適應證
1.對於急性腦積水行腦室系統減壓(甚至可以在床邊進行);
2.顱內壓升高:引流腦脊液,檢測顱內壓;
3.分流術後感染:引流被感染的腦脊液;
4.術中腦組織鬆弛:有利於到達深部結構;
5.動脈瘤性蛛網膜下腔出血;但是過度的引流腦脊液會增加動脈瘤灶向外膨脹的壓力而導致再出血的危險;
禁忌證
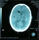
頭部ct示左側丘腦出血破入腦...1.凝血障礙或血小板減少等疾病:立即輸送新鮮冰凍血漿和血小板;2.導管通路處有血管畸形等實質性病變;
3.中線過度偏移;腦室外引流術會導致更嚴重的腦偏移;
術前
術前準備:
1.重新閱片(CT或MRI);
2.兩個鑽孔位置:一個在前額部(最常見於右側Kocher點);另一個在後枕部(Frazier孔);右側腦室外引流術可將優勢大腦半球的損傷最小化,除非是左側腦出血患者;
顱腦外引流器3.Kocher點為兩條直線的垂直交叉處:(1)中瞳線的後半部分,(2)外耳道與外眥中點線的上半部分;註:(1)簡單定位:中線外側3-4cm(沿中瞳線),冠狀縫前1cm(如果冠狀縫可觸及)
(2)Kocher點的好處在於:它在大腦皮層運動功能區前,切口在前額髮際內,又在上矢狀竇及其大的額葉橋靜脈屬支外側;
4.后角穿刺腦室外引流術利用Frazier孔:枕外隆突上方6-7cm,中線旁開3-4cm;此孔位於人字縫上1cm,可使導管進入側腦室體部 距離最短;
5.導管的最終定位取決於三個幾何變數:導管在矢狀面上的位置,水平面或冠狀面上的位置,導管插入的深度;
註:(1)對於兒童患者,導管插入的深度可以從CT上估計;
(2)對於成人患者,導管插入的深度(從顱骨外表面計)一般不必超過6cm,此深度足可達到腦脊液。
麻醉和抗生素
1.1%lidocaine
2.短時誘導麻醉(咪達唑侖或管內吸入propofol)
3.儘量避免肌肉麻痹,這樣可以通過神經體檢以確定腦室外引流術的療效
4.廣譜抗生素術前、 術中、術後常規使用(苯唑西林2g q6h,或頭孢唑林10mg/kg q6h)
器械
1.標準腦室外引流術器械包括:
顱腦(1)刀片(兩把)
(2)記號筆
(3)無菌拭子
(4)無菌手術巾、紗布、塑膠薄膜
(5)25號針和22號針
(6)無菌生理鹽水
(7)解剖刀
(8)手搖顱骨鑽
(9)3.0尼龍線和絲線
(10)持針器、鑷子、剪刀
2.標準腦室外引流管
3.腦脊液引流袋
4.無菌手套
手術
額入法
體位:
1.患者仰臥位,床頭抬高20度,頸部放鬆
2.術側頭部備皮以利於導管通過帽狀腱膜下層
3.鑽孔處頭皮用筆作記號
4.備皮區消毒五分鐘為無菌區
5.鋪上塑膠薄膜,仔細確定中線
6.切口位置皮下注射1%lidocaine
7.鑽頭長度能夠穿透顱骨內外板
8.標記位點處頭皮作一1cm長切口,既能通過鑽頭,又儘可能減少出血;切口深達骨面
9.手搖鑽垂直於顱骨鑽一孔,鑽頭可刺破硬膜,但切勿陷入腦實質
10.必要時衝去顱骨碎片
11.將鑽頭扳手或腰穿針置入骨孔,確定硬膜開口足以通過導管
註:(1)如果硬膜未破而插入導管或金屬探針,會導致硬膜剝離而形成硬膜外血腫
(2)而且,如果硬膜開口太小,導管會被硬膜拽住,金屬探針會戳破導管頭而突入腦實質
12.帶探針的腦室導管垂直插入腦表面達6cm;拔去探針以利於腦脊液流出;若達到6cm深度之前已有腦脊液流出,也應拔除探針讓導管單獨前進至預定深度,以減少探針造成的損傷
13.如果到達6cm深度腦脊液仍未引流出來,不可輕易繼續插入:
(1)拔除導管並用鹽水沖洗
(2)重新定位
(3)再次插入帶探針的導管
(4)均勻輕柔的插入導管是既安全又有效的方法
14.對於“額入法”來說導管必須對準眉間的矢狀面,高於同側耳屏約2cm;這樣可確保導管末端在側腦室前角內,導管頭靠近Monro孔
15.將引流管與導管遠端連線,握住導管,將引流管從離切口至少5cm遠的硬膜下導出;當導管導出頭顱,要確定引流通暢
16.導管末端經接口連線到壓力轉換器和或引流系統,穩定的引流水平以外耳道為參照點
