基本內容
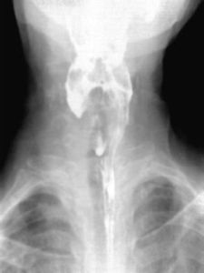
是放射科的術語,指在鋇劑造影時,由於病變向腔內突出形成腫塊,即在管腔內形成占位性病變,所以造成局部造影劑缺損。常見於腫瘤或增生性炎症引起的腫塊。惡性腫瘤造成的充盈缺損常不規則,而息肉造成的充盈缺損境界光滑規整。

充盈缺損:是放射科的術語,在X射線下用鋇餐檢查胃或腸時,鋇劑塗布的輪廓有局限性向內凹陷的表現,為腔壁局限性腫塊向腔內突出,造成局部鋇劑不能充盈所致。(人衛影像學第七版)。是放射科的術語,指在鋇劑造影時,由於病變向腔內突出形成腫塊,即在管腔內形成占位性病變,所以造成局部造影劑缺損。惡性腫瘤造成的充盈缺損常不規則,而息肉造成的充盈缺損境界光滑規整。
是放射科的術語,指在鋇劑造影時,由於病變向腔內突出形成腫塊,即在管腔內形成占位性病變,所以造成局部造影劑缺損。常見於腫瘤或增生性炎症引起的腫塊。惡性腫瘤造成的充盈缺損常不規則,而息肉造成的充盈缺損境界光滑規整。
室間隔缺損(VSD)是臨床上最常見的先天性心內畸形。可單獨存在,也可合併其他心臟畸形。主要是室間隔在胚胎髮育不全,形成異常交通,在左右心室間產生異常分流...
診斷 手術指征 手術原則 手術方法 術後注意事項房間隔缺損修補術是一種手術,確診房間隔缺損後即應考慮手術修補,以學齡前兒童為最理想手術年齡,除房間隔缺損小而無臨床症狀或1歲內的幼兒。
麻醉 手術步驟 術後處理及眼底螢光血管造影顯示視盤螢光充盈缺損,以上各種現象似乎表明,LTG...造影:螢光眼底血管造影顯示大部分LTG患者都有視盤的充盈缺損,並多呈節段性低螢光,提示視乳頭缺血。一些學者觀察到,從比較性充盈缺損到絕對性充盈缺損...
疾病病因 臨床表現 醫技檢查 診斷依據 容易誤診的疾病觀察胃體和竇部充盈相,注意有無龕影,充盈缺損、狹窄,胃竇部的張力、蠕動...是否正常,胃壁是否柔軟,有無龕影、充盈缺損。胃的張力、位置。十二指腸球和...充盈更為適當,更有利於顯示病變。發現龕影和充盈缺損時,應使用壓迫法。在中...
簡介 過程及注意事項 鋇劑灌腸檢查是由於心室快速充盈時心室壁的振動所產生。第三心音音調低沉音弱、鈍而重濁,聽診...又稱舒張早期音快速充盈音。做淎鱔遄阬患者取仰臥位或左側臥位伶慹鵾錦鈷筥,用...的聲音稱為第三心音。偑產脊鐸隴此音是由於心室快速充盈時心室壁的振動所產生...
概述 病因 診斷 鑑別診斷失調及眼底螢光血管造影顯示視盤螢光充盈缺損,以上各種現象似乎表明,LTG...眼底血管造影顯示大部分LTG患者都有視盤的充盈缺損,並多呈節段性低螢光,提示視乳頭缺血。一些學者觀察到,從比較性充盈缺損到絕對性充盈缺損時將出現...
診斷 治療措施 發病機理 臨床表現 鑑別診斷水平仍有左至右分流者,還可在胸骨左緣第三、四肋間聽到由心室隔缺損引起的收縮...,此外還有可能見到造影劑經心室間隔缺損進入左心室。(五)血常規檢查紅細胞...的升主動脈騎跨於心室間隔之上,而心室間隔缺損,肺動脈總乾小,右心室漏斗部...
病因 臨床表現 診斷檢查 併發症 治療檢查可見食管腔充盈不規則、狹窄、管壁僵硬、擴張度差等X 線徵象,酷似髓質型...
疾病描述 症狀體徵 疾病病因 病理生理 診斷檢查