蛇血概述
詞語解釋
蛇血內含毒素、病菌和多種致死性寄生蟲,中醫典籍無蛇血的藥用描述,喝蛇血多見於一些民間風俗,現代醫學證明生飲蛇血危害極大,嚴重者危及生命。據國內外醫學文獻記載,常有人在生飲蛇血後出現休克等中毒反應,救治不及時當場死亡;也有部分出現高熱,腹痛,腹瀉,最後不治身亡。
蛇血常識
蛇血生飲蛇血最大的危害在於會感染多種罕見寄生蟲,感染寄生蟲的機率為100%。蛇體內寄生有孟氏裂頭蚴,鞭節舌蟲,舌形蟲、絛蟲、假類圓線蟲、棒線蟲等十多種寄生蟲。對人危害最大的是曼氏裂頭蚴、舌形蟲,蟲體可移行到眼、腦、內臟、胸腔、脊髓、皮膚和生殖系統,形成蜂窩狀囊腔而導致嚴重後果,甚至死亡。且目前無藥物可以治療,只能通過手術取蟲。生飲蛇血者和吃青蛙者不同,吃青蛙者一般感染幾條,手術治療能夠實現,但生飲蛇血者感染數量達上百條,手術難以實現。可以毫不誇張的說,喝過蛇血,相當於一隻腳已經踏進了鬼門關,剩下來的只是時間問題。
更為致命的是感染裂頭蚴、舌形蟲後,只有極少數人被診斷出來,大多數被誤診。以至病人多年都不清楚自己究竟得了什麼病,而此時蟲體在人體組織內移行,到達皮下、眼部、口腔頜面部、各臟器及大腦等中樞神經系統,對重要器官造成極大破壞,形成蜂窩狀囊腔,感染數量多的患者在幾年內死亡,感染數量少的在十幾年內死亡。
裂頭蚴生命力頑強,據報導,青蛙在經爆炒後,其內的裂頭蚴依然存活;我國學者馮氏在1975年對裂頭蚴進行冷凍致死試驗,將含有裂頭蚴的豬肉放置於-5度的冷藏室,120小時後表層的偶有個別死亡,深位的冷藏10日後也並無死亡發生。
感染裂頭蚴後,潛伏期很長,多數為1至5年,患者發病緩慢,症狀不明顯,醫院無法確定病因,多數患病者往往被診斷為不明原因的"怪病",多方求醫療效甚微,隨著病情加重,幾年後大多不明原因死去。部分在屍檢時偶爾檢獲寄生蟲體,才最終確定其死因。
生飲蛇血感染寄生蟲後,由於發病到死亡的時間較長,感染者通常起病隱匿,誤診、漏診又較為普遍,加上相關知識的宣傳力度不夠,其危害性一般不為人所知,只有專科醫務人員、寄生蟲教研人員和各地防疫站工作人員才了解其致命危害性:生喝蛇血將使人致殘或致死,因生喝蛇血致死的不在少數。
認識誤區
蛇血"自古物以稀為貴,吃的少的東西自然是好東西",這是大家一貫的思維觀念。在我國一些地區,生吃蛇膽、生飲蛇血的習俗也由來已久。一些不明真相的人認為,生吃蛇膽有祛除風濕和治療皮膚病的作用,而生飲蛇血則有補血和祛除瘙癢的作用。然而,多數人生吃蛇膽、生飲蛇血後不但未能達到治癒疾病和強身健體的功效,反而染上了一系列"怪病",常年頭痛、身體不適,在醫院卻又找不到病因。
蛇血和蛇膽內含有多種致死性寄生蟲,其寄生於大腦、內臟、眼、胸腔、脊髓、皮膚和生殖系統等全身各個器官。生吃蛇膽、生飲蛇血後感染的機率為100% 。
這些寄生蟲進入人體後,常使人出現各種病症,蟲體在人體內移行,寄生部位多變,臨床表現各不相同,並且缺乏特異性表現,誤診、漏診很普遍。由於診斷困難,大部分患者走訪了各大醫院,依然得不到確診,"怪病"則一直纏身多年,幾年後病情惡化,不治而亡。極少數患者在組織活檢時,偶爾檢獲蟲體,才得以確診。
蛇血除生吃蛇膽、生飲蛇血外,飲用各種蛇血酒、蛇膽酒,以及吃未煮熟的蛇肉,用蛇皮敷傷口等均會感染上述寄生蟲。不可盲目聽信民間流傳的各種偏方,輕率地進食生蛇膽、生蛇血,以免疾病纏身。
