釋義
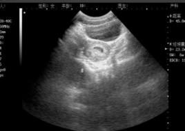
在增大的子宮輪廓內,見到圓形或橢圓形光環,邊界清晰,其內為無回聲區。子宮內出現妊娠囊是超聲診斷中最早期出現的現象,妊娠5周時可以出現,在妊娠囊內可見到有節律的胎心搏動,胚芽和胎動。可確診為早期妊娠、活胎。
作用
受精卵著床後,子宮內膜迅速發生蛻膜變化,蛻膜覆蓋在受精卵之上,把受精卵包圍在子宮肌肉和內膜之間,形成一個封閉的腔隙.受精卵就在這個相對封閉的囊內發育成胎兒,這就是醫學上所稱的 妊娠囊(妊娠囊即 孕囊)。在胚胎髮育早期,羊膜與胚胎形成關係非常密切,而超聲顯示的妊娠囊內充滿的液體,是以絨毛液為主,代表絨毛膜腔,隨著早期妊娠的發展,羊膜腔擴大直至大約孕10周時絨毛腔逐漸消失,羊膜與絨毛膜融合。

