簡介
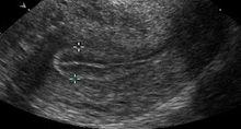
三線征:子宮內膜與子宮肌層之間形成的高回聲的 外側線及兩層子宮內膜表層緊貼形成的清晰可見的高回聲的 中心線。
三線征
三線征,子宮內膜與子宮肌層之間形成的高回聲的外側線及兩層子宮內膜表層緊貼形成的清晰可見的高回聲的中心線。
簡介
三線征:子宮內膜與子宮肌層之間形成的高回聲的 外側線及兩層子宮內膜表層緊貼形成的清晰可見的高回聲的 中心線。
三線征張毅征,1922-2004年,中共黨員,曾在第三野戰軍後勤部衛生部任職。
簡介 生平。 國家限制異地遊資炒房 在接連與20餘二三線城市基本達成“限購協定...“統一監控”。 此前,除銀行個人信貸徵信系統全國聯網外,房屋權屬信息...購房監控”,嚴格控制異地購房行為並儘可能的在二三線城市的住宅房地產市場中...
背景 權屬 監控 限購 曲線炒房征能ES3000數字式接地電阻測試儀又名三線接地電阻測試儀、接地電阻表等是檢驗測量接地電阻常用儀表的常用儀表,他採用了超大LCD灰白屏背光顯示和微處...
企業名稱縉雲縣漢征工貿有限公司統一社會信用代碼91331122MA2A105L9F企業詳情企業名稱縉雲縣漢征工貿有限公司註冊號...類型有限責任公司;行業橡膠和塑膠製品業法定代表人吳崇征註冊時間...
企業名稱 統一社會信用代碼 企業詳情 公司網站 手機號什麼時候要打仗。他又提出:要搞三線工業基地的建設,一、二線也要搞點軍事工業。所謂一、二、三線,當時是按我國地理區域劃分的。沿海地區為一線,中部地區為二線,西部地區為三線。三線地區又分為兩大塊:一是包括雲、貴、川三省的全部...
工程背景 工程興起 工程建設者 工程的波折 文革中的工程美鳳做了早飯。王美鳳想早日把婆家的房子弄到手,她騙婆婆說這個房子光征遺產稅...的經紀人張征給關莎莎施加壓力。張征雇用小太妹沈晶瑩跟蹤關莎莎,並利用她懷孕的訊息敲詐了關莎莎10萬元錢。關莎莎聯繫不到段煜,只好來找張征。張征忽悠...
劇情簡介 分集劇情 演職員表 角色介紹 音樂原聲早飯。王美鳳想早日把婆家的房子弄到手,她騙婆婆說這個房子光征遺產稅就要幾...張征給關莎莎施加壓力。張征雇用小太妹沈晶瑩跟蹤關莎莎,並利用她懷孕的訊息敲詐了關莎莎10萬元錢。關莎莎聯繫不到段煜,只好來找張征。張征忽悠關莎莎...
劇情簡介 分集劇情 演職員表 角色介紹 音樂原聲、兵工廠、醫院等設施,構成了由作戰區、保障區、支援區三線部署的大型...構成了三線一體的軍事要衝,與俄羅斯僅一山一水之隔,山勢險要,地勢開闊...
基本簡介 獲得榮譽 地理位置 戰略地位 築城工程