很多人在喝過蛇血後,當時感覺身體並沒有什麼異常,便認為不會有大礙,其實事實完全和他們想像的相反。根據大量醫學文獻記載,喝蛇血中毒,的確會很快顯現出來,但是感染裂頭蚴、舌形蟲後,其潛伏期很長,多數在1-5年,所以很多病人長期感覺身體不適,始終找不到病因,加上誤診、漏診率高,多數感染者在二、三十多歲便英年早逝,臨終卻還不知道是怎么回事。這也正是蛇血危害性鮮為人知的原因,也使得"生喝蛇血、生吞蛇膽"的愚昧思想至今還廣為流傳。
嚴重危害
蛇血生飲蛇血、生吃蛇膽後,通常會感染如下三類寄生蟲:曼氏裂頭蚴、舌形蟲、鞭節舌蟲(舌形蟲的一種)。
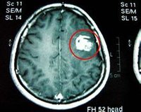
裂頭蚴可侵入皮下組織形成皮下結節,也可侵犯腹腔內臟器、組織,還可穿過橫隔侵犯胸腔,危害最大的是侵入眼部和大腦中樞神經系統,形成蜂窩狀囊腔而導致嚴重後果,可致殘疾和危及生命。
廣西一55歲農民,因裂頭蚴鑽入脊髓內,致下半身完全性截癱,肢體感覺、運動、反射等消失,膀胱、肛門括約肌功能喪失。
近年來,媒體經常報導有人因吃青蛙導致裂頭蚴進入大腦的事件,最後都是通過開顱手術將蟲體摘除,稍有不慎,便可能致殘致死,風險極大。吃青蛙一般感染1~4條,但喝蛇血感染數量巨大,一般達上百條。
曼氏裂頭蚴、舌形蟲均無藥物可以治療,臨床上只能採用手術取蟲的方法治療。但手術治療有其局限性,僅適用於感染蟲體數量在幾條以內,且寄生於皮膚等易於手術的部位,寄生於內臟、大腦等部位的手術風險較大。蛇血中一般含有幾百至上千蟲體及蟲卵,由於數量多,手術治療效果不佳,只能暫時控制病情。
裂頭蚴病中的一個分支:增殖裂頭蚴病。因蟲體不斷增殖,無法控制,全球已發現病例無一存活。醫學界對其致病原因也尚不明確,有學者認為是裂頭蚴在人體內感染病毒後產生了變異,也有學者認為是一種目前未知的新的蟲種。
舌形蟲病是另一種危害極大的罕見寄生蟲病,全球首例鞭節舌蟲(舌形蟲的一種)感染者,便是我國杭州一33歲男子,在服用五步蛇血及蛇膽後感染。
蛇血人舌形蟲病分成兩型:一是內臟舌形蟲病,病例最多,是舌形蟲病的主體。二是鼻咽舌形蟲病。此外,尚有舌形蟲性皮膚幼蟲移行症、首例眼舌形蟲病分別在以色列和厄瓜多查見,美國一喬治亞州患者,死於心臟舌形蟲病。
如果女性感染上述寄生蟲,蟲體可從母體經胎兒外膜進入胎兒,其危害可想而知。
診斷的困難
感染裂頭蚴、舌形蟲後,絕大多數被誤診、漏診,診斷的困難之處在於兩點:1.醫療機構的設定問題。2.寄生蟲診斷本身的技術問題。
裂頭蚴1.醫療機構的設定問題:
寄生蟲檢查要到醫院以外的專業機構進行。
"看病到醫院",這是理所當然的想法。但是我國現行各大醫院中,並沒有專門設定"寄生蟲科室",如果病人提出檢查寄生蟲,一般會被安排到"消化內科",做大便檢查。但是只能查蛔蟲等常見腸道寄生蟲,像裂頭蚴、舌形蟲等寄生於全身各處的都無法檢測,許多醫生甚至都沒有聽說過。
而裂頭蚴、舌形蟲患者,因蟲體寄生部位不同,根據病症的不同,會被安排到"眼科"、"神經內科"、"腦科"、"腫瘤科"、"皮膚科"等科室做檢查,而且大多數都被誤診、漏診,結果是病人常年奔波於各大醫院,始終不清楚得的是什麼病,很多患者甚至被醫生說成是精神有問題或心理有問題。僅有極少數富有經驗的醫生會建議病人到寄生蟲專業機構進行檢測。
