共17行)從其他文獻(In Vitro Cell Dev Biol Anim. 2005, 41, 278-283.)複製而來,並且與真實的實驗操作有區別。小保方晴子認為原因是沒有引用原文獻,由於具體實驗由其他人完成,寫論文時雙方都沒有仔細檢查這段文字。
3.第一篇論文Figure 2d底部中間的圖片、Figure 2e底部三張圖片源自骨髓造血細胞,而不是脾造血幹細胞,小保方晴子的解釋是拿錯了圖片,因為骨髓造血細胞、脾造血幹細胞都貼了“hemato(造血)”標籤。
4.第一篇論文Figure 2d、Figure 2e與博士論文相同,小保方晴子認為在學術期刊中使用自己博士論文的圖片並無不妥。但調查人員指出,第一篇論文做的是用1周齡小鼠脾細胞創造STAP細胞,而博士論文是用3-4周齡小鼠骨髓細胞創造球狀細胞,實驗條件是不一樣的,而小保方晴子沒有充分認識到這點。
5.第二篇文章Figure 1b右圖、Figure 2g下圖是共同作者Teruhiko Wakayama從不同角度拍攝的兩張照片(同一小鼠),論文修改過程中忘記刪除Figure 2g下圖,第二作者Yoshiki Sasai也解釋未注意到多出一張圖,文字部分未引用這張圖可以證明是疏忽而非偽造。
因此,數據的可信性從根本上被破壞,因此,判定小保方晴子涉及捏造這一學術不端行為。
在4項調查事項中,作為研究的基石——顯示細胞多能性的圖像,為2011年小保方晴子所完成的其他主題的博士論文時所使用的圖像——這從根本上摧毀了數據的可信度,也不得不說逐漸令人意識到了潛在的危險。因此判定為“捏造”。
關於剪貼並加工實驗圖像的結果一事,作者抱著“只是想做出看得清楚美觀的圖”的目的行事,被判定為“篡改”。共同作者只在論文投稿前看到過被篡改後的圖像,因此判定無學術不端。共同作者CDB中心副主任笹井芳樹及山梨大學教授若山照彥雖無涉及造假,但身在其位卻招致學術不端行為,此二人亦責任重大。
調查委員會對上述幾點表示“屢屢做出絕對無法容忍之行為”,嚴厲批評其“歪曲了科學的本質,令社會各界不僅僅是對搞研究這一行為更是對研究人員這一群體大失所望。”
小保方晴子回應
針對這一調查結果,小保方晴子於2014年4月9日在大阪的記者會上表示,此前被喻為新型“萬能細胞”的STAP細胞真實存在,她拒絕撤回已發表的相關論文。小保方晴子在記者會上承認論文中出現多處“失誤”,但她強調,STAP現象是經過多次確認的事實,團隊曾製作成功STAP細胞200次以上,希望不要因論文上出現的“失誤”就否定STAP現象。小保方晴子4月8日已就STAP細胞論文存在造假的調查結論提出了不服申訴,要求日本理化研究所認定其研究“不存在違規”,並重新進行調查。
重複試驗計畫
2014年4月7日,理化學研究所發布排除了小保方晴子的重複實驗驗證計畫。這一計畫將由理化學研究所主席野依良治親自帶頭。儘管調查委員會認定小保方晴子造假,但調查也留下了懸念,因為該委員會沒有對STAP細胞是否真實、論文是否正確進行評估,更沒有立即建議撤回她的論文。對這些問題,理化學研究所主席、諾貝爾獎獲得者野依良治(Ryoji Noyori)指出,理化學研究所將會重複這些有爭議的研究,並和外部學者密切合作重複培養STAP細胞的方法。經過上述程式後,如果學術不端仍被確認,他將建議撤回其中一篇論文。 另外將根據風紀股長會的建議,對當事者進行嚴厲但公平的紀律處分。
論文同意撤回
2014年6月4日,理化學研究所表示,已從小保方晴子處獲得了有關撤回STAP細胞論文的書面同意。論文的另一名主要作者——哈佛大學的查爾斯·維坎提(Charles Vacanti)教授也在朝著同意撤回論文的方向進行協調。小保方晴子已在同意撤回論文的檔案上籤字。小保方本次同意撤回的是有關STAP細胞的“主論文(Article)”,其中紀錄了有關STAP細胞的製作方法及其萬能性的研究成果。理研調查委員會認定其中存在兩處小保方導致的“不正(違規)”之處,勸告其撤回論文。刊載這兩篇論文的英國《自然》雜誌是否撤下該論文,將於近期做出判斷。
導師自殺
據警方透露,2014年8月5日上午9時左右,小保方晴子導師笹井芳樹在日本理化學研究的一棟研究樓內上吊自殺,經搶救無效死亡。隨後在笹井的包內發現了寫給論文第一作者小保方晴子的遺書,上面寫道“不是你的原因”、“請務必重新製作出STAP細胞”等。
實驗結果
日本理化學研究所在日本時間2014年12月19日9:30召開新聞發布會,公布“STAP細胞”實驗結果:在驗證STAP細胞是否存在的驗證實驗中,小保方晴子未能製作出這種細胞,實驗宣告結束。小保方晴子本人並未出席新聞發布會,會上公示了由她本人所寫的一封辭職信。
被取消學位
日本早稻田大學於2015年11月2日宣布,正式取消小保方晴子的博士學位。早稻田大學去年認定小保方晴子的博士論文存在盜用圖片等問題,要求其在1年內進行修改,重新提交符合學術規範的論文。但早稻田大學最終認定小保方晴子修改後的論文未能達到審查要求,故正式撤銷其博士學位。
