原因
(一)發病原因
本病屬於全身彈力纖維障礙,病因迄今不明。多數人認為與先天性因素有關。有以下幾方面看法:
1.家族遺傳學說:根據本病多有家族史這一事實,因而認為本病與遺傳有關。
2.內分泌障礙:甲狀腺或胸腺肥大、卵巢功能障礙,可以引起本病,因而推論本病可能與內分泌障礙有關。
3.代謝障礙:有人對本病進行皮膚組織學檢查發現有彈力纖維形成和代謝異常。也有人發現病變的皮膚膠原含量和前膠原脯氨酸羥化酶活性降低。
(二)發病機制
發病機制還不清楚。多數人認為與先天性因素有關。有以下幾方面看法:
1.家族遺傳學說:Touroine蒐集了文獻中報告的238例病例,其中114例有家族史。Stemmerman在報導中提到Streiff和Portman家族9個姊妹中,有5人患本病,其遺傳方式為常染色體隱性遺傳。Pope提出其遺傳方式有顯性和隱性2種。Viljoen等對64例研究認為,PXE符合常染色體隱性遺傳,其嚴重視力損害與皮膚受累程度不成比例。
2.內分泌障礙:由於本病在臨床表現上,有甲狀腺或胸腺肥大、卵巢功能障礙,有人推論本病可能與內分泌障礙有關。
3.代謝障礙:本病可能是由於彈性蛋白合成障礙引起彈力纖維形成和代謝異常和皮膚膠原含量和前膠原脯氨酸羥化酶活性降低。
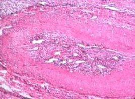
4.病理:皮膚組織學檢查,在真皮中下層有上下界限較明顯的帶狀病變部位,可見有彈力纖維樣物變性、斷裂與膨脹。
另外,在相同部位可見有用Kossa染色而顯黑褐色的鈣沉著。同樣的纖維變性也見於血管壁、脈絡膜基底層、心內膜與心外膜。血管樣紋是由於脈絡膜基底層彈力纖維樣物質變性所造成的。
檢查
本病好發於青年女性。主要有皮膚損害,心血管損害,消化道病變,眼部病變,神經精神病變,腎臟病變。
1.主要臨床表現
(1)皮膚損害:一般發生在青少年期,但也可見於出生後不久。皮疹對稱,好發於頸部兩側、臍周、腋窩、窩和腹股溝等部皺褶處,亦可見於口腔、鼻腔黏膜,偶可見於陰道或直腸黏膜。皮膚增厚,彈性差,鬆弛。皮疹呈針頭大到豆大,為淡黃至橘黃色丘疹或小結節,多成簇分布或融合成網狀。一部分毛孔擴大,如拔毛的雞皮,外觀呈橘皮樣。也有報導表皮發生鈣化或發生穿透性皮膚變性者。部分病人可有皮膚過度伸展,但不一定有皮疹。
(2)心血管損害:包括周圍血管病、高血壓、冠心病和內膜纖維化與鈣化。當肢體動脈受累時,可出現脈搏減弱或消失、間歇性跛行。約1/3病例有心絞痛發作,但發生急性心肌梗死和猝死者較少。充血性心力衰竭可能與多種因素有關,血管病變和心內膜纖維化都可引起心衰,高血壓和冠心病也是促發心衰的重要因素。
(3)消化道病變:在小兒期,可反覆發生消化道出血。其原因可為消化道潰瘍或食管裂孔疝。胃鏡檢查可發現消化道黏膜改變與皮膚改變相似。另外,有的病人可出現胃腸擴張與脫肛等。
(4)眼部病變:眼底視網膜血管呈線紋狀,為本病的特徵性改變。這種改變表現為有較血管粗的灰白色線紋,於視盤周圍呈不規則的環狀或放射狀分布。視網膜出血可引起視力障礙。隨著年齡的增長,可發生增生性改變、色素沉著、網狀黃斑、脈絡膜玻璃樣變性、視網膜結疤。當黃斑部受累時,可出現嚴重視力減退。眼底改變多數與皮膚改變、消化道反覆出血同時發生。
(5)神經精神病變:可因腦血管病變而引起神經精神症狀,出現輕度偏癱、智力異常、蛛網膜下腔出血、基底動脈供血不全、癲癇等。
(6)腎臟病變:腎內和腎外動脈均可發生病變,腎血管受累可導致高血壓病。
