發病原因
口腔局部疾患是主要導致口臭的原因,但不容忽視的是,口臭也常是某些嚴重系統性疾病的口腔表現,有一些器質性疾患也會導致口臭症。
病理性口臭
口源性口臭口源性口臭
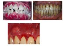
口臭的發病原因據統計,80%~90% 的口臭是來源於口腔。口腔中有未治療的齲齒、殘根、殘冠、不良修復體、不正常解剖結構、牙齦炎、牙周炎及口腔黏膜病等都可以引起口臭。其中齲齒和牙周疾病又是最常見的相關疾病。深齲窩洞內、不良修復體懸突下常殘存食物殘渣和菌斑,細菌經過發酵分解,產生臭味。牙髓壞死或化膿性牙髓炎,未經治療也可發出臭味;牙周病患者常伴有大量的牙石、菌斑,牙周袋內細菌發酵產生硫化氫、吲哚和氨類,因而產生臭味。另外,牙周膿腫和牙周袋溢膿,多為金黃色葡萄球菌合併牙周致病菌感染,也會發出臭味。唾液的質和量也起到重要作用。唾液量的減少、 蛋白質等有機成分的增多降低了唾液的沖刷作用和緩衝作用, 使細菌大量繁殖,分解唾液、 齦溝液及食物殘渣中的有機成分, 產生大量的揮發性硫化物、 吲哚等物質,引起口臭。
非口源性口臭
口腔鄰近組織疾病如化膿性扁桃體炎、慢性上頜竇炎、萎縮性鼻炎等,可產生膿性分泌物而發出臭味;臨床上常見的內科疾病如急慢性胃炎、消化性潰瘍出現酸臭味;幽門梗阻、晚期胃癌常出現臭鴨蛋性口臭;糖尿病酮症酸中毒患者可呼出丙酮味氣體,尿毒症患者呼出爛蘋果氣味。另外白血病、維生素缺乏、重金屬中毒等疾病均可引起的口臭。
生理性口臭
飢餓、食用了某些藥物或洋蔥、大蒜等刺激性食物、抽菸、睡眠時唾液分泌量減少所致的細菌大量分解食物殘渣等都可能引起短暫的口臭。而健康人的口臭可能由於不良的口腔習慣和口腔衛生造成舌背的菌斑增多、增厚所引起。由於舌背的表面積大,有許多乳頭、溝裂和凹陷,有利於細菌、口腔黏膜脫落上皮、食物殘渣等的滯留,充當“細菌儲藏室”,有利於口臭的產生。有研究表明,口臭程度、揮發性硫化物的量與舌苔厚度及面積均存在正相關關係,其中與舌苔厚度的關係更為密切,清除舌苔後揮發性硫化物減少。這可能因為舌苔越厚,越易形成厭氧環境,越利於厭氧菌的生長,從而也越利於揮發性硫化物的產生,導致口臭。
除此之外,還有假性口臭,即患者本人自我感覺有口腔異味,但檢查結果為陰性。可通過解釋說明和心理諮詢得到改善者。
自我檢查
( 1) 自我感受法(用手掩住口鼻,口呼氣,再自己聞呼出的氣體有無臭味);
( 2) 親近人的反饋法: 根據親人、 朋友或配偶的反饋意見來評定;
( 3) 臨床測試法: 主要包括添腕實驗、 塑膠勺實驗;
( 4) 專業醫師直接的鼻測法:是口臭的客觀評價方法中較易執行,且較準確的一種。由專業口臭鼻測醫師來診斷,用 0~ 5 的記分標準來衡量口臭的程度, 結果的重複性好。
( 5) 實驗室測試: 化學分析法(氣相色譜/質譜技術硫化物監測器、 高效液相色譜分析、 氧化鋅薄膠片半導體感測器、 BANA 分析) 、 牛奶漱口氧耗竭實驗、 微生物和真菌檢測、 唾液培養等。
( 6) 人工鼻: 包括攜帶型硫化物測定儀( 商品名 Halime -ter) 及電子鼻等, Halimeter 是利用化學反應的原理, 以數字的方式表示口腔中H2S 的 ppb濃度, 方法簡便、 易操作, 但易受
口腔其它氣味的影響, 如酒精、 揮發性香味( 香水、 頭髮定型劑等)。電子鼻是通過辨別口臭患者口腔中特徵性的氣味來診斷口臭的一種方法,但目前其功能尚待提高。
尋找病因
口臭並不可怕,只要查明原因是可以治療的。首先考慮口臭是口源性還是非口源性的,對於不能排除與口臭相關的因素,如呼吸系統疾病(鼻腔、 上頜竇、 咽部、 肺部的感染與壞死)、 消化系統疾病( 胃炎、 胃潰瘍、 十二指腸潰瘍、 胃腸代謝紊亂、 便秘等) 、 實質臟器損害(肝衰、 腎衰)及糖尿病性酮症、 尿毒症、 白血病、 維生素缺乏等,則應該先對這些疾病進行局部或全身的系統治療。
如有可能引起口臭的口腔疾病, 如未治療的齲齒、 殘根、 殘冠、 不良修復體、 牙齦炎、 牙周炎及口腔黏膜病等,應該及時對齲齒進行內科治療,拔除無用的殘根殘冠、 去除不良修復體、 去除不正確的解剖結構、 治療口腔黏膜病,對於牙周病患者則先進行潔治和根面刮治等基礎治療,再進行系統的牙周治療和菌斑控制。
加強口腔衛生
選擇正確的刷牙方法, 每天至少刷 2 次,並養成進食後漱口的習慣。進行舌面清潔也是非常重要的。由於 80%~ 90%的口臭是來源於舌背, 因此,口腔醫生應該教會患者正確使用舌刮匙來清潔舌面。還可通過體外試驗, 找出患者的主要病源菌, 選用能有效抑制舌面微生物生長的漱口水進行局部抗菌。現在常用的漱口水包括洗必太、 含氯化合物、 過氧化氫、 鈉鹽、 鋅鹽等, 好的漱口水應該達到能維持口腔正常菌群的生態平衡, 防止菌群失調引起的新的疾病。刺激唾液分泌或使用替代物,由於唾液具有抗菌、 殺菌, 清潔口腔的作用,治療中還應考慮增加唾液的量和流速, 增強舌的運動, 咀嚼富含纖維的食物或嚼口香糖等都有利於減輕口臭。
![口氣[醫學名詞] 口氣[醫學名詞]](/img/7/b75/nBnauM3X1MjM2AzMwUDOzEDO5MTM5YjM3ETNyQTNwAzMwIzL1gzLwYzLt92YucmbvRWdo5Cd0FmLwE2LvoDc0RHa.jpg)
