臨床表現
好發於性活躍的年輕患者,一般在21~30歲之間。皮損多發於外生殖器、會陰、肛周,表現為多個或單個色素性丘疹,膚色、紅褐、褐黑色,大小不等,直徑2~10毫米,呈圓形、橢圓形或不規則形,境界清楚,丘疹表面可光亮呈天鵝絨外觀,或輕度角化呈疣狀。一般無自覺症狀,少數患者可有瘙癢或燒灼感。病程呈慢性經過,少數病人皮損可消退,但反覆發作。檢查
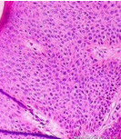
本病組織病理學上高度分化的鱗狀上皮細胞內瘤變或原位鱗狀細胞癌,其特徵為表皮細胞結構混亂,有很多核大、深染、成堆的異形的鱗狀上皮細胞,可見病理性核分裂象。真皮乳頭層水腫,毛細血管彎曲擴張,周圍有慢性炎症細胞浸潤。治療
1.少數患者可自行消退。2.較小的損害可予電灼、冷凍、二氧化碳雷射、腐蝕劑或局部手術切除治療。
3.外用免疫調節劑如咪喹莫特和光動力療法均有一定的療效。

