基本內容
浸潤型肺結核主要見於成人,為原發病灶復發或外源性再感染,包括的範圍很廣,如滲出性、增殖性、乾酪性和空洞性肺結核等,其基本病理特點是多種性質的病變同時存在,但常以某一種病變為主。以乾酪性病變為主的浸潤型肺結核稱為乾酪性肺炎。
乾酪壞死是結核病特有的病理變化,大量的結核分枝桿菌進入和(或)機體抵抗力降低時,發展成為大葉性乾酪肺炎,整個大葉後肺段呈急性結核性伸出和乾酪壞死,其中有大小不等的無壁空洞。乾酪物質勁支氣管播散引起小葉性乾酪肺炎,形成多數小葉發生滲出和乾酪壞死。肺組織的大塊乾酪壞死而無明顯纖維包裹,形成不規則的團塊狀乾酪壞死。乾乾酪病灶被纖維組織包圍或為空洞阻塞時濃縮,其直徑小於2cm者,為纖維乾酪病灶,大於2cm者則稱結核球。
乾酪性肺炎的臨床症狀極為嚴重,有高熱、盜汗、虛脫等嚴重的結合中毒症狀和咳嗽、咳濃痰並咳出乾酪樣物質,痰內科查到大量結核桿菌,團塊樣乾酪壞死和纖維乾酪病灶可無明顯臨床症狀。
X表現
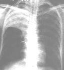
1、大葉性乾酪樣肺炎
(1)整個肺葉或肺段實變。
(2)早期密度可均勻,見壞死溶解成不規則的蟲蝕樣空洞。
(3)肺葉體積常因肺組織廣泛破壞而縮小。
(4)其他肺野可有支氣管播散病灶。
(5)短期複查無明顯變化。
2、小葉性乾酪肺炎
(1)肺內常有大葉性乾酪性肺炎和(或)1個或多個空洞存在。
(2)病灶沿支氣管呈肺段分布,呈支氣管肺炎狀,但並不是局限於某一個肺段,可廣泛分布於一側或雙側,以下肺多見。
(3)病灶中常有大小不一的不規則空洞。
(4)病灶發展迅速,但吸收較慢。
3、團塊樣乾酪肺炎
(1)為大小不一的團塊狀實變,可位於任何部位。
(2)腫塊形態呈不規則的圓形或卵圓形。
(3)腫塊邊緣清楚,但不光整,呈較粗的鋸齒狀或鼠咬狀。
(4)腫塊密度不均勻,其中有不規則的透光區;也可有鈣化。
(5)周圍肺組織或其他肺野常有播散病灶。
(6)短期觀察無變化。

