病理生理
合併圖冊胰腺分裂是胰腺最常見的先天畸形,是胚胎髮育過程中腹側胰管和背側胰管融合異常——即腹測胰管(主胰管)和背測胰管(副胰管)未融合,從而不能與膽總管匯合後開口於十二指腸內,致使背胰的胰液只能通過小乳頭排出,但小乳頭一般較小,在引流大量的胰液過程中,可因小乳頭局部炎症等因素,而造 成狹窄或梗阻,胰液排出不暢,胰管內壓增高而發生胰腺炎。近年來發現PD患者並不少見,國外報導屍檢資料中有10%的PD。在ERCP下非胰腺疾病患者約4%有PD,而在“特發性胰腺炎”。因此認為PD是胰腺炎的重要病因之一。有報導歐美人群發生率為10%,屍檢發現率為4-14%,ERCP診斷率為1.3-6.7%,亞洲人群發生率為1-2%。胰腺分裂如果主、副胰管分別有通暢的乳頭開口則可終身無症狀,否則往往合併腹痛、復發性急性胰腺炎和慢性胰腺炎(41-61%)。廣義的胰腺分裂也包括胰腺不完全分裂(功能性胰腺分裂)即主副胰管部分融合。
圖2:胰腺的生長發育
圖3:表示意胰管的變異(包括胰腺分裂)A;常見的改變;B;典型的胰腺分裂,C;不完全性胰腺分裂,一個小的分枝連線腹側與背側胰管,D;付胰管缺如,付乳頭不明顯,E;整個胰管系統通過付乳頭引流,F;通過付乳頭引流的孤立的付胰管
臨床表現
臨床上患者常見於20~50歲發病,表現為上腹痛,有向背部放射和進食(尤其脂肪餐)後加重的特點。可有急性或慢性胰腺炎病史。
診斷治療
胰腺分裂症診斷:主要依靠MRCP和ERCP,可顯示兩套互不連線的胰管系統。
治療:有乳頭狹窄者可行十二指腸括約肌成形術;有慢性胰腺炎和明顯胰管病變者可置支架引流或切除受累胰腺。胰管支架能解除胰管阻塞,達到控制腹痛發作的目的。國內外報導用胰管支架治療PD,症狀明顯改善。手術從小乳頭插入導絲後,安放胰管支架(5F,4.5 cm),無症狀者無需特殊治療;對症狀輕微者可對症處理;若頑固性上腹痛影響睡眠需服用鎮痛藥或引起胰腺炎時,需手術治療。見胰液從支架內溢入腸腔。術後患者腹痛消失,隨訪半年未復發。因此認為:對臨床上反覆發作上腹痛的胰腺炎患者要考慮到PD的可能;胰管支架置入術是治療PD行之有效的手段之一。當然,在此同時應充分了解支架置入術的風險。
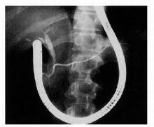
圖4:ERCP顯示在胰腺分裂中,通過付乳頭造影見典型的正常背側胰管,注意到內鏡呈未拉直狀態。
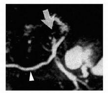
圖5:ERCP顯示短的腹側胰管,符合胰腺分裂,輕微的腺泡顯影。

