發病原因
神經上皮組織腫瘤有兩類。一類由神經系統的間質細胞(即膠質細胞)形成,稱為膠質瘤;另一類由神經系統的實質細胞(即神經元)形成,沒有概括名稱。由於從病原學和形態學上,還不能將這兩類腫瘤完全區別,而膠質瘤常見的多,所以將神經元腫瘤包括在膠質瘤中。神經上皮起源的腫瘤是最常見的顱內腫瘤,約占顱內腫瘤總數的44%。下丘腦錯構瘤表現為灰結節處異位的“腦組織”,病理切片可見錯構瘤由分化良好、形態各異而分布不規則的各種神經元構成,星形細胞及神經節細胞散在分布於纖維基質間,其中纖維結締組織和血管結構並不明顯。電鏡顯示在神經元核周有大小不同的類圓形的小體,突起內含無數小泡及微管,可見突觸結構,偶見有髓鞘軸突,其末端有大量高密度的分泌顆粒,有人用免疫組化的方法證實內含有GnRH分泌顆粒,說明下丘腦錯構瘤具有一定的神經內分泌功能。神經元密集和突觸的眾多,提示此部位的神經元功能極為活躍,與周圍邊緣系統的聯繫較廣泛,可能與間腦癲癇有關。
疾病檢查
因錯構瘤中神經系統釋放性腺激素,實驗室檢查可發現性腺激素水平增高。神經影像學檢查對該病診斷極為重要:
⒈CT:表現為鞍背,垂體柄後方,腳間池,中腦前池及鞍上池的等密度占位性病變,體積大者可有三室前部變形。因其血腦屏障正常,故注藥無強化,與此部位真性腫瘤有明顯區別。
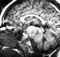
⒉MRI:被認為是該病確診的首選檢查。
臨床診斷
下丘腦錯構瘤有較獨特的臨床表現,多數發生在兒童早期,有性早熟(precocious puberty),痴笑樣癲癇(gelastic seizures),有些可伴有其他類型癲癇或行為異常。⒈痴笑樣癲癇
痴笑樣癲癇屬於間腦性癲癇的一種,表現為發作性傻笑,持續數秒或數十秒而突然停止,發作時無神志喪失,每天可發作數十次,無任何誘因,隨病情的發展,可逐步出現其他類型的癲癇。痴笑多在嬰幼兒開始,隨年齡增加而發作漸頻繁。
⒉性早熟
表現為嬰幼兒女孩出現乳房發育、月經初潮或男孩陰莖增大,出現陰毛、痤瘡及聲音變粗等。性早熟兒童的LH,FSH及雌或雄激素水平增高,過早進入青春期,因骨骼發育過快,早期表現為生長超速,但亦較早停止發育,喪失了身高發育的潛力而使身材矮小。性早熟可能與錯構瘤記憶體在獨立的內分泌功能單位有關。
⒊智力低下
該病為先天性腦發育異常,故常伴有智力較差。
⒋其他類型癲癇
常伴有癲癇大發作和跌倒發作(drop attack)。
根據下丘腦錯構瘤特有的臨床表現及神經影像學特徵做出診斷並不困難。當小兒出現性早熟,痴笑樣癲癇,MRI或CT顯示腳間池占位性病變,注藥無強化,首先考慮為下丘腦錯構瘤。
易混淆疾病
需與下列疾病相鑑別:顱咽管瘤、鞍上膠質瘤或生殖細胞瘤等。這些疾病除腫物信號或密度異常外,最重要的是病變有不同程度的強化和有進行性增大的趨勢。並發疾病
該病常合併其他先天性畸形,伴有單個或多個腦及腦外先天性畸形,包括小腦回、囊腫、胼胝體缺如、多指,下丘腦錯構瘤可合併嗅球發育不全,垂體缺如,腎上腺、甲狀腺及心腎畸形。治療方法
⒈手術治療可手術治療,多可緩解臨床症狀。手術採用翼點入路,術中應注意垂體柄和動眼神經的保護,並防止頸內動脈痙攣,術後注意患兒水、電解質的平衡,及時糾正尿崩症。隨影像學的發展及顯微外科技術的提高,下丘腦錯構瘤全切率明顯增加,並取得了良好的效果。錯構瘤全切除後性早熟症狀停止,激素水平恢復正常。部分患兒癲癇發作完全停止或發作次數明顯減少。
⒉藥物治療
對於痴笑性癲癇,各種抗癲癇藥物均無肯定療效。對於單純性早熟者,可注射GnRH類似物:“曲普瑞林(達必佳)”治療,療效肯定,但費用昂貴。
⒊γ刀治療
錯構瘤套用γ刀治療的病例報導很少,國外有人報導用此法治療,中心劑量為36Gy,可使癲癇完全停上。