出版心路手記
據台灣《中國時報》訊息,日本學術女神小保方晴子STAP細胞論文造假事件,曾在日本社會造成極大震撼,不料事隔2年,描述其心路歷程的手記上市並大賣,再次引起外界的大量關注。
據該書出版社社長野間省伸介紹,小保方晴子所著新書《那一天》,2016年1月出刊以來已發行逾25萬冊。該社編輯部特彆強調,出版這本書的動機,在於思考將當事者的主張公諸於世十分重要,且具有檢討的價值。
據了解,該書是出版社主動提出邀約的。這是小保方晴子在離職之後,首度對外表露心路歷程。從她立志從事科學研究,到2014年1月發表STAP細胞論文、之後被發現存在違規直至撤回論文的經歷,書中都有完整的披露。該書1月28日在日本各書店上架,1個月即有25萬冊的銷售佳績,受到日本社會熱議。
早稻田理工部學生對小保自稱“生病住院後思考力、專注力欠佳,沒有能力修改論文”,卻用不到3個月出版一本書,感覺厭惡,更對出版社出版這樣的書不滿。該學生還說,該書沒有提出新事證,尤其對與STAP細胞相關的博士論文毫無省思非常失望,“全書充滿主觀意識,完全看不出她曾是研究人員。”
32歲的小保方晴子是日本學術界少見的美女研究員。2014年1月,她與研究團隊在英國《自然》雜誌上發表論文,稱他們成功培育出新型“萬能細胞”STAP細胞。但很快就被許多研究人員踢爆,指出該論文存在多處疑點。
對此,研究所當年4月1日宣布這篇論文存在捏造和篡改。小保方晴子的“學術女神”形象頓時崩塌,其博士論文問題也被外界關注。
2015年11月,早稻田大學宣布正式取消小保方晴子的博士學位,但給予她1年時間進行論文修改,但最終校方認定未達到博士論文水平。
成功抗訴
日本放送協會(NHK)曾於2014年播出了關於日本理化學研究所研究員小保方晴子涉嫌STAP細胞論文造假的專題紀錄片。該節目一經播出,便引得日本學術界一片譁然,小保方晴子一夜之間從“國寶”、“日本居里夫人”跌墮,一直力挺STAP的小保方導師、被認為有望獲諾貝爾獎的幹細胞界頂尖專家笹井芳樹更是不堪壓力選擇自殺。事後,小保方曾對NHK提起抗訴,認為其報導涉嫌侵犯人權。距離該事件已過去3年,小保方的抗訴終於取得了成功。
據日本《產經新聞》2月10日報導,日本電視節目監管機構BPO節目人權委員會10日發布訊息稱,此前,圍繞STAP細胞造假事件進行報導的NHK新聞紀錄片《NHK特集》涉嫌損害他人名譽,造成人權侵犯,希望NHK以此為戒。這是BPO對於節目中出現人權侵犯問題最嚴重的一次警告。
報導稱,該節目曾披露小保方運用不正當手段取得ES細胞並將其混入實驗。因此節目組對STAP細胞的真實性提出了質疑。而BPO則認為該質疑並無確鑿證據,報導缺乏真實性。
據《產經新聞》報導,該節目曾於2014年7月27日以《調查報告:STAP細胞背後的黑幕》為題面向公眾播出。播出後數日,小保方便以其涉嫌人權侵犯為由向BPO提起抗訴,同年8月BPO就此案進行了審理。
主要業績
學位論文
•H. Obokata (Feburuary2011).Isolation of pluripotent adult stem cells discovered from tissues derived from all three germlayers.國立國會図書館請求記號:UT51-2011-E426、學位授與年月日:2011年3月15日
論文
•H. Obokata, M. Yamato, J. Yang, K. Nishida, S. Tsuneda, T. Okano (September 2008). “Subcutaneous transplantation of autologous oral mucosal epithelial cell sheets fabricated on temperature-responsive culture dishes”.Journal of Biomedical Materials Research Part A86(4): 1088-1096.doi:10.1002/jbm.a.31659.ISSN15493296.
•Y. Aoi, T. Kinoshita, T. Hata, H. Ohta, H. Obokata, S. Tsuneda (June2009). “Hollow-fiber membrane chamber as a device for in situ environmental cultivation”.Applied and Environmental Microbiology75(11): 3826-3833.doi:10.1128/AEM.02542-08.ISSN00992240.
