原因
主要由於腎上腺皮質激素生物合成過程中有不同部位的酶缺陷致使糖皮質激素、鹽皮質激素由於血皮質醇水平降低,負反饋作用消除,以致垂體前葉分泌ACTH增多,刺激腎上腺品質增生,致使皮質激素合成不正常。陰唇往往也肥大,嚴重者有尿道下裂和隱睪。腎上腺皮質因大部份分泌具有合成代謝的雄性類固醇而導致不同程度的皮質醇不足。
檢查
ACTH分泌增加,引起雙側腎上腺皮質增生。增生的皮質持續大量地合成雄激素和致高血壓的鹽類皮質素。
20~22碳鏈酶缺乏導致罕見先天性脂性腎上腺增生伴,常有類固醇激素生成完全障礙,如無足夠的替代治療,嬰兒將早期死亡。
3beta;-羥類固醇脫氫酶異構酶的缺乏致使孕酮,醛固酮和皮質醇的合成障礙,脫氫異雄酮則過度產生,這種不尋常的綜合徵特點是低血壓、低血糖和男性假兩性畸形。女性為不常見的多毛,有變化不定的黑色素沉著。
21-羥化酶的不足或缺乏使17-羧孕酮不能轉化為皮質醇,多見的不足有二種形式:(1)多種多樣的丟鈉,醛固酮低或缺乏;(1)更常見的是非丟鈉型,多毛,男性化,低血壓和色素沉著常見。
17alpha;-羥化酶缺乏,最多見於女性患者,有些到成年表現為皮質醇低水平,ACTH代償性增高。原發性閉經,性幼稚,很少有男性假兩性畸形。鹽類皮質激素分泌過多引起高血壓,以11-脫氧皮質酮增高為主。
11beta;-羥化酶缺乏使皮質醇和皮質酮的形成受阻,ACTH釋放過高,致深度黑色素沉著,由於11-去氧皮質酮分泌過量而引起高血壓,無明顯性徵異常。
18-羥類固醇脫氫酶缺乏,皮症罕見,為醛固酮生物合成最後一步的特異性阻滯所致。故患者尿鈉丟失多,引起脫水和低血壓。
青春期後,極少發現多毛和閉經等男性化表現,偶然在中年時引起男性化現象,這種獲得性的腎上腺輕度酶的異常稱為腎上腺皮質良性男性化現象。
新生女嬰外生殖器像有嚴重的尿道下裂和隱睪,男孩在出生時多為正常,在宮內胎兒已有過量雄激素,故已有明顯異常。
未經治療的患者出現多毛,肌肉發達、閉經和乳房發育。男性患者生殖器官超常地大。雄激素過多抑制促性激素的分泌,致使睪丸萎縮。在極為罕見的情況,睪丸內有增生的腎上腺皮質殘餘會使睪丸增大和變硬,絕大多數病人青春期後無精液。由於腎上腺皮質增生,患者3~8歲時身高驟增,以至於比同齡孩子高出許多。大約9~10歲左右過量雄激素致骨骺早期融合,使生長終止,病人成年後較矮小。男女都具有挑釁行為和性慾增強,而致發生社會問題和紀律問題,在某些男孩身上尤為突出。
【輔助檢查】
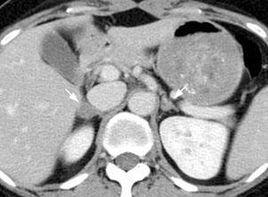
尿17-酮類醇水平高於同性別同年齡的正常者。尿中孕酮水平早期升高(這比尿17-KS的水平更為敏感,因孕酮是雄激素的前體),血17-羥孕酮水平升高是最敏感的指標,適用於兒童,染色體檢查正常。X線檢查會發現骨齡早化。側位尿道膀胱造影會顯示陰道,尿道和膀胱。CT掃描可見高度增生的腎上腺。尿道鏡可看清開口於尿道後壁的陰道,也能進入陰道並看到子宮。
鑑別診斷
許多影響外生殖器發育的先天畸形類似腎上腺性症綜合徵,這些包括:(1)嚴重的尿道下裂和隱睪;(2)非腎上腺型的女性假兩性畸形(由於妊娠期服用過多雄激素或孕酮化藥)。(3)男性假兩性畸形,(4)真性兩性畸形,這些孩子在任何激素異常,骨齡及成熟不超前。
尿道下裂:尿道異位開口於尿道腹側,稱為尿道下裂(hypospadias)。尿道下裂開口可發生於由會陰部至陰莖頭間的任何部位。尿道外口的遠端、尿道與周圍組織發育不全,形成纖維索牽扯陰莖,使陰莖彎向腹側。先天性陰莖下彎者並不全有尿道下裂,但尿道下裂都有不同程度的陰莖下彎。
