基本信息
中文學名嗜皮菌屬
拉丁學名Dermatophilus
形態特徵
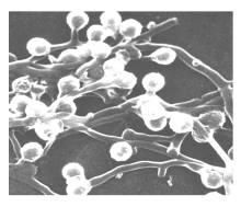
通常無氣絲。基絲為漸細的長菌絲,有成直角的側分枝。由縱橫隔分開而形成達8個平行排列的球菌狀細胞,每個細胞生出叢生鞭毛而變為遊動孢子。
嗜皮菌屬性狀特徵
細胞壁Ⅲ型。革蘭氏陽性。整個細胞水解液含馬杜拉糖。觸酶陽性。不抗酸。好氣和兼性好氣。生長適溫<BR>
形態描述
通常無氣絲。基絲為漸細的長菌絲,有成直角的側分枝。由縱橫隔分開而形成達8個平行排列的球菌狀細胞,每個細胞生出叢生鞭毛而變為遊動孢子。
盤點菌類微生物系列(十四)
| 真菌(fungus;eumycetes)是具有真核和細胞壁的異養生物。種屬很多,已報導的屬達1萬以上,種超過10萬個。其營養體除少數低等類型為單細胞外,大多是由纖細管狀菌絲構成的菌絲體。 |