•H. Obokata, K. Kojima, K. Westerman, M. Yamato, T. Okano, S. Tsuneda, C. A. Vacanti (March2011). “The potential of stem cells in adult tissues representative of the three germ layers”.Tissue Engineering Part A17(5-6): 607-615.doi:10.1089/ten.TEA.2010.0385.ISSN19373341.
•R. P. Piccaro, H. Obokata, T. Iwata, A. P. Marques, S. Tsuneda, M. Yamato, R. L. Reis, T. Okano (June2011). “Development of osteogenic cell sheets for bone tissue engineering applications”.Tissue Engineering Part A17(11-12): 1507-1515.doi:10.1089/ten.TEA.2010.0470.ISSN19373341.
•H. Obokata, M. Yamato, S. Tsuneda, T. Okano (June2011). “Reproducible subcutaneous transplantation of cell sheets into recipient mice”.Nature Protocols6(7): 1053-1059.doi:10.1038/nprot.2011.356.ISSN17542189.
•J. A. Canseco, K. Kojima, A. R. Penvose, J. D. Ross, H. Obokata, A. H. Gomoll, C. A. Vacanti (December2012). “Effect on ligament marker expression by direct-contact co-culture of mesenchymal stem cells and anterior cruciate ligament cells”.Tissue Engineering Part A18(23-24): 2549-2558.doi:10.1089/ten.TEA.2012.0030.ISSN19373341.
•S. Wakayama, T. Kohda, H. Obokata, M. Tokoro, C. Li, Y. Terashita, E. Mizutani, V. T. Nguyen, S. Kishigami, F. Ishino, T. Wakayama (March2013). “Successful serial recloning in the mouse over multiple generations”.Cell Stem Cell12(3): 293-297.doi:10.1016/j.stem.2013.01.005.ISSN19345909.
•H. Obokata, T. Wakayama, Y. Sasai, K. Kojima, M. P. Vacanti, H. Niwa, M. Yamato, C. A. Vacanti (January2014). “Stimulus-triggered fate conversion of somatic cells into pluripotency”.Nature505(7485): 641-647.doi:10.1038/nature12968.ISSN00280836.
•H. Obokata, Y. Sasai, H. Niwa, M. Kadota, M. Andrabi, N. Takata, M. Tokoro, Y. Terashita, S. Yonemura, C. A. Vacanti, T. Wakayama (January 2014). “Bidirectional developmental potential in reprogrammed cells with acquired pluripotency”.Nature505(7485): 676-680.doi:10.1038/nature12969.ISSN00280836.
•H. Obokata, Y. Sasai, H. Niwa (March 2014). “Essential technical tips for STAP cell conversion culture from somatic cells”.Protocol Exchange.doi:10.1038/protex.2014.008.
•C. A. Vacanti et al. (March2014). “Erratum: The Potential of Stem Cells in Adult Tissues Representative of the Three Germ Layers”.Tissue Engineering Part A.doi:10.1089/ten.TEA.2014.0122.
特許
•Vacanti, C. A. et al. (2013年10月31日). “Generating pluripotent cells de novo WO 2013163296 A1”.2014年2月5日閱覧。(英語)(國際特許公開、優先日:2012年4月24日、出願日:2013年4月24日)
•(PDF)US 61/637,631(英語)- 米國仮特許出願(出願日:2012年4月24日)
•(PDF)US 61/779,533(英語)- 米國仮特許出願(出願日:2013年3月13日)
•(PDF)PCT/US2013/037996(英語)- 國際特許出願(出願日:2014年4月24日)
著書
•『バイオマテリアルの基礎』 石原一彥・塙隆夫・前田瑞夫 編集、日本醫學館、2010年11月25日。ISBN 978-4-89044-717-6。分擔執筆、大和雅之・小保方晴子共著
解說記事
•小保方晴子「海外情報 Harvard Medical Schoolでの再生醫療教育」、『再生醫療』第10巻第3號、2011年8月、 190-192頁。
招待講演
•『三胚葉由來組織に共通した成體幹細胞の探索』2010年1月16日、文部科學省私立大學學術研究高度化推進事業(ハイテクリサーチセンター整備事業)「第3回 東京女子醫科大學・早稲田大學 TWIns ジョイントシンポジウム」
受賞
•第10回 日本再生醫療學會総會(2011年3月1~2日)ベストポスター賞
発表題目:三胚葉由來組織に共通する成體幹細胞の探索」
演者:小保方晴子、小島宏司、大和雅之、若山照彥、常田聡、岡野光夫、Charles A. Vacanti
獎學金等
•早稲田応用化學會 第3回給付奨學生(2007年度)
•日本學術振興會特別研究員DC1(2008~2010年度)
競爭的資金
•日本學術振興會 特別研究員奨勵費:再生醫療本格化の為の上皮細胞を中心とした新規組織工學技術の開発、研究課題番號:08J05089、研究期間:2008~2010年度)