17.與導管連線的接口套用3.0的絲線固定;縫合切口,用3.0的尼龍線將導管固定於頭皮至少三處位置
18.無菌敷料包紮
枕入法
體位:
1.患者取仰臥位,同側肩收攏,頭完全轉向對側肩膀;床頭抬高15-20度,或俯臥位(例如枕下顱骨切除術)
2.入路:枕外隆突上6-7cm或3cm,中線旁開3cm
定位:
1.矢狀面上仍然以眉間或前額中點為目標,此入路很自然會越過中線,因此必須在水平面上對準同側眼眥
2.腦室導管垂直插入顱骨,對準前額中點,深達6cm
3如果有腦脊液流出,不要拔出探針,導管前進至8-12cm深度(尖頭須超過Monro孔)
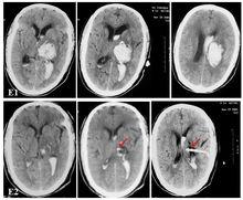
重型腦幹出血是指腦幹出血血腫量>5 ml,伴明顯意識障礙(意識分級≥Ⅲ級或GCS評分≤12分者[1]。由於重型腦幹出血起病兇險,死亡率高,可達70%~80%,而出血量與患者預後密切相關,國內患者可見外科手術治療(開顱血腫清除術,立體定向手術等)成功的報導,但手術難度大,尚不能普及,因此臨床上仍以內科保守治療為主。本文回顧性分析我院近十年來19例經側腦室穿刺持續引流治療重型腦幹出血患者臨床資料,通過積極的搶救和護理,獲得較好效果,現報導如下。 1 臨床資料
1.1 一般資料
男15例,女4例,年齡38歲~68歲,平均年齡52.7歲,患者意識狀況分級Ⅲ級~Ⅴ級,GCS評分≤12分,頭顱CT/MRI證實為腦幹出血,多田氏公式計算血腫量>5 ml。存在高血壓病史11例,嗜煙、酒4例,動脈粥樣硬化2例,病因不詳3例。發病至治療時間為1 h~72 h。
1.2 臨床特點
GCS評分:12分~9分10例,8分~4分6例,3分3例,平均7分;嘔吐18例,四肢不同程度無力表現19例,去腦強直發作3例,頭痛15例,眩暈10例,發病初期血壓為(20~30)/(12~18)kPa,中樞性呼吸障礙16例(急促深長呼吸10例,失調式呼吸、潮式呼吸各3例),中樞性高熱6例,雙瞳孔異常17例(不等大6例,針尖樣大小9例,散大2例),雙眼下斜視4例,雙眼分離斜視3例,雙眼固定5例,顱神經麻痹3例,球麻痹表現2例,病理征陽性5例,腦膜征陽性4例。
1.3 治療方法
患者入院後經予脫水降顱壓,降低腦代謝,抗感染,保護胃黏膜等對症治療,治療中行氣管切開術14例,需呼吸機輔助控制呼吸8例。19例內科治療+單側側腦室穿刺持續腦脊液外引流術[1],其中5例經腦室引流管注入東菱精純克栓酶或尿激酶溶解血塊,2例分別進行1次,5次腰穿腦脊液置換術,腦室引流時間4 d~50 d,平均16.6 d。
2 結果與預後
2.1 療效評定
對存活者出院前給予近期生活能力狀態評定(ADL)[2]。顯效:ADLⅡ級~Ⅳ級。好轉:ADLV級~Ⅵ級。植物生存:1個月以上持續昏迷或呈閉鎖狀態。未愈:治療前後神經功能無變化或自動出院。死亡(發病至死亡時間為5 h~15 d,平均9.3 d)。
2.2 結果
見表1。表1 19例重型腦幹出血患者治療結果比較例(略)
3 搶救及護理措施
急救方法
保持呼吸道通暢,吸氧、吸痰,有呼吸抑制者,立即行氣管插管,對於昏迷時間較長的患者及早行氣管切開,這樣不但可以使呼吸道阻力及死腔明顯減少,保持良好通氣,而且有利於痰液的吸除。用呼吸機輔助呼吸,及時改善缺氧,預防腦組織損害,在使用呼吸機過程中,應嚴密觀察患者的呼吸和循環指標,定時檢查血氣分析,使患者CO2分壓控制在30 mmHg~35 mmHg(1 mmHg=0.133 kPa),及時吸除氣管、口鼻腔內的分泌物,加強氣道濕化,減少痰痂形成,保持呼吸道通暢,防止阻塞氣管、細支氣管而引起肺不張等併發症的發生。靜脈給藥,快速輸入20%甘露醇、甘油果糖、速尿等藥物,床邊心電監護,嚴密觀察生命體徵、瞳孔、意識、尿量變化,觀察有無電解質紊亂,有異常變化及時糾正。有高熱者予物理降溫,頭部戴冰帽,保護腦細胞,降低腦組織耗氧量,有助於減輕腦水腫的發生,增加腦組織缺氧的耐受力。及早行側腦室穿刺引流,以防止早期就發生腦疝和急性呼吸循環衰竭,病程超過72 h,患者容易出現MDSF(包括中樞性高熱,應激性潰瘍,心肺功能不全等),腦脊液循環通道的粘連梗阻等併發症。
