病因
病因不清,可能誘因有:遺傳因素、物理和化學因素以及生物因素等。
臨床表現
垂體微腺瘤與患者的性別,年齡,腫瘤大小和擴展方向及分泌激素的類型有關,包括以下4組症狀:
1.垂體瘤分泌激素過多引起的症狀和體徵,常見者為肢端肥大症,庫欣綜合徵及催乳激素瘤。
2.垂體本身受壓症群,主要是垂體促激素分泌減少,一般首先影響生長激素GH,其次為促黃體素,促卵泡素,最後為促腎上腺皮質激素,促甲狀腺素,少數可伴有尿崩症。
3.垂體周圍組織受壓症群,包括頭痛,視力下降,視野缺損,下丘腦綜合徵和腦脊液鼻漏等。
4.垂體卒中,指垂體腺瘤和/或垂體本身梗死,壞死或出血,臨床上可迅速出現壓迫症狀及腦膜刺激症狀,垂體功能亢進的臨床表現可消失或減輕,甚至出現垂體前葉功能低減。
檢查
1.內分泌學檢查
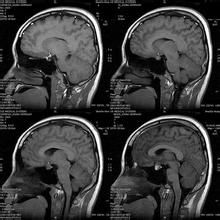
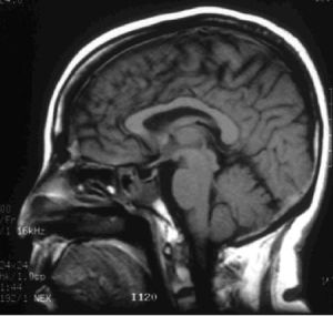
套用內分泌放射免疫超微量法直接測定腦垂體的生長激素、催乳素、促腎上腺皮質激素、甲狀腺刺激素、黑色素刺激素、濾泡刺激素、黃體生成激素等,對垂體腺瘤的早期診斷有很大幫助。2.影像學檢查
(1)蝶鞍像為基本檢查之一。在垂體瘤很小時蝶鞍可以沒有變化,由於腫瘤日漸長大,可致蝶鞍擴大、骨質破壞,鞍背侵襲等。(2)CT檢查採用靜脈注射造影劑增強後,可顯示出5mm大小的垂體腺瘤。更小的腫瘤顯示仍有困難。
診斷
腦垂體瘤的診斷主要根據患者的臨床表現、視力視野障礙及其他神經系統所見,以及內分泌學檢查和放射學檢查等,典型的垂體瘤診斷不難。但在早期的垂體瘤,症狀不太明顯時,診斷並不容易,甚至不能發現。分類治療
手術治療
手術治療是首選方法。主要包括開顱手術和經蝶竇手術治療。選擇性經蝶竇入路微腺瘤切除術可以使95%的病人達到內分泌學緩解,而垂體前葉的功能可以恢復正常。有時僅切除了正常或增生的垂體組織,但術後2/3患者病情可以完全緩解。放射治療
對有手術禁忌的病人或腫瘤術後殘留的病人可選擇放射治療。放療對GH微腺瘤相對效果較好,有60%~90%的GH腺瘤對放療較敏感。多數2年左右取得明顯效果,但放療後垂體功能減退者高達40%。伴有視野缺損和顱內高壓者禁忌。對垂體腺瘤有一定效果,可以控制腫瘤發展,有時使腫瘤縮小,致使視力視野有所改進,但是不能根本治癒。藥物治療
未生育女性合併垂體泌乳素微腺瘤,一般可口服多巴胺激動劑-嗅隱亭治療,文獻報導2個月後70%的女性能夠妊娠。經過長期治療,腫瘤體積可縮小,部分患者可以治癒。青年女性在在服用多巴胺激動劑治療後妊娠,懷孕期間可能會出現垂體腺瘤卒中或明顯增大,必要時需緊急手術。長期服用嗅隱亭,部分患者因副作用較重難以堅持服用,這種情況下也可以選擇手術治療。溴隱亭為半合成的麥角胺生物鹼,能刺激垂體細胞的多巴胺受體降低血中催乳素的作用。服用溴隱亭後可使催乳素腺瘤縮小,可恢復月經和排卵受孕,也可抑制溢乳,但溴隱亭不能根本治癒催乳素腺瘤,停藥後可繼續增大,症狀又復出現。此外溴隱亭對生長激素細胞腺瘤也可減輕症狀,但藥量大,療效差。預防感染、對症治療,有併發症者針對併發症處理。糾正腦水腫、降低顱內壓以20%甘露醇、速尿、地塞米松為主藥,甚至可使用人血白蛋白。注意電解質及體液平衡,術中補充失血。

