病因病理
頜面部放線菌病發生在人體最常見的病原菌是以色裂放線菌(actinomyces israeli),此菌為厭氧、革蘭氏染色陽性、非抗酸性的。很多人口腔內有此菌存在,由於炎症可引起組織缺氧和抵抗力降低,有利於放線菌生長和蔓延,可侵及涎腺。
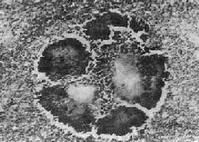
放線菌侵入組織後,可引起組織壞死及形成膿腫,其中有放線菌顆粒(actinomy cotis granules)或稱為“硫磺顆粒”(sulphur granules),由菌體和菌絲組成,色淡黃,直徑可達數百微米。鏡下見嗜鹼性不規則分葉體,中央部呈均一性,邊緣部有輻射狀分支細絲,細絲頂端常有膠體鞘膜,形成玻璃樣杵狀體。周圍有大量中性多核白細胞環繞,再外周為上皮樣細胞、巨細胞、嗜酸性細胞及漿細胞,最外層為緻密的纖維結締組織。
臨床表現
發病年齡主要在20~50歲,男性常為女性的2倍。
早期症狀為涎腺局部出現無痛性小腫塊,逐漸增大。檢查發現腺體腫大,組織較硬,並有壓痕,擠壓腺體導管口無分泌物流出。腫塊不活動,很快有膿腫形成,出現疼痛或熱感,表麵皮膚呈暗紅或紫色,板狀硬,與周圍正常組織無明顯界限。炎症繼續發展,表麵皮膚變軟,膿腫逐漸破潰,流出淡黃色粘稠膿液。肉眼或取膿液染色檢查,均可查見“硫磺顆粒”。破潰排膿後的炎症浸潤灶,不久就在其周圍又形成新的結節和膿腫,膿腫互相溝通,形成瘺道而轉入慢性期,瘺管口有不整齊的肉芽組織。以後若伴有化膿性感染時,還可急性發作,出現急性蜂窩織炎的症狀,體溫高達38.5~39℃以上。這種急性炎症與一般炎症不同,雖經切開排膿,炎症可有好轉,但放線菌病的局部板狀硬腫脹不會完全消退。癒合後留下紫紅色萎縮性疤痕。
鑑別診斷
主要依靠臨床表現及細菌學檢查。如果早期臨床不能確診,必要時可做活體組織檢查。
放線菌侵入組織後,可引起組織壞死及形成膿腫,其中有放線菌顆粒(actinomy cotis granules)或稱為“硫磺顆粒”(sulphur granules),由菌體和菌絲組成,色淡黃,直徑可達數百微米。鏡下見嗜鹼性不規則分葉體,中央部呈均一性,邊緣部有輻射狀分支細絲,細絲頂端常有膠體鞘膜,形成玻璃樣杵狀體。周圍有大量中性多核白細胞環繞,再外周為上皮樣細胞、巨細胞、嗜酸性細胞及漿細胞,最外層為緻密的纖維結締組織。
治療措施
以抗生素為主。如有膿腫形成,應手術切開排膿,可收到控制炎症的效果。
一.藥物療法 抗生素及磺腔藥對放線菌病都有明顯療效。
1.一般套用大劑量青黴素G治療,每日200萬U以上,肌注或加普魯卡因局部病灶封閉。有條件時,應根據藥物敏感試驗選用抗生素。如與鏈黴素、四環素等聯合使用,可能提高療效。
2.磺胺類藥物 可以單獨使用,也可以與抗生素配合套用。
3.碘製劑 口服碘製劑對病程較長的放線菌病可獲得一定效果。一般常用5%~10%碘化鉀溶液口服,每日3次。
4.免疫療法 也有一定效果。一般套用放線菌溶素做皮內注射,首次劑量0.5ml,以後每2~3天注射一次,劑量逐漸增至0.7~0.9ml,以後每次再增加0.1ml。全療程為14次,或達到每次2ml為止。放線菌素免疫療法能增強機體的免疫能力。
二.手術療法 放線菌病已形成膿腫或破潰後遺留瘺道,常有壞死肉芽組織增生,可採用外科手術切開排膿或刮除肉芽組織。由於在腺體內病變界限不清,且與周圍組織粘連,常將腺體一併摘除。
三.高壓氧療法 由於放線菌是厭氧性細菌,近年來套用高壓氧治療放線菌病,對抑制放線菌的發展能起到較好的作用,是當前採用的綜合治療方法之一。
預防
因放線菌病絕大多數是內源性感染,免疫抑制劑的大量套用常是一個重要的誘發因素,故儘量避免免疫抑制劑的大量套用。
當人體抵抗力降低引起放線菌病,增強體質提高免疫力對放線菌病有很大意義。
拔牙、化膿性細菌感染時,積極做好滅菌工作,避免放線菌侵入組織。