寄生蟲種類繁多,據記載,可以感染人體的寄生蟲在我國有229種,其中線蟲35種,吸蟲47種,絛蟲16種,原蟲41種,其他寄生動物90種。寄生蟲的檢測由獨立的寄生蟲研究機構承擔。這一點不為大眾所知。
我國各地的寄生蟲機構有:衛生防疫站,血防站,疾病預防控制中心,寄生蟲病防治研究所,寄生蟲病預防控制所,寄生蟲教研室,熱帶醫學研究所。
由於常年經濟效益不行,和醫院根本不能比,這些機構往往僅有20多名工作人員,寄生蟲工作基本處於停滯狀態。許多地方的衛生防疫站、血防站現都改名為疾病預防控制中心,部分寄生蟲病研究所也改名為疾病預防控制中心下屬單位,寄生蟲教研室又設在醫學院等大學教學樓內。
疾病預防控制中心、寄生蟲教研室、熱帶醫學研究所等名稱讓大眾對寄生蟲機構更加陌生了,只有在此工作過的人員清楚,外人根本不會想到要到這些地方才能做寄生蟲的檢查。這也就是寄生蟲病難以檢查,通常被誤診、漏診的醫療體制問題。
2.裂頭蚴、舌形蟲診斷本身的技術問題
上面已經談到寄生蟲種類繁多,目前最有效的診斷方法還是直接取得蟲體,常規的大便檢查可以確診常見腸道寄生蟲,像裂頭蚴、舌形蟲等,醫院通過手術檢獲蟲體後,還是需要將蟲體送到上述的專業機構進行蟲種的鑑定。CT掃描、MRI檢查、超聲檢查等在醫院也作為輔助的診斷手段,但由於裂頭蚴、舌形蟲等產生的症狀與其他疾病難以區分,所以誤診率很高。
活檢到蟲體一般是醫院在手術後的偶然所得,寄生蟲研究所一般採用另一種方法:免疫學檢測。像上海寄生蟲研究所的寄生蟲全套包括:弓形蟲、肺吸蟲、肝吸蟲、裂頭蚴、血吸蟲、囊蟲、包蟲。然而市場上缺乏商品化的裂頭蚴診斷試劑,因此許多二線城市的寄生蟲機構雖然寫有裂頭蚴的診斷項目,但當患者要求檢測此項時,很可能被告知暫時沒有試劑,無法檢測。只有上海,北京,廣州等發達地區的寄生蟲機構才常年有此類診斷試劑。而舌形蟲目前無可用診斷試劑。
裂頭蚴診斷試劑還存在著一個問題,就是與其它蠕蟲之間普遍存在著交叉反應,因此可能會被錯誤檢測為囊蟲等其他類寄生蟲。所以特異性強、準確、保質期長的診斷試劑也一直在開發中。
舌形蟲病
蛇血舌形蟲病是由舌形蟲(Linguatula)所引起的人獸共患寄生蟲病,過去被認為是罕見的寄生蟲病,但近年來報
道的病例明顯增多,引起了醫學界的重視,中國是近20年來全球報告病例最多的國家。隨著生活水平的提高,人們的飲食方式也有所改變,喝新鮮蛇血、蛇膽和食未煮熟的蛇肉等,不良的進食習慣與民間的風俗舊習是造成該病傳播的重要原因。
舌形蟲成蟲寄生於終宿主如蛇和犬、貓、狼、狐狸等肉食動物的呼吸器官,幼蟲和若蟲寄生於中間宿主嚙齒類動物、人或其他哺乳動物。傳播途經和感染方式主要為生飲被寄生蛇體舌形蟲蟲卵污染的新鮮蛇血、蛇膽和食未煮熟的蛇肉,或宰蛇放血時,蛇體感染性蟲卵隨血流入酒杯,人因喝污染的酒而感染。以往舌形蟲病被認為是罕見的寄生蟲病,近20年來報導的病例逐漸增多,特別是它嚴重危害人體健康,正越來越引起人們的重視。
人感染此病主要是生飲新鮮蛇血、蛇膽和食未煮熟的蛇肉,或宰蛇放血時,蛇體感染性蟲卵隨血流入酒杯,人因喝污染的酒而感染。