隱睪:發育,睪丸自腹膜後腰部開始下降,於胎兒後期降入陰囊,如果在下降過程中受到阻礙,就會形成隱睪。研究結果顯示,發生隱睪的機會是1―7%,其中單側隱睪患者多於雙側隱睪患者,尤以右側隱睪多見,隱睪有25%位於腹腔內,70%停留在腹股溝,約5%停留於陰囊上方或其它部位。
ACTH分泌增加,引起雙側腎上腺皮質增生。增生的皮質持續大量地合成雄激素和致高血壓的鹽類皮質素。
20~22碳鏈酶缺乏導致罕見先天性脂性腎上腺增生伴,常有類固醇激素生成完全障礙,如無足夠的替代治療,嬰兒將早期死亡。
3beta;-羥類固醇脫氫酶異構酶的缺乏致使孕酮,醛固酮和皮質醇的合成障礙,脫氫異雄酮則過度產生,這種不尋常的綜合徵特點是低血壓、低血糖和男性假兩性畸形。女性為不常見的多毛,有變化不定的黑色素沉著。
21-羥化酶的不足或缺乏使17-羧孕酮不能轉化為皮質醇,多見的不足有二種形式:(1)多種多樣的丟鈉,醛固酮低或缺乏;(1)更常見的是非丟鈉型,多毛,男性化,低血壓和色素沉著常見。
17alpha;-羥化酶缺乏,最多見於女性患者,有些到成年表現為皮質醇低水平,ACTH代償性增高。原發性閉經,性幼稚,很少有男性假兩性畸形。鹽類皮質激素分泌過多引起高血壓,以11-脫氧皮質酮增高為主。
11beta;-羥化酶缺乏使皮質醇和皮質酮的形成受阻,ACTH釋放過高,致深度黑色素沉著,由於11-去氧皮質酮分泌過量而引起高血壓,無明顯性徵異常。
18-羥類固醇脫氫酶缺乏,皮症罕見,為醛固酮生物合成最後一步的特異性阻滯所致。故患者尿鈉丟失多,引起脫水和低血壓。
青春期後,極少發現多毛和閉經等男性化表現,偶然在中年時引起男性化現象,這種獲得性的腎上腺輕度酶的異常稱為腎上腺皮質良性男性化現象。
新生女嬰外生殖器像有嚴重的尿道下裂和隱睪,男孩在出生時多為正常,在宮內胎兒已有過量雄激素,故已有明顯異常。
未經治療的患者出現多毛,肌肉發達、閉經和乳房發育。男性患者生殖器官超常地大。雄激素過多抑制促性激素的分泌,致使睪丸萎縮。在極為罕見的情況,睪丸內有增生的腎上腺皮質殘餘會使睪丸增大和變硬,絕大多數病人青春期後無精液。由於腎上腺皮質增生,患者3~8歲時身高驟增,以至於比同齡孩子高出許多。大約9~10歲左右過量雄激素致骨骺早期融合,使生長終止,病人成年後較矮小。男女都具有挑釁行為和性慾增強,而致發生社會問題和紀律問題,在某些男孩身上尤為突出。
【輔助檢查】
尿17-酮類醇水平高於同性別同年齡的正常者。尿中孕酮水平早期升高(這比尿17-KS的水平更為敏感,因孕酮是雄激素的前體),血17-羥孕酮水平升高是最敏感的指標,適用於兒童,染色體檢查正常。X線檢查會發現骨齡早化。側位尿道膀胱造影會顯示陰道,尿道和膀胱。CT掃描可見高度增生的腎上腺。尿道鏡可看清開口於尿道後壁的陰道,也能進入陰道並看到子宮。
緩解方法
1、平常的飲食多吃補血補腎的食物,以性平性溫的為主,如牛、羊肉等,各種肉類要打碎打爛吃,利於養份的吸收。每周可以吃2-3次海蝦和鱔魚。多吃性平性溫的蔬菜,葷素搭配比例最好是1:1。忌食寒涼類的食物,不管是食物的溫度還是性質。可以吃當季的新鮮的水果,但寒涼性質的不要吃。儘量少吃辛辣、上火的食物。多喝溫開水。
2、可以吃固元膏,一天一次,一次一勺。每天半勺當歸粉。可以把紅棗用鐵鍋炒黑,加點桂圓泡茶喝,能補血補虛。
3、堅持每晚用溫水泡腳,至微微出汗,每周可以加2次艾葉,有助於祛寒濕。堅持背部撞牆,疏通經絡。在泡腳的同時可以按摩雙耳,補腎固腎。可以配合做做轉腰操,健脾開胃,提升內臟。
4、可以每天做腋下的梳理,兩側各50-100下,能理肝氣降肝火。
5、放鬆心情,保證營養,避免使用酒精、咖啡因、菸草,這些物質對腎上腺及其它腺體具有高度的毒性。注意保暖,不要著涼。保證充足的睡眠。