本病可與甲狀腺功能亢進、糖尿病、Paget病合併存在。亦有人認為本病與馬方綜合徵、艾盪綜合徵有一定關係。
2.根據遺傳方式,可將本病分為4型
(1)常染色體顯性遺傳Ⅰ型:表現在四肢屈側出現橘皮樣外觀,伴有高血壓、心絞痛、間歇性跛行等嚴重循環障礙及眼部症狀。
(2)常染色體顯性遺傳Ⅱ型:特徵性表現有淡黃色丘疹、高血壓、間歇性跛行、眼部症狀、皮膚伸展性增加及高齶弓等。
(3)常染色體隱性遺傳Ⅰ型:特徵性表現有皮疹、皮膚伸展性增加、高血壓、眼部症狀如藍鞏膜及高齶弓和全身多個關節鬆弛等。女性病例多有上消化道出血。
(4)常染色體隱性遺傳Ⅱ型僅有皮膚伸展性增加,而無皮疹及全身內臟合併症。
根據在皮膚受摩擦較多的部位出現淡黃色至橘黃色皮疹及皮膚增厚、彈性差、鬆弛,同時眼底有特徵性血管樣線紋及內臟有栓塞症狀和體徵,可診斷本病。
鑑別診斷
表皮角化:角化是角朊細胞的一個重要特徵。從基層細胞開始,角朊細胞不斷分化,向上移行,經歷棘層、顆粒層,最終成為角層細胞而完成其角化過程。
皮膚落屑並導致表皮剝脫:一般在起病後第3日和第7日之間,可發生皮膚落屑並導致表皮剝脫,尤見於手掌和足底的皮膚。
表皮全層壞死及表皮下大皰:常見於中毒性壞死性表皮鬆解型藥疹,皮膚表現為表皮全層壞死及表皮下大皰形成。臨床表現,起病急,伴有高熱、煩躁、嗜睡、抽搐、昏迷等明顯全身中毒症狀。皮膚表現為表皮全層壞死及表皮下大皰形成。開始時為大片鮮紅斑片,繼而紫褐色,1~2天內斑上出現大皰並擴展,副合成幾十厘米大小,呈現出多數平行性條狀縐紋。大皰極易擦破而出現大片糜爛,類似Ⅱ度燙傷。Nilolsky征(十),同時,口、眼、鼻、上呼吸道、陰部、食管處黏膜,可廣泛受累。黏膜脫落後出現大片糜爛面。疼痛極著。體溫常持續在40℃上下,歷2~3周不退。心、腎、肝、腦亦常受累。預後嚴重,病死率25%~50%。多因繼發感染、肝腎功能障礙、水電解質紊亂而死亡。
全身皮膚粗厚:是巨人症的臨床表現之一,巨人症系腺腦垂體分泌生長激素(GH)過多,引起組織、骨骼及內臟的增生肥大及內分泌代謝紊亂的疾病。發病在青春期前、骺部未閉合者為巨人症。
本病好發於青年女性。主要有皮膚損害,心血管損害,消化道病變,眼部病變,神經精神病變,腎臟病變。
1.主要臨床表現
(1)皮膚損害:一般發生在青少年期,但也可見於出生後不久。皮疹對稱,好發於頸部兩側、臍周、腋窩、?窩和腹股溝等部皺褶處,亦可見於口腔、鼻腔黏膜,偶可見於陰道或直腸黏膜。皮膚增厚,彈性差,鬆弛。皮疹呈針頭大到豆大,為淡黃至橘黃色丘疹或小結節,多成簇分布或融合成網狀。一部分毛孔擴大,如拔毛的雞皮,外觀呈橘皮樣。也有報導表皮發生鈣化或發生穿透性皮膚變性者。部分病人可有皮膚過度伸展,但不一定有皮疹。
(2)心血管損害:包括周圍血管病、高血壓、冠心病和內膜纖維化與鈣化。當肢體動脈受累時,可出現脈搏減弱或消失、間歇性跛行。約1/3病例有心絞痛發作,但發生急性心肌梗死和猝死者較少。充血性心力衰竭可能與多種因素有關,血管病變和心內膜纖維化都可引起心衰,高血壓和冠心病也是促發心衰的重要因素。
(3)消化道病變:在小兒期,可反覆發生消化道出血。其原因可為消化道潰瘍或食管裂孔疝。胃鏡檢查可發現消化道黏膜改變與皮膚改變相似。另外,有的病人可出現胃腸擴張與脫肛等。
(4)眼部病變:眼底視網膜血管呈線紋狀,為本病的特徵性改變。這種改變表現為有較血管粗的灰白色線紋,於視盤周圍呈不規則的環狀或放射狀分布。視網膜出血可引起視力障礙。隨著年齡的增長,可發生增生性改變、色素沉著、網狀黃斑、脈絡膜玻璃樣變性、視網膜結疤。當黃斑部受累時,可出現嚴重視力減退。眼底改變多數與皮膚改變、消化道反覆出血同時發生。