人舌形蟲病分成兩型:一是內臟舌形蟲病,病例最多,是舌形蟲病的主體。二是鼻咽舌形蟲病。此外,尚有舌形蟲性皮膚幼蟲移行症、首例眼舌形蟲病分別在以色列和厄瓜多查見,美國一喬治亞州患者,死於心臟舌形蟲病。Pruner 1847年發現人體舌形蟲病,至今已近160年。近20年來,隨著內臟舌形蟲病的分型,新致病種、致病新種和新流行區的發現,舌形蟲病研究也引起了醫學界的重視。
分類
舌形蟲有100餘種(分9科18屬),分類位置尚有爭議。通常認為舌形蟲屬節肢動物門舌形蟲綱或舌形動物門。寄生於人體的舌形蟲有10種,
大蛇舌狀蟲(Armillifer grandis)、串珠蛇舌狀蟲(Armillifer moniliformis)、腕帶蛇舌狀蟲(Armillifer armillatus)、尖吻蝮蛇舌狀蟲(又名鞭節舌蟲)(Armillifer agkistrodontis)、蝎虎賴利舌蟲(Raillietiella hemidactyli)、響尾蛇孔頭舌蟲(Porocephalus crotali)、鋸齒狀舌形蟲(Linguatula serrata )、台灣孔頭舌蟲(P.taiwana)、辛辛那提萊佩舌蟲(Leiperia cincinnalis)、瑟皮舌蟲(Sebekia sp.)。我國已報導病例中的蟲種有鋸齒狀舌形蟲、尖吻蝮蛇舌狀蟲和串珠蛇舌狀蟲。
形態
成蟲呈舌形或圓柱形,頭胸部腹面有口,口兩側有鉤2對。活體呈半透明、死後白色,體長(18 ~ 130)mm,體表具有很厚的角質層,形成環狀,一般腹部生7 ~ 105個腹環,雌蟲大於雄蟲。卵呈無色或黃色,近圓形,大小約(90 X 70)µm,卵殼較厚。幼蟲卵圓形,有尾和2對足,幼蟲具有足和鉤,體表光滑。若蟲形狀與成蟲相似,死後呈乳白色,體長約4 ~ 50mm,有鉤兩對,腹部環數較少。
蛇舌狀蟲(似棒狀洞頭蟲,P.subclauatus)與鋸齒舌形蟲形態上的區別是:蛇舌狀蟲體形呈圓柱形,腹環數7-35個,口孔旁兩對鉤幾乎在同一平行線上,若蟲表面沒有刺;鋸齒舌形蟲體形略扁,腹環數72-105個,口孔旁兩對鉤前後排列,若蟲表面有刺。
流行病學
蛇血自從1847年在開羅首次報導人舌形蟲病以來,人類舌形蟲病呈世界分布,主要在熱帶、亞熱帶地區流行,
在非洲、中東和東南亞報導較多,在美洲和歐洲則較少。蛇舌狀蟲屬的感染以非洲最高,腕帶舌狀蟲病多見於非洲的尼口利亞和阿拉伯半島;大蛇舌狀蟲病多見於非洲的剛果;串珠蛇舌狀蟲病多見於東南亞;尖吻腹蛇舌狀蟲病多見於中國。舌形蟲屬中的鋸齒舌形蟲呈世界分布,多見於中東和北非。
1927年Faust報導了我國首例病人,裘明華等進一步研究分析認為是鋸齒舌形蟲,而非串珠蛇舌狀蟲。最近在浙江報導了串珠蛇舌狀蟲
病,在廣西玉林也報導過蛇舌形蟲病,尖吻腹蛇舌狀蟲病分別見於中國台灣和杭州,在遼寧、廣西等省(自治區)均有人鋸齒狀舌形蟲病的報導。此外在廣東省和山東省都有舌形蟲病例的報導,但未能鑑定蟲種。從最近幾年的報導來看,病例大都分布在我國的東南部地區。
臨床表現
輕度感染的病例多數無症狀或有輕微的症狀,當重度感染大量蟲體包括活若蟲或一條若蟲成囊於要害部位時,可產生嚴重症狀。常表現為咳嗽、突發頭痛、發熱數月,急性胃腸炎、噁心嘔吐,劇烈、持續腹瀉或腹痛,甚至出現腹水與腹膜炎、敗血症、心包炎、虹膜炎、繼發性青光眼和視力下降等症狀,病情惡化可致死。
