病理特點
放射科的診斷報告中提到的陳舊性肺結核,即指患者肺上出現的纖維化病變和鈣化。這樣的患者無潮熱、盜汗等結核中毒症狀,痰液內找不到結核桿菌。在隨後的胸部X線複查時,患者肺部的病變不出現任何變化。
治療方法
陳舊性肺結核只能提示患者曾經患過結核,以後經過治療完全痊癒或未經治療自行痊癒,不需作任何處理。這就好比手上的傷口癒合以後留下的疤痕不需治療一樣。陳舊性肺結核的人和正常人一樣,可以正常工作、生活。

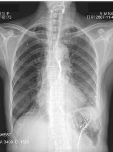
陳舊性肺結核,是指患者肺上出現的纖維化病變和鈣化的一種病症。放射科的診斷報告中提到的陳舊性肺結核,即指患者肺上出現的纖維化病變和鈣化。這樣的患者無潮熱、盜汗等結核中毒症狀,痰液內找不到結核桿菌。在隨後的胸部X線複查時,患者肺部的病變不出現任何變化。
放射科的診斷報告中提到的陳舊性肺結核,即指患者肺上出現的纖維化病變和鈣化。這樣的患者無潮熱、盜汗等結核中毒症狀,痰液內找不到結核桿菌。在隨後的胸部X線複查時,患者肺部的病變不出現任何變化。
