基本簡介
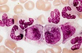
中性粒細胞的核象是指粒細胞的分葉狀況,它反映粒細胞的成熟程度,而核象變化則可反映某些疾病的病情和預後。
核左移
中性粒細胞核左移中性粒細胞核左移是指外周血中性桿狀核粒細胞增多或出現晚幼粒、中幼粒、早幼粒等細胞。
正常時外周血中中性粒細胞的分葉以3葉居多,桿狀核與分葉核之間的正常比值為1:13,如桿狀核粒細胞增多,或出現桿狀以前幼稚階段的粒細胞,稱為核左移。核左移伴有白細胞總數增高者稱再生性左移,表示機體的反應性強,骨髓造血功能旺盛,能釋放大量的粒細胞至外周血中。常見於感染,尤其是化膿菌引起的急性感染,也可見於急性中毒、急性溶血、急性失血等。
桿狀核粒細胞>6%,稱輕度左移。
桿狀核粒細胞>10%並伴有少數晚幼粒細胞者為中度核左移。
桿狀核粒細胞>25%並出現更幼稚的粒細胞時,為重度核左移,常見於粒細胞性白血病或中性粒細胞型白血病樣反應。
核右移
病理情況下,中性粒細胞的分葉過多,可分4 葉甚至於5~6葉以上,若5 葉者超過3%時,稱為中性粒細胞的核右移。核右移是由於造血物質缺乏,使脫氧核糖核酸合成障礙,或造血功能減退所致。主要見於巨幼細胞性貧血、惡性貧血和套用抗代謝藥物治療後,感染的恢復期,也可出現一過性核右移現象。
其他包括
1、再生性左移:指核左移伴有白細胞總數增高者,表示機體反應性強、骨髓造血功能旺盛。見於感染(尤其急性化膿性感染)、急性中毒、急性溶血、急性失血等。分為:輕度左移,白細胞總數及中性粒細胞百分數略增高,僅桿狀核粒細胞增多(>5%),表示感染程度較輕,機體抵抗力較強。
2、中度左移,白細胞總數及中性粒細胞百分數均增高,桿狀核粒細胞>10%並有少數晚幼粒細胞和中毒性改變,表示有嚴重感染。重度左移,白細胞總數及中性粒細胞百分數明顯增高,桿狀核粒細胞>25%,並出現幼稚的粒細胞。
3、退行性左移:指核左移而白細胞總數不增高、甚至減低者。見於再生障礙性貧血、粒細胞減低症、嚴重感染(如傷寒、敗血症等)。