(5)神經精神病變:可因腦血管病變而引起神經精神症狀,出現輕度偏癱、智力異常、蛛網膜下腔出血、基底動脈供血不全、癲癇等。
(6)腎臟病變:腎內和腎外動脈均可發生病變,腎血管受累可導致高血壓病。
本病可與甲狀腺功能亢進、糖尿病、Paget病合併存在。亦有人認為本病與馬方綜合徵、艾-盪綜合徵有一定關係。
2.根據遺傳方式,可將本病分為4型
(1)常染色體顯性遺傳Ⅰ型:表現在四肢屈側出現橘皮樣外觀,伴有高血壓、心絞痛、間歇性跛行等嚴重循環障礙及眼部症狀。
(2)常染色體顯性遺傳Ⅱ型:特徵性表現有淡黃色丘疹、高血壓、間歇性跛行、眼部症狀、皮膚伸展性增加及高齶弓等。
(3)常染色體隱性遺傳Ⅰ型:特徵性表現有皮疹、皮膚伸展性增加、高血壓、眼部症狀如藍鞏膜及高齶弓和全身多個關節鬆弛等。女性病例多有上消化道出血。
(4)常染色體隱性遺傳Ⅱ型僅有皮膚伸展性增加,而無皮疹及全身內臟合併症。
根據在皮膚受摩擦較多的部位出現淡黃色至橘黃色皮疹及皮膚增厚、彈性差、鬆弛,同時眼底有特徵性血管樣線紋及內臟有栓塞症狀和體徵,可診斷本病。
緩解方法
(1)婚前檢查:婚前檢查(即婚姻保健),它是保證男女雙方婚後生活幸福、後代健康的重要環節。婚前檢查的重點是:①遺傳病方面的調查,包括詳細詢問男女雙方及其家庭成員的健康狀況,既往病史及醫治情況,尤其是有無先天畸形,遺傳病史和近親婚配史。必要時應進行家系調查、血型檢查、染色體檢查或基因診斷,以檢出攜帶者;②全面的體格檢查,主要是對急性傳染病,結核病,或嚴重的心、肝、腎疾病,泌尿道慢性炎症等可嚴重威脅個人或配偶健康的疾病,以及女方的嚴重貧血、糖尿病等可對胎兒造成影響的疾病的檢出,並動員經治癒後才可結婚;③對男女生殖器官的檢查,檢出性器官畸形,兩性畸形等疾患,以便極早採取措施。
(2)遺傳諮詢:遺傳諮詢(geneticcounselling)是由臨床醫生從遺傳學上作肯解答遺傳病患者及其親屬提出的有關遺傳性疾病的病因、遺傳方式、診斷、治療及預後等問題,估計患者的子女再患某病的機率,並提出建議及指導,以供患者及其親屬參考。遺傳諮詢的意義在於:①減輕患者身體和精神上的痛苦,減輕患者及其親屬的心理壓力,幫助他們正確對待遺傳病、了解發病機率,採取正確的預防、治療措施;②降低人群遺傳病的發生率,降低有害基因的頻率,及減少傳遞機會。
①遺傳諮詢的分類和內容:
A.婚前諮詢:婚前男女雙方在得知一方或其親屬中有某種遺傳病時,詢問能否結婚?後代中該病的發病情況怎樣?
B.產前諮詢:夫妻中的一方或其親屬中有某種遺傳病或先天性畸形,詢問後代類似疾病的發生情況;若已作過某種遺傳病或先天性畸形,詢問再生育時後代情況及如何預防患兒的出生。妊娠期曾患某病、服用某藥或接觸有毒物質或放射線,詢問胎兒的可能情況。
C.一般遺傳諮詢:除了上述的情況外,還詢問可否近親婚配?已經發病個體的防治辦法,出現某些症狀或體徵疑為遺傳病者想得到解釋等。
儘管諮詢者的年齡、職業、知識基礎和文化水平各不相同,來意和要求也不一樣,但遺傳諮詢的基本內容可以歸納為以下4方面:a.明確診斷是否屬於遺傳性疾病;b.解答各種問題,包括防治和預後;c.推算復發風險率;d.商討對策。為了完成這些內容,遺傳諮詢通常採用的程式包括:a.通過病史和家系調查,體格檢查和必要的輔助檢查和特殊的遺傳學檢查分析,確定是否為遺傳病,以何種方式遺傳;b.按照遺傳方式和特點估計復發風險率;c.通過商談、討論、提出預防、治療對策和婚姻、生育指導。

