簡介
常規CT中球管產生的X射線具有連續的能量分布,多能譜CT (Multi-energy/spectral CT) 成像就是利用物質在不同X射線能量下產生的不同的吸收來提供比常規CT更多的影像信息。其主要的優勢在於:1)分離不同能量的信息,提高圖像質量;有效地抑制射束硬化偽影和降低輻射劑量,有助於對常規CT難以定性的小病灶和組織進行定性和定量診斷;2)利用K邊緣成像,降低輻射或造影劑劑量;通過對K邊緣特性的高原子序數造影劑的識別,滿足高危患者使用更少造影劑的要求。;3)利用多能譜特性,提高軟組織對比度;改進組織中質量衰減係數相近的軟組織對比度,增加在較低能量區的軟組織對比度。
多能譜CT圖1 X射線能譜及理想情況下不同能區CT成像效果示意圖
多能譜CT成像技術
序列掃描成像技術
序列掃描成像技術,即CT成像系統不發生改變,而採用兩次旋轉掃描成像,一次採用高kVp(如140kVp)的X射線,一次採用低kVp(如80kVp)的X射線。兩次成像數據在圖像數據空間匹配,進行雙能減影。
雙球管雙能量成像技術
雙球管雙能量成像技術是在CT機架中內嵌兩套球管和探測器,兩個球管呈一定角度排列,成像時兩球管同時產生X射線,一個球管產生高kVp的X射線,一個球管發射低kVp的X射線。兩套系統分別獨立採集數據信息,並在圖像空間匹配,進行雙能減影分析。通常使用最低電壓(80kVp)和最高電壓(140kVp)來達到最大能量分離以最大限度地區分不同的物質。
多能譜CT圖2 雙源雙能掃描方式
雙層探測器技術
探測器採用雙層設計,選擇不同材料組合,以使每一層探測器僅對一定能量的X射線光子產生激發作用。通常上層探測器選擇ZnSe或CsI,底層探測器採用GdOS。在兩塊探測器之間用濾片將射線整形以減少低能量和高能量射線的能量重疊區,並被分別探測,從而得到高、低能投影數據並進行雙能CT重建。這種方法X射線球管僅產生一組kVp的X射線,通過探測器接收並轉換成兩組能量數據,並重建出能量圖像。
多能譜CT圖3 雙層探測器雙能掃描方式
光子計數技術
光子計數系統採用更新型的探測器材料和設計。X射線球管僅產生一組kVp的射線,探測器能夠探測X射線中光子的能量並計數,然後依據統計出的能量信息解析出不同的單能量圖像。光子計數型探測器具有能量值分辨能力,可以將具有較寬能譜的X射線分成各個能區進行計數,從而實現了單能量成像。目前,研究最廣和套用最多的計數型探測器有兩種,一種是碲鋅鎘(cadmium zinc telluride,CZT)材料製成的半導體探測器。CZT晶體是發展較快的一種探測器材料,它由CdTe和ZnTe的混合物經過一定的晶體生長方法製作而成,並具有較高的探測效率和分辨能力,是在前期實驗室研究和動物研究中套用最多的探測器材料之一。另一種為碲化鎘(cadmium telluride,CaTe)材料製成的探測器。這兩種材料是光子計數探測器最主要的製作材料。
多能譜CT圖4 飛利浦光子計數型CT原型系統
單源瞬時kVp切換技術
單源瞬時kVp切換技術是在CT機架中內嵌一套球管和探測器,以高壓發生器瞬時kVp切換技術和超快速探測器為基礎實現能譜成像。這種方法通過使用單一球管中高低雙能(80kVp和140kVp)的瞬時切換(<0.5ms的能量時間解析度)產生時空上完全匹配的雙能數據,實現數據空間能譜解析。
多能譜CT圖5 瞬時kVp切換掃描與序列雙能掃描方式
臨床套用
物質分離
從能譜成像的原理可以得知,在能譜成像中,任何結構或組織能通過兩種基物質的組合產生相同的衰減效應來表達,即經過高、低兩組電壓掃描的X射線衰減圖像可以表達為兩種基物質的密度圖。物質分離圖像中的每一個體素反映了相應的物質密度信息,所以物質分離能獲得配對的兩組基物質密度圖。在醫學上最為常用的基物質對是水和碘,水和鈣,及鈣和碘。
多能譜CT碘像上顯示ROI內碘的相對含量,水像上顯示ROI水的相對含量
圖6 物質密度測定(圖像來源:陝西中醫學院附屬醫院)
單能量成像
能譜CT的單能量成像功能模擬了物體在單色X射線源的情況下可能獲得的圖像。單能量圖像可以消除硬化偽影,改善常規CT的CT值漂移問題並得到準確的CT值。不同組織隨著X射線能量的變化,其衰減特性會發生相應變化。
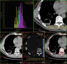
能譜曲線
能譜曲線是物質或結構的衰減(即CT值)隨X射線能量變化的曲線,從能譜曲線上可以得到40~140keV每個能量點的平均CT值和標準差。能譜曲線反應了物質的能量衰減特性,從物理學角度看,每一種物質都有其特有的能譜曲線,由此可以推斷出醫學上不同的能譜曲線代表不同的結構和病理類型,在一個有限的疾病分型中,類似的能譜曲線提示同樣或類似的結構和病理類型。能譜曲線的套用可推廣到腫瘤來源的鑑別、良惡性腫瘤的鑑別、惡性腫瘤的分級等方面。
有效原子序數
通過對物質X射線衰減理論的分析,能夠發現物質的X射線衰減曲線很大程度上取決於物質的有效原子序數的大小,依據這一特性,人們可利用有效原子序數進行物質化學組成成分的分析,尤其對那些看起來密度相似、CT值相近的物質,利用有效原子係數可對其真實組成成分進行準確的分析。有效原子序數已經在諸多方面體現出其臨床價值,例如已經比較成熟地套用在腎結石成分分析中。
多能譜CT圖7 定量分析並顯示物質密度、CT值、有效原子序數等數據(圖像來源:陝西中醫學院附屬醫院)
把符合設定閾值範圍內的體素用顏色標示出來,即檢出並標記相似化學構成的組織(圖像來源:陝西中醫學院附屬醫院)
多能譜CT圖8 有效原子序數
圖9 根據能譜曲線,提示腫瘤內部為脂肪結構,診斷為肝臟血管纖維脂肪瘤(圖像來源:陝西中醫學院附屬醫院)