3.2 腦室外引流管的護理
引流裝置保持一定高度,一般在穿刺點引流切口上10 cm~20 cm為宜,不能將引流裝置隨意抬高或降低,注意保持引流穿刺點敷料乾燥及切口的清潔,及時更換敷料。翻身、換藥及外出檢查時要妥善固定引流管,防止引流管脫出,本組病例有1例發生引流管脫出,予更換穿刺部位重新穿刺引流。保持引流管的持續通暢,防止扭曲、受壓,必要時予生理鹽水20 ml加尿激酶1萬U進行沖洗,以利血凝塊流出。每天更換引流袋,引流裝置應密閉,注意無菌操作,引流袋應處於切口部位以下,以預防引流液逆行進入顱內引起顱內感染,密切觀察引流液的量、性質和顏色。病房每天予紫外線燈照射或空氣消毒機消毒兩次,保持引流管時間需較一般腦出血延長,複查CT或頭顱MRI見腦幹血腫大部分吸收,水腫明顯消退,同時腦脊液轉清,引流量明顯減少,夾管48 h後未見生命體證(呼吸、瞳孔、意識等)改變。再考慮拔管,平均需15 d。夾管目的是確定腦脊液循環通路是否通暢,以防止拔管後再次出現梗阻性腦積水,拔管後頭皮穿刺點縫合一針,用無菌敷料及彈性繃帶加壓包紮,觀察有無腦脊液漏出,直至切口拆線。
3.3 加強營養
重型腦出血的患者由於應激反應使包括腦部在內的全身多器官、系統發生較大的生理、生化改變,這些高代謝,嚴重的負氮平衡表現為體重下降,肌肉萎縮,免疫機能低下,直接影響患者的生存和神經功能的恢復,早期的營養支持可以促使神經突觸的形成和再生,因此應儘早給予高熱量、高蛋白、高維生素飲食,不能進食者病情穩定後採用留置胃管胃腸內營養的方法,注意飲食的營養結構,少量多餐,每次鼻飼量≤200 ml,間隔2 h以上,緩慢注入,預防逆流,飲食的溫度應在40 ℃左右,嚴格記錄出入量。遵囑靜脈點滴胺基酸、白蛋白和脂肪乳等營養藥物,以改善機體的營養狀況。
3.4 做好基礎護理
重型腦幹出血患者多有中樞性高熱,出汗多,應勤換衣褥和被服,保持皮膚清潔,予5% 碳酸氫鈉溶液口腔護理每日2次,保持口腔清潔、濕潤和舒適,預防口腔感染。臥軟墊床,每2 h翻身、叩背,保持床鋪整潔、乾燥、無皺摺,預防褥瘡及肺部感染等併發症。對留置尿管患者,每天予1/15碘伏稀釋液抹洗尿道口和會陰部2次,有感染者予生理鹽水250 ml加慶大黴素8萬U沖洗膀胱每日2次,保持尿液引流通暢,及時傾倒尿液,勿使尿液倒流。每天更換尿袋,每周更換尿管,嚴格無菌操作規程,防止泌尿系感染。
4 討論
腦幹出血約占腦出血的10%,其中重型者並不少見。由於病變累及腦幹上行激活系統及下行交感纖維及呼吸、心血管中樞諸結構,其臨床表現重,易出現昏迷、腦內綜合徵、中樞性呼吸、循環衰竭、腦疝、MOSF等。邢宏義等[3]報導13例腦幹出血死亡患者中平均出血量為8.7 ml,是存活者平均值7.8 ml的三倍多。本文19例均表現不同程度昏迷,GCS評分多較低,病情兇險,預後嚴峻,但大多數病例經過積極治療,搶救有效率(顯效+好轉)明顯高達52.6%(10/19),病死率26.3%(5/19)。雖然目前已有重型腦幹出血顱內血腫清除,立體定向手術成功的報導[4],但由於本病手術風險大,且較難普及開展,因此臨床上本病仍以內科保守治療為主,多數患者預後極差,3 d內多因腦幹功能衰竭、腦疝死亡。
併發症
感染
1.目前還沒有臨床感染(如腦室炎或腦膜炎)的前瞻性研究;有報導的細菌感染率為0-40%,平均10-17%
2.腦脊液需每天常規進行蛋白質、糖、細胞記數等檢查和培養;發熱、白細胞增多、淋巴細胞增多意義不大,細胞培養較有價值
3.危險因素:
(1)顱內出血腦室擴大
(2)顱內壓大於20mmHg
(3)監測時間大於5天
(4)還需行其他神經外科手術
(5)腦室系統灌注
出血
1.發生率1.1%;導致需要手術的血腫為0.5%
2.如果神經體徵有惡化或癲癇,立即行CT檢查
3.絕大多數出血可以立即解決
置管易位:3%需手術治療
堵塞或失效:發生率6%左右
動脈瘤破裂