被蛇舌狀蟲屬寄生的患者多數症狀不明顯,不易被檢出,只有在活檢、屍體解剖、X-射線檢查或屍檢中才發現,多寄生在肺、肝、脾、腸系膜等處。可引起肺部炎症、纖維化和鈣化病灶,病變亦可發生於胸膜下。
舌形蟲屬的寄生蟲以鉤附著在鼻咽組織,蟲體懸浮在鼻腔中,無全身症狀。其特點是一種急性炎症反應,為非傳染性鼻咽炎。症狀開始於食入含有感染性若蟲的食物後幾分鐘至數小時,以半小時為常見。患者的臨床表現主要為鼻鯉、吞咽困難、發音困難、咽部刺痛,時有氣急,可有顯著的扁桃體肥大、鼻道和嘴唇的水腫。常有鼻腔、淚腺的分泌物,頜下、頸淋巴結有時腫大,臉和頸部有風疹,常見前額部頭痛。
曾有報導舌形蟲病可能產生癌症,但不能肯定與舌形蟲的關係。在鼠舌形蟲實驗感染中,沒有發現腫瘤發生。
診斷
蛇血目前對舌形蟲病的診斷方法依然是通過手術或病理組織檢查等方式取得蟲體才能確診,而免疫
學診斷方法還有待開發。
舌形蟲病的診斷在手術、活檢、屍檢、服驅蟲藥後所得蟲體標本,或從鼻腔分泌物、痰和嘔吐物中檢出活蟲便可確診。舌形蟲病也常用X一射線檢查,如從胸片或腹片中見到鈣化的若蟲可作輔助診斷,手術或屍檢在肺、腹部及肝和脾被膜的表面,見到呈不透明直徑0.4~1 cm的C形和月牙形含若蟲包囊的病變。但鈣化的若蟲患者生前一般無症狀,X-射線不能查出未鈣化的若蟲。流行病學調查可用鼻腔拭子和糞便查舌形蟲卵。
目前免疫反應、血清學檢測比較困難。在法國曾經使用過間接免疫螢光、凝膠擴散等試驗,但需要大量舌形蟲患者血清抗體。酶聯免疫吸附試驗今後可望用於檢測舌形蟲。
治療
一般用外科手術取蟲治療舌形蟲病。本病無有效藥物,對具有長期高熱等急性感染症狀的病例可試用吡喹酮、噻苯咪唑或中藥驅蟲,繼發化膿性的併發症可加用抗生素,具有過敏者可用抗組胺和皮質激素類及皮質淄類治療,但一般只能起暫時性控制作用。
舌形蟲病主要在於預防,提倡不飲新鮮的蛇血、蛇膽,不食用生的或半生不熟的蛇肉和半生的動物,避免與終宿主蛇或犬的親密接觸,對含蟲的內臟必須銷毀。同時採取加強衛生宣教、注意飲食衛生等防治措施。
預防
據世界衛生組織統計,每年死於各類寄生蟲病的人數達600多萬人,WHO報告在危害人類健康的最常見的48種疾病中,有40種屬於傳染病和寄生蟲病,占總發病人數的85%。近年全國大量調查資料與過去對照表明:溶組織內阿米巴、薑片蟲、蛔蟲、鞭蟲、鉤蟲等腸道寄生蟲感染率明顯下降。究其原因可能是改革開放後,農村經濟好轉,生態環境發生變化,農村城市化,從生產方式、生活習慣方面減少了感染機會,南方部分地區仍有感染高的情況。相反,一些食源性寄生蟲病(鏇毛蟲、囊蟲、裂頭蚴、肝吸蟲、並殖吸蟲)和棘球蚴病,則呈明顯上升趨勢。其流行程度加重,流行區在不斷擴大,主要是缺乏預防基本知識,健康教育環節薄弱,衛生監督跟不上。
裂頭蚴病、舌形蟲病作為少見的寄生蟲病,由於沒有有效藥物,臨床上以“預防為主”。感染途徑主要是生飲新鮮蛇血、蛇膽和食未煮熟的蛇肉,飲用各種蛇血酒、蛇膽酒。近年來新增大量裂頭蚴入腦的報導,大多通過蛙皮敷傷口、和吃青蛙感染,給人們生命安全造成了極大威脅。然而更不為人知的是蛇血、蛇膽內含有的裂頭蚴數量是青蛙內的上百倍,所造成的危害是致命的。對於這樣的現狀,主要還是健康教育和宣傳上的缺失造成的。加大寄生蟲知識的宣傳力度,是關係人民生命健康的頭等大事。